Loại bỏ khối u thận 1,2kg cho người bệnh 72 tuổi đau âm ỉ vùng lưng hông
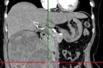
U thận là bệnh lý nguy hiểm, thường diễn tiến âm thầm, ít triệu chứng rõ ràng, có thể xâm lấn, di căn, ảnh hưởng nghiêm trọng đến tính mạng.
U thận là bệnh lý nguy hiểm, thường diễn tiến âm thầm, ít triệu chứng rõ ràng, có thể xâm lấn, di căn, ảnh hưởng nghiêm trọng đến tính mạng.