Khó thở, tức ngực bệnh nhi 13 tuổi tràn khí màng phổi do vỡ kén khí
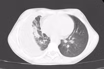
Kén khí lớn làm giảm khả năng trao đổi khí và gây khó thở. Khi kén khí vỡ, người bệnh có thể bị tràn khí màng phổi, dẫn đến xẹp phổi, suy hô hấp cấp.
Kén khí lớn làm giảm khả năng trao đổi khí và gây khó thở. Khi kén khí vỡ, người bệnh có thể bị tràn khí màng phổi, dẫn đến xẹp phổi, suy hô hấp cấp.
Viêm màng mủ phổi là tình trạng nhiễm trùng nặng, có nguy cơ dẫn đến nhiễm trùng huyết với tỷ lệ tử vong cao, vào khoảng 15% đến 20%.
Kén khí phổi là một dạng tổn thương phế nang, đây là tình trạng trong nhu mô phổi hình thành những túi khí hoặc khoang chứa khí bất thường.