Sức khoẻ 360

Nuốt pin cúc áo, bé trai bị bỏng hóa chất gây chít hẹp thực quản

Bé trai 5 tuổi chuyển viện vì nuốt pin cúc áo đường kính 2cm. Hơn 5 giờ mắc kẹt, cục pin tiết hoá chất gây bỏng chít hẹp thực quản, dọa thủng xuất huyết...

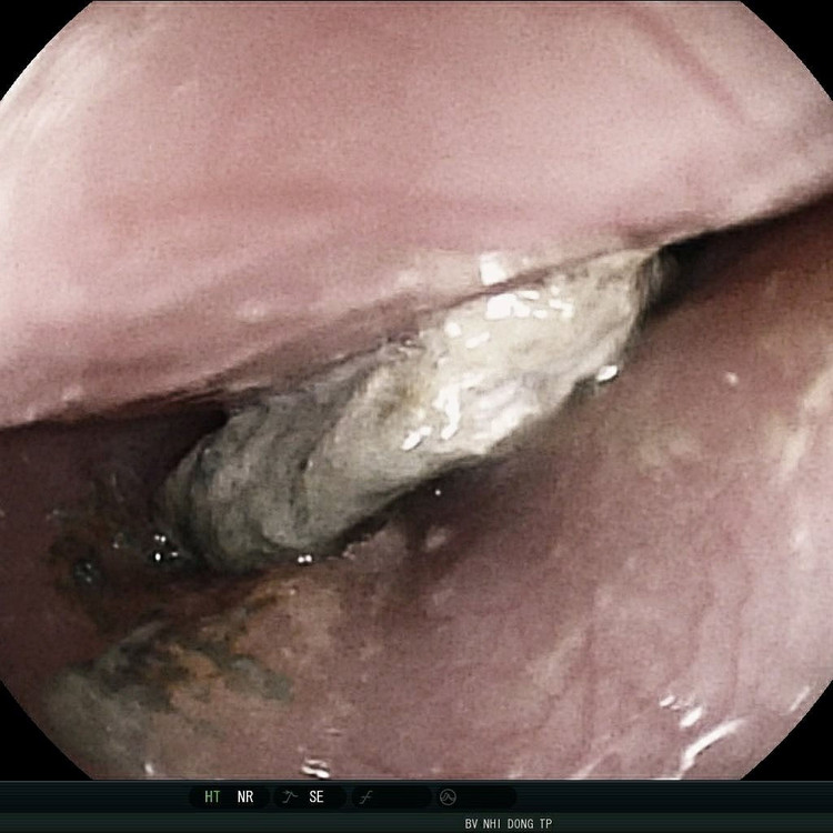
BSCKI Lê Đức Lộc cùng ekip nội soi của Bệnh viện Nhi đồng Thành phố vừa lấy ra một cục pin cúc áo trong thực quản bé trai (Cần Thơ). Sau đó, các bác sĩ phải đặt ngay sonde hỗng tràng tránh nguy cơ hẹp khít thực quản tiếp diễn...

pin-cuc-ao.jpg

Các loại pin, bị kẹt lại ở thực quản, là một cấp cứu khẩn cấp ở trẻ nhỏ từ 5 tuổi trở xuống.

Dị vật cần phải được lấy ra trong vòng 2 giờ sau khi nuốt, vì để kéo dài, nó bắt đầu ăn mòn và có thể gây thủng mạch chảy máu, gây nguy hiểm đến tính mạng.

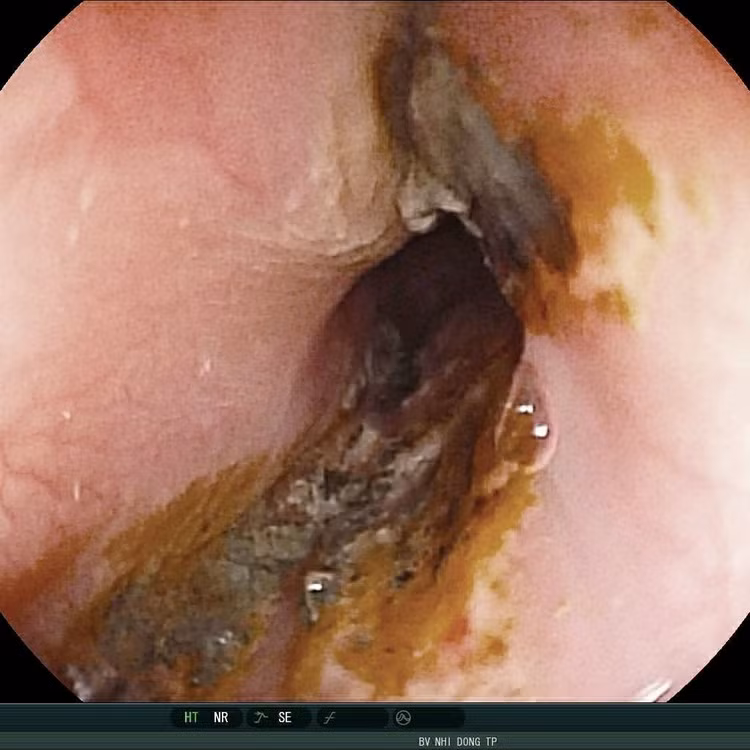
pin-gay-bong-thuc-quan.jpg
Pin là dị vật nguy hiểm ở trẻ nhỏ...
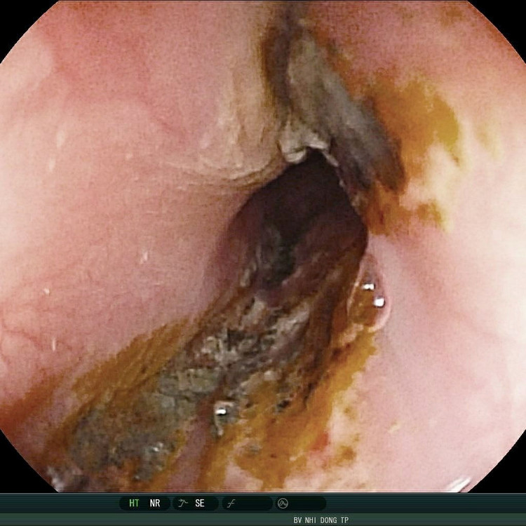
phong-thuc-quan.jpg
... do có tính xuyên thấu và ăn mòn cao.

Vì đa phần trẻ nhỏ không nói được, hay hoảng loạn khóc thét nôn mửa, sặc sụa thoáng qua khi mới nuốt…, và triệu chứng rất mơ hồ lúc ban đầu, nếu không nghĩ đến việc trẻ nuốt phải dị vật, một khi phát hiện được gần như đã quá trễ, biến chứng, di chứng nguy hiểm khó xử lý.

Vào ngày giáp Tết, các bác sĩ Bệnh viện Nhi đồng Thành phố vừa gắp cấp cứu 1 bé hóc sặc đậu phộng vào phổi. Mùng 1 Tết, êkip nội soi gắp kịp thời đồng xu chẹn ngay thực quản gần cổ họng.

Các bác sĩ khuyến cáo, không chỉ dịp Tết, nhà có trẻ nhỏ, người lớn phải luôn quan sát, giám sát con trẻ và để xa rời tầm mắt tầm tay trẻ những vật có thể trở thành dị vật đáng ngờ.

back to top