Sức khoẻ 360

Trẻ 10 tuổi mắc bệnh viêm màng mủ phổi nguy hiểm

Viêm màng mủ phổi là tình trạng nhiễm trùng nặng, có nguy cơ dẫn đến nhiễm trùng huyết với tỷ lệ tử vong cao, vào khoảng 15% đến 20%.

Nội soi để cứu bệnh nhi

Khoa Nhi Ngoại tổng hợp – Bệnh viện Sản nhi tỉnh Ninh Bình đã phẫu thuật nội soi trong điều trị bệnh lý viêm mủ màng phổi cho bệnh nhi 10 tuổi, một căn bệnh nguy hiểm, đe dọa tính mạng ở trẻ em.

Sau khi phẫu thuật, bệnh nhi được chăm sóc đặc biệt để theo dõi và kiểm tra tình trạng sức khỏe. Các bác sĩ sẽ hướng dẫn phụ huynh về chế độ dinh dưỡng, tập luyện, chăm sóc, sinh hoạt cũng như việc theo dõi sức khỏe của trẻ sau mổ.

Đặc biệt, quá trình phục hồi sau phẫu thuật nội soi nhanh chóng, giúp trẻ trở lại cuộc sống bình thường một cách sớm nhất.

viem-mu-mang-phoi.jpg
Biểu hiện viêm mủ màng phổi trên phim chụp - Ảnh BVCC

Các bác sĩ khoa Nhi Ngoại tổng hợp – Bệnh viện Sản nhi tỉnh Ninh Bình cho biết, viêm mủ màng phổi là tình trạng nhiễm trùng nặng, gây tích tụ mủ trong khoang màng phổi, dầy dính màng phổi ảnh hưởng nghiêm trọng đến hệ hô hấp và sức khỏe của bệnh nhân. Việc điều trị viêm mủ màng phổi nếu không kịp thời và đúng cách có thể dẫn đến nhiều biến chứng nguy hiểm.

Với sự phát triển không ngừng của y học hiện đại, phẫu thuật nội soi đã trở thành một phương pháp tiên tiến trong việc điều trị các bệnh lý liên quan đến phổi, trong đó có viêm mủ màng phổi.

Phương pháp này không chỉ giúp giảm thiểu đau đớn mà còn rút ngắn thời gian hồi phục cho bệnh nhân, đồng thời hạn chế được các biến chứng do mổ mở gây ra.

Ưu điểm của phẫu thuật nội soi: Giảm đau đớn: Ít xâm lấn hơn so với phẫu thuật mở, giúp trẻ hồi phục nhanh chóng; Thời gian hồi phục ngắn: Trẻ có thể xuất viện sớm, trở lại với cuộc sống sinh hoạt bình thường nhanh chóng.

Ít biến chứng: Phẫu thuật ít gây tổn thương các mô lành và giảm nguy cơ nhiễm trùng sau phẫu thuật; Thẩm mỹ: Không để lại sẹo lớn, giúp bảo vệ thẩm mỹ vùng ngực cho bệnh nhi.

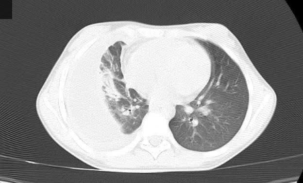
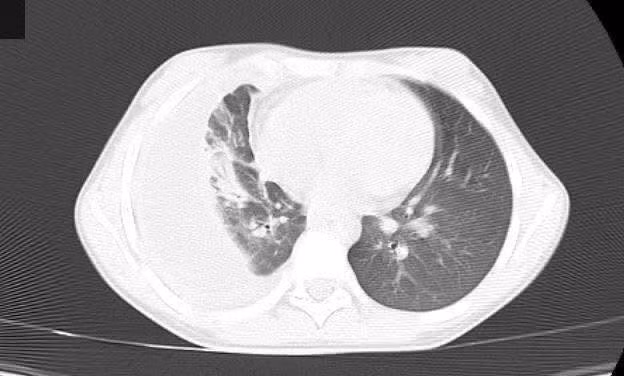
viem-mu-mang-1.jpg
Viêm phổi trên phim chụp cắt lớp vi tính - Ảnh BVCC

Phẫu thuật nội soi giúp loại bỏ mủ trong khoang màng phổi, thông thoáng đường hô hấp và giúp bệnh nhi dễ dàng thở hơn, đã mở ra một cơ hội mới cho các bệnh nhi mắc bệnh lý này, giúp nâng cao hiệu quả điều trị, giảm thiểu các rủi ro và mang lại cuộc sống khỏe mạnh cho các em.

