Trẻ 10 tuổi mắc bệnh viêm màng mủ phổi nguy hiểm
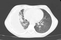
Viêm màng mủ phổi là tình trạng nhiễm trùng nặng, có nguy cơ dẫn đến nhiễm trùng huyết với tỷ lệ tử vong cao, vào khoảng 15% đến 20%.
Viêm màng mủ phổi là tình trạng nhiễm trùng nặng, có nguy cơ dẫn đến nhiễm trùng huyết với tỷ lệ tử vong cao, vào khoảng 15% đến 20%.
Rất nhiều người vẫn nghĩ rằng vết thương nhỏ, vết xước hay mụn mủ đơn giản thì không đáng lo. Nhưng vi khuẩn có thể xâm nhập, gây nhiễm huyết.