Những tác hại của nghiến răng cả khi ngủ và thức
Nghiến răng có thể xảy ra trong khi ngủ hoặc thức, gây ra các tác động xấu lên vùng răng miệng – mặt và tâm lý của bệnh nhân. Theo các nghiên cứu trên thế giới, nghiến răng khi ngủ xuất hiện trong cộng đồng với tỷ lệ 12,8 ± 3,1% ở người trưởng thành, trong khi tỷ lệ nghiến răng khi thức là từ 22,1% đến 31%.
Nghiến răng có thể gặp ở cả trẻ em và người lớn, ngày càng có xu hướng gia tăng trong cộng đồng và trẻ hóa.
Nghiến răng do nhiều nguyên nhân khác nhau phối hợp gây ra, bao gồm các yếu tố tại chỗ như rối loạn khớp cắn (khi mọc răng, làm chụp răng sai quy cách,…), yếu tố tâm lý (lo âu, căng thẳng…) và yếu tố bệnh lý thần kinh, có liên quan nhiều đến sự căng thẳng, rối loạn giấc ngủ - được xem là nguyên nhân chính của nghiến răng.
Nghiến răng tuy không quá nguy hiểm và cần điều trị ngay lập tức như một số bệnh răng miệng cấp tính khác, nhưng về lâu dài bệnh có thể ảnh hưởng đến chất lượng cuộc sống, gây ra một số biến chứng như nứt vỡ răng, mòn răng gây ê buốt, gãy vỡ các phục hình răng (mối hàn, chụp răng), gây mất xương xung quanh implant, rối loạn chức năng khớp thái dương hàm (không há miệng được, há miệng lệch, đau khớp thái dương hàm khi ăn nhai), đau cơ vùng hàm mặt (mỏi hàm, đau đầu),…
![]() |
| Nghiến răng có thể dẫn đến mòn răng, nứt vỡ răng - Ảnh BSCC |
Ngoài ra, bệnh nhân còn có thể bị ù tai, chóng mặt cùng những biểu hiện về tâm lý như lo lắng, căng thẳng, mất ngủ. Tiếng nghiến răng khi ngủ có thể gây ra nhiều khó chịu cho mọi người xung quanh.
Do vậy, việc xem xét, chẩn đoán nghiến răng là cần thiết trước khi thực hiện bất kỳ can thiệp nha khoa nào. Chẩn đoán nghiến răng thông qua bảng câu hỏi, thăm khám trực tiếp, đeo hàm Bruxchecker và ghi điện cơ dưới sự thực hiện của bác sĩ răng hàm mặt.
Điều trị nghiến răng gồm cả tâm lý và bệnh lý
Điều trị nghiến răng với mục tiêu là giảm đau, giảm ảnh hưởng đến răng, phục hình, khớp thái dương hàm và hạn chế nghiến răng tiếp diễn. Điều trị cần có sự phối hợp của nhiều bác sĩ chuyên khoa trong ngành Răng hàm mặt và các ngành có liên quan.
Nghiến răng do yếu tố tâm lý và bệnh lý thần kinh cần áp dụng các phương pháp giúp giảm căng thẳng như thay đổi môi trường (nghe nhạc thư giãn, tắm nước ấm trước khi đi ngủ), thường xuyên tập thể dục nhẹ nhàng, thiền thư giãn, điều trị các rối loạn về giấc ngủ, massage cơ mặt, tránh sử dụng các chất kích thích, đặc biệt là vào buổi tối trước khi đi ngủ.
Ngoài ra, bác sĩ có thể cho bệnh nhân sử sụng thuốc trong điều trị nghiến răng nhằm mục đích giảm sự co cơ nhai quá mức do nghiến răng (thuốc giãn cơ, giảm đau), kiểm soát stress hoặc các vấn đề tâm lý (thuốc chống trầm cảm, thuốc giảm lo lắng).
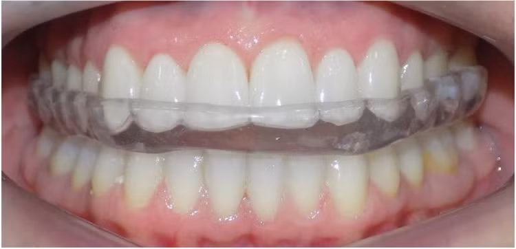
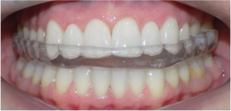
![]() |
| Máng chống nghiến được chế tạo riêng cho từng bệnh nhân, giúp bảo vệ mặt răng khỏi sự mài mòn, thư giãn cơ nhai - Ảnh BVCC |
Can thiệp điều trị nha khoa giúp bảo vệ răng tránh được tác hại của việc nghiến răng và điều trị các hậu quả do nghiến răng gây ra. Các can thiệp nha khoa phổ biến trong điều trị nghiến răng là:
- Sử dụng máng chống nghiến giúp bảo vệ mặt răng khỏi sự mài mòn, thư giãn cơ nhai
- Mài chỉnh khớp cắn để làm giảm các tác động quá mức đến cơ nhai cũng như răng
- Phục hồi lại hình thể răng, tái lập khớp cắn nếu răng mòn răng nhiều, răng ê buốt, nhạy cảm.
Nghiến răng tuy không nguy hiểm đến tính mạng nhưng dai dẳng và có thể gây ra những tác hại nặng nề đối với răng miệng và tâm lý người bệnh. Điều trị nghiến răng đòi hỏi sự kiên trì và sự phối hợp của bệnh nhân với các bác sĩ chuyên khoa.
Việc tự phát hiện các triệu chứng và được chẩn đoán đúng, điều trị bởi các bác sĩ chuyên khoa là một việc cần thiết để tránh các hậu quả đáng tiếc do nghiến răng gây ra.
ThS.BS.Bùi Thị Thu Hiền (Khoa Răng, Bệnh viện TWQĐ 108)