Nguy cơ nhiễm trùng huyết, tử vong 15 – 20%

ThS.BS Nguyễn Huy Nhật - Khoa Khám bệnh & Nội khoa - Bệnh viện Đa khoa Quốc tế Vinmec Đà Nẵng cho biết, viêm mủ màng phổi được xác định là có sự hiện diện của mủ viêm trong khoang màng phổi.

Việc chẩn đoán sẽ phức tạp hơn các trường hợp viêm nhu mô phổi thông thường. Đồng thời, việc điều trị cần phối hợp nội ngoại khoa nhằm đạt được kiểm soát nhiễm trùng hiệu quả, cải thiện tiên lượng người bệnh.

Nguyên nhân của viêm mủ màng phổi có khi là tình trạng nhiễm trùng tại màng phổi hay là do một nhiễm trùng phức tạp trong nhu mô phổi lan đến khoang màng phổi.

Dù là nguyên nhân nào, nhìn chung đây là tình trạng nhiễm trùng nặng, có nguy cơ dẫn đến nhiễm trùng huyết với tỷ lệ tử vong cao, vào khoảng 15% đến 20%.

viem-mang-mu-phoi.png
Biểu hiện của viêm mủ màng phổi - Ảnh BSCC

Bác sĩ sẽ nghĩ đến nhiễm trùng màng phổi và có xảy ra viêm mủ màng phổi trước những bệnh nhân đến khám vì sốt, khó thở, ho, khó chịu, giảm cảm giác thèm ăn và kèm theo dấu hiệu gợi ý quan trọng là đau ngực kiểu màng phổi. Trong bệnh cảnh này, bệnh nhân thường mô tả cơn đau lan rộng toàn bộ vùng ngực một bên, đau tăng khi hít thở sâu, vận động và giảm đau khi nín thở hay ngồi yên.

Một số trường hợp viêm mủ màng phổi có tiền sử kéo dài hơn, chủ yếu là giảm cân, giảm cảm giác ngon miệng và khó chịu mơ hồ. Đôi khi những triệu chứng này không đặc hiệu và có thể tương đồng với vô số các bệnh lý khác, bao gồm cả lao màng phổi hay khối u ác tính màng phổi. Lúc này, thời gian trung bình giữa lúc khởi phát triệu chứng và bệnh nhân đến bệnh viện là hơn hai tuần.

Tiêu chuẩn chẩn đoán viêm mủ màng phổi trên thăm khám lâm sàng thường cho thấy các dấu hiệu của tràn dịch màng phổi đơn thuần, bao gồm nghe thấy giảm âm phế bào một bên, rung thanh giảm và gõ đục. Đồng thời, bệnh nhân còn có hội chứng đáp ứng viêm toàn thân như sốt, nhịp tim nhanh và đôi khi còn có hạ huyết áp, giảm độ bão hòa oxy trong máu.

Khi đã xác nhận người bệnh có tình trạng viêm mủ màng phổi, việc điều trị viêm mủ màng phổi đều được thực hiện: Điều trị bằng kháng sinh phổ rộng kéo dài; Chọc dịch màng phổi chẩn đoán và giải áp; Can thiệp phẫu thuật sớm khi có chỉ định; Hỗ trợ dinh dưỡng; Dự phòng chống huyết khối tĩnh mạch.

Có đến 30% các bệnh nhân bị viêm mủ màng phổi cần phải phẫu thuật sớm khi tình trạng nhiễm trùng khó kiểm soát bằng dẫn lưu thông thường và nguy cơ nhiễm trùng huyết rất cao.

Viêm mủ màng phổi là một tình trạng viêm nhiễm tương đối nặng nề cần phải được chẩn đoán sớm bằng nhiều phương tiện kết hợp và điều trị kháng sinh tích cực ngay từ đầu.

Nếu bệnh nhân có tràn mủ màng phổi đáng kể, việc đặt ống dẫn lưu cũng như can thiệp ngoại khoa cần phải được thực hiện sớm. Chỉ khi được như vậy, tình trạng viêm mủ màng phổi mới có thể kiểm soát được, giảm thiểu nguy cơ dẫn đến nhiễm trùng huyết cũng như bảo tồn tính mạng cho người bệnh.

back to top