Sức khoẻ 360

Tai nạn xe đạp điện, trẻ 10 tuổi phải mổ lấy dị vật răng trong đường thở

Dị vật đường thở ở trẻ em là một tình trạng cấp cứu nguy hiểm, có thể gây suy hô hấp và đe dọa tính mạng nếu không được xử trí kịp thời.

Bệnh viện Nhi đồng 1 vừa cấp cứu thành công cho bệnh nhi P.V.K (10 tuổi, Cần Thơ) khi lấy được dị vật răng trong đường thở của bé.

Theo lời khai từ gia đình, ngày 24/12/2025, bé gặp tai nạn giao thông khi đang điều khiển xe đạp điện và va chạm vào đuôi xe tải chạy cùng chiều, bé không đội mũ bảo hiểm, có va đập vùng đầu nhưng vẫn tỉnh táo, không mất ý thức, có ho và khó thở ít.

Sau đó, bé được đưa vào bệnh viện địa phương sơ cứu ban đầu và chuyển đến Bệnh viện Nhi đồng 1 để tiếp tục điều trị.

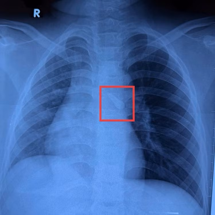
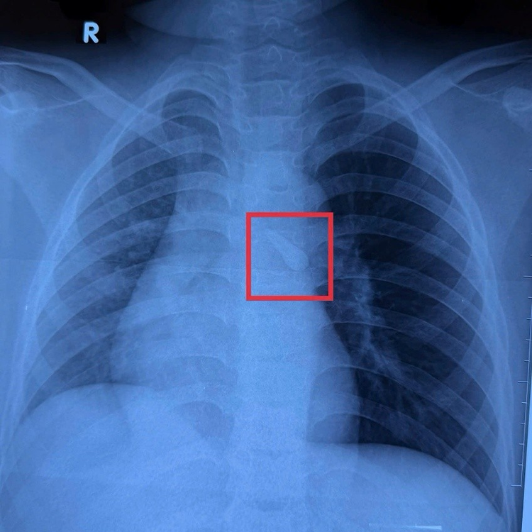
Hình ảnh X-quang của bé ghi nhận một dị vật cản quang ở khí quản. Khai thác bệnh sử và tổn thương vùng hàm mặt thấy bé bị mất răng số 21, từ đó nghĩ đến khả năng răng bị hít sặc vào đường thở sau chấn thương mà bé không để ý.

rang.jpg
Hình ảnh X-quang của bé ghi nhận một dị vật cản quang ở khí quản - Ảnh BVCC

Bé được chẩn đoán: Vỡ xương sàn ổ mắt; Đụng giập nhãn cầu; Dị vật đường thở (răng); Chấn thương đầu; Vết thương đầu sau tai nạn giao thông. Bệnh nhi nhanh chóng được hội chẩn liên chuyên khoa Ngoại thần kinh- Ngoại tổng hợp- Mắt- Răng hàm mặt-Tai mũi họng.

Trước nguy cơ tắc nghẽn đường thở và các biến chứng hô hấp nguy hiểm, bệnh nhi được ê-kíp bác sĩ chỉ định nội soi đường thở can thiệp khẩn, cũng như ổn định các tình trạng chuyên khoa khác. Ca phẫu thuật được thực hiện bởi TS.BS Phú Quốc Việt, Phó khoa Tai mũi họng Bệnh viện Nhi đồng 1, với sự phối hợp chặt chẽ của ê-kíp gây mê – hồi sức.

rang-1.jpg
Nội soi phát hiện răng trong khí quản bệnh nhi - Ảnh BVCC

Qua nội soi, TS.BS Việt ghi nhận dị vật là một chiếc răng nằm trong carina của khí quản và đã gắp ra thành công. Sau phẫu thuật, đường thở của bệnh nhi thông thoáng, không ghi nhận chảy máu hay biến chứng. Trẻ tỉnh táo, hô hấp ổn định, ăn uống được và tiếp tục được theo dõi tại khoa.

di-vat.png
Chiếc răng nằm trong carina của khí quản và đã gắp ra thành công - Ảnh BVCC

Theo BS.CKI Lý Phạm Hoàng Vinh, Khoa Tai Mũi Họng, Bệnh viện Nhi đồng 1, dị vật đường thở ở trẻ em là một tình trạng cấp cứu nguy hiểm, có thể gây suy hô hấp và đe dọa tính mạng nếu không được xử trí kịp thời.

Đặc biệt trong các trường hợp chấn thương vùng hàm mặt, răng gãy hoặc rơi ra có thể bị hít vào đường thở mà không biểu hiện rầm rộ ngay từ đầu, dễ bị bỏ sót.

Do đó, khi trẻ gặp tai nạn hoặc có dấu hiệu nghi ngờ sặc dị vật, gia đình cần đưa trẻ đến cơ sở y tế có chuyên khoa phù hợp càng sớm càng tốt để được chẩn đoán và can thiệp kịp thời.

Bệnh viện đa khoa Thiện Hạnh ra mắt hệ thống CT 100.000 lát cắt & MRI 3.0 Tesla

Bệnh viện đa khoa Thiện Hạnh ra mắt hệ thống CT 100.000 lát cắt & MRI 3.0 Tesla

Sáng ngày 26/12/2025, Bệnh viện đa khoa Thiện Hạnh tổ chức Lễ ra mắt hệ thống máy CT SOMATOM Force VB30 và MRI 3.0 Tesla MAGNETOM, đánh dấu bước tiến quan trọng trong chiến lược đầu tư công nghệ cao, nâng cao năng lực chẩn đoán và điều trị, phục vụ nhu cầu chăm sóc sức khỏe ngày càng cao của người dân khu vực Tây Nguyên.

back to top