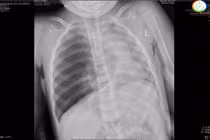
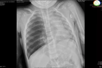
Dù đã được các bác sĩ nội soi gắp thành công cục pin cúc áo, tuy nhiên bệnh nhi vẫn có nguy cơ biến chứng lâu dài.
Dị vật đường thở bị bỏ quên trong thời gian dài có thể gây viêm phổi, ho ra máu, thậm chí dẫn đến áp xe phổi, tràn mủ màng phổi hoặc giãn phế quản.
Người đàn ông Trung Quốc đã sống 8 năm với chiếc đũa trong cổ họng trước khi được điều trị thành công bằng phẫu thuật lấy dị vật.
Nuốt dị vật là tai nạn thường gặp ở trẻ nhỏ, đặc biệt là các chi tiết có từ tính, có thể gây nguy cơ tổn thương đường tiêu hóa.
Người dân cần chú ý khi ăn để hạn chế nguy cơ nuốt phải dị vật. Nên đến viện ngay khi đau bụng dữ dội hoặc đau tăng dần, buồn nôn hoặc nôn...
Bệnh nhân suýt gặp nguy hiểm tính mạng sau khi nuốt tăm tre, nhấn mạnh tầm quan trọng của việc ăn uống cẩn thận, phòng tránh dị vật nguy hiểm.
Trẻ dùng cây bút gãi vùng kín và bị mắc kẹt dị vật, các bác sĩ đã nội soi lấy thành công, nhấn mạnh cần đến y tế khi gặp triệu chứng bất thường.
Bệnh nhân bị thủng ruột do tăm tre, nhấn mạnh nguy cơ từ thói quen ngậm tăm, cần cảnh giác và khám sớm để tránh biến chứng nặng.
Khi có các biểu hiện ho kéo dài, khó thở, sốt, đau ngực sau khi ăn uống hoặc nghi ngờ hóc dị vật, người dân cần đến ngay bệnh viện, tránh biến chứng nguy hiểm.
Bệnh nhân 40 tuổi được các bác sĩ lấy dị vật kim loại 11 năm trong tầng sinh môn, cải thiện tình trạng đau đớn rõ rệt.
Bệnh nhân nuốt răng giả trong lúc ăn, được xử lý kịp thời tại bệnh viện, đảm bảo an toàn và không biến chứng.
Hai ca dị vật trong tai và cổ họng được xử lý an toàn tại Vũ Thư (Hưng Yên), bác sĩ khuyến cáo người dân không tự ý xử trí dị vật để tránh biến chứng.
Bệnh nhân mắc viêm phổi tái diễn do dị vật là hai chiếc răng giả lâu ngày trong phổi, được lấy ra thành công sau hơn 20 năm bỏ quên.
Bé gái 6 tuổi nuốt phải kẹp tóc dài 7 cm, các bác sĩ đã thành công lấy dị vật qua nội soi, cảnh báo nguy cơ từ dị vật sắc nhọn với trẻ nhỏ.
Bệnh nhân mắc dị vật dài 12 cm trong thực quản đã được xử lý nhanh chóng, phòng tránh các biến chứng nguy hiểm nhờ kỹ thuật nội soi hiện đại.
Bệnh viện Hùng Vương ghi nhận nhiều trường hợp bé gái tự nhét dị vật vào âm đạo do thiếu kiến thức, đe dọa sức khỏe và tâm lý trẻ.
Bé gái 13 tuổi nuốt xương gà, dẫn đến thủng ruột và viêm phúc mạc. Các bác sĩ nhấn mạnh tầm quan trọng của phòng tránh dị vật tiêu hóa ở trẻ em.
Bệnh nhân 66 tuổi được phẫu thuật thành công lấy tăm tre nhọn gây thủng đại tràng, cảnh báo nguy hiểm của thói quen ngậm tăm hàng ngày.
Nam thanh niên nhập viện trong tình trạng chiếc đinh từ súng bắn đinh lao xuyên vào mắt trái, cắm sâu sát dây thần kinh thị giác.
Hai bé ở Quảng Ninh, Hưng Yên đã được các bác sĩ nội soi gắp dị vật cứu nguy, cảnh báo phụ huynh cẩn thận trong chế độ ăn và chơi của trẻ nhỏ.
Xem thêm