Sức khoẻ 360

Loại bỏ khối u thận 1,2kg cho người bệnh 72 tuổi đau âm ỉ vùng lưng hông

U thận là bệnh lý nguy hiểm, thường diễn tiến âm thầm, ít triệu chứng rõ ràng, có thể xâm lấn, di căn, ảnh hưởng nghiêm trọng đến tính mạng.

U thận là bệnh lý nguy hiểm, thường diễn tiến âm thầm, ít triệu chứng rõ ràng ở giai đoạn đầu. Nếu không được phát hiện và điều trị kịp thời, khối u có thể xâm lấn, di căn, ảnh hưởng nghiêm trọng đến sức khỏe và tính mạng người bệnh.

Các bác sĩ Khoa Ngoại thận – Tiết niệu và Nam học, Bệnh viện Đa khoa tỉnh Tuyên Quang đã tiếp nhận và xử trí thành công một ca u thận phải, giúp người bệnh được phẫu thuật kịp thời và hiện sức khỏe đã ổn định.

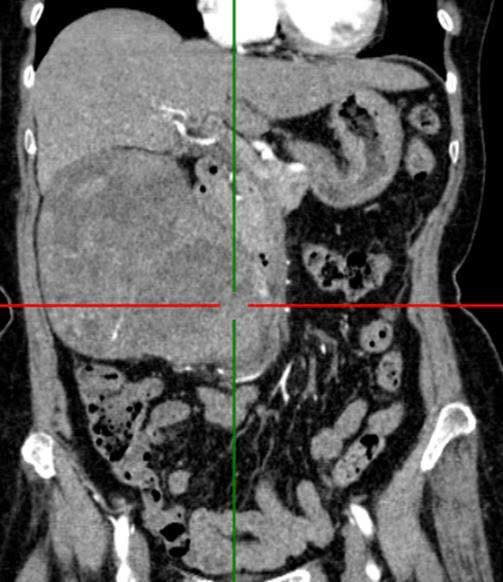
u-than.jpg
Khối u thận kích thước lớn trên phim chụp - Ảnh BVCC

Người bệnh nữ 72 tuổi nhập viện vì đau âm ỉ vùng hông lưng phải kéo nhiều tháng nay. Khám lâm sàng: Bệnh nhân tỉnh, đau tức nhiều vùng mạn sườn phải, vùng mạn sườn phải, thắt lưng phải có khối, ấn căng tức, mật độ chắc, ranh giới không rõ, PUTB (-), CUPM (-), nước tiểu trong.

Cận lâm sàng: Cắt lớp vi tính bụng (1-32 dãy có thuốc): Thận phải: To, nhu mô không đều, có hình ảnh khối choán chỗ ngấm thuốc mạnh sau tiêm, KT (118 x 133 x 135)mm. Đài bể thận giãn, không thấy sỏi. Kết luận u thận phải.

Nội soi đại trực tràng: viêm trực tràng, trĩ độ I.

Sau hội chẩn khoa, ê-kíp đã quyết định can thiệp phẫu thuật phù hợp, loại bỏ hoàn toàn khối u cho người bệnh. Các bác sĩ Khoa Ngoại thận - Tiết niệu và Nam học, Bệnh viện đa khoa tỉnh Tuyên Quang đã cắt bỏ khối lượng u to, trọng lượng 1,2kg cho bệnh nhân.

Ca phẫu thuật diễn ra an toàn, thuận lợi. Sau mổ, sức khỏe người bệnh ổn định, người bệnh được tư vấn kỹ về bệnh và hướng dẫn theo dõi tiếp sau phẫu thuật.

Khối u thận lớn được phẫu thuật cắt bỏ - Ảnh BVCC

Khối u thận lớn được phẫu thuật cắt bỏ - Ảnh BVCC

u-than-2.jpg
U thận nặng hơn 1,2 kg - Ảnh BVCC

Theo các bác sĩ Khoa Ngoại thận - Tiết niệu và Nam học - Bệnh viện Đa khoa tỉnh Tuyên Quang u thận có thể không có triệu chứng rõ ràng trong thời gian dài. Người dân cần khám sức khỏe định kỳ, đặc biệt khi có các dấu hiệu: Đau hông lưng kéo dài; Tiểu máu; Gầy sút cân không rõ nguyên nhân; Mệt mỏi kéo dài.

Các bác sĩ Khoa Ngoại thận - Tiết niệu và Nam học khuyến cáo: Phát hiện sớm – điều trị đúng – giúp tăng khả năng khỏi bệnh và bảo tồn thận.

back to top