Sức khoẻ 360

50 phút nghẹt thở cứu người đàn ông ngừng tim

Nhiều bệnh nhân thường nhầm lẫn cơn đau thắt ngực với tình trạng trào ngược dạ dày thực quản và để lại hậu quả nặng nề.

Hồi sinh sau 50 phút ngừng tim ngay tại bàn làm việc

Ngày 23/2/2026 (chiều mùng 7 Tết Bính Ngọ) anh Trần Quang M. (47 tuổi) - một người bệnh vừa đi từ "cửa tử" trở về được xuất viện để đón chào năm mới cùng vợ con và gia đình.

Đây thực sự là một "kỳ tích y khoa" và là món quà Tết ý nghĩa nhất đối với người bệnh cũng như đội ngũ y bác sĩ với hành trình giành giật sự sống ngoạn mục cho anh M. của các thầy thuốc Bệnh viện E trong 40 ngày qua.

ngung-tim.jpg
Tuần hoàn ngoài cơ thể bảo tồn nguyên vẹn chức năng nhận thức cho bệnh nhân - Ảnh BVCC

Ngày 12/01/2026, khi đang say mê với công việc tại cơ quan, anh M. bất ngờ ngã gục. Chỉ trong tích tắc, anh rơi vào trạng thái bất tỉnh, ngừng thở hoàn toàn. Ngay lập tức, đồng nghiệp đã tiến hành ép tim tại chỗ và gọi cấp cứu. Người bệnh được chuyển đến Bệnh viện Đa khoa Phương Đông.

Tại đây, các bác sĩ đã nỗ lực không ngừng nghỉ suốt 50 phút với các biện pháp sốc điện, dùng thuốc vận mạch. Phải đến phút thứ 50, nhịp tim của anh mới bắt đầu đập trở lại.

Tuy nhiên, thử thách chưa dừng lại. Anh được chuyển tuyến đến Bệnh viện E trong tình trạng hôn mê sâu, suy hô hấp nặng, phổi đầy ran ẩm và bọt hồng trào qua nội khí quản - dấu hiệu của phù phổi cấp do suy tim trái cấp tính.

Qua câu chuyện người nhà kể lại, người bệnh đã phát hiện tình trạng rối loạn lipid máu nhưng không điều trị, có khám định kỳ 1 năm/lần theo cơ quan (gần nhất là tháng 6/2025, chỉ số cholesterol 5.5, triglycerid 2.87, siêu âm ổ bụng có hình ảnh gan nhiễm mỡ), không hút thuốc lá, không sử dụng chất kích thích, không uống rượu, nhưng người bệnh rất ít tập thể dục thể thao.

Cuộc chạy đua với thời gian: Khi y học hiện đại "hồi sinh" trái tim

Các bác sĩ Bệnh viện E vừa cấp cứu vừa hồi sức và khẩn trương thực hiện các thăm dò cận lâm sàng tìm nguyên nhân cho người bệnh. Kết quả chụp động mạch vành đã hé lộ nguyên nhân thực sự: Động mạch liên thất trước (LAD) – nhánh động mạch quan trọng nhất nuôi tim – đã bị tắc nghẽn tới 99%. Đây là hậu quả của tình trạng xơ vữa lan tỏa, dù trước đó anh M. chỉ có biểu hiện đau thắt ngực nhẹ mà anh lầm tưởng là trào ngược dạ dày.

ngung-tim-1.jpg
Thăm khám cho bệnh nhân sau giai đoạn nguy kịch - Ảnh BVCC

Đối mặt với tình trạng lâm sàng rất nguy kịch, dưới sự chỉ đạo của TS.BS Nguyễn Công Hựu - Giám đốc Bệnh viện E cùng đội ngũ chuyên gia của Ban tư vấn y khoa, các bác sĩ thuộc khoa Cấp cứu, Hồi sức tích cực nội khoa và chống độc, Chẩn đoán hình ảnh, Trung tâm tim mạch… đã kích hoạt hệ thống báo động đỏ, phối hợp đa chuyên khoa để thực hiện một chiến lược điều trị tổng lực và chuyên sâu nhằm “hồi sinh” trái tim cho người bệnh.

Các bác sĩ thực hiện can thiệp mạch vành qua da (PCI) cho người bệnh. Kết quả chụp mạch số hóa xóa nền (DSA) xác định tổn thương hẹp khít 99% đoạn gần nhánh liên thất trước (LAD) – vốn được mệnh danh là "động mạch của sự sống". Các bác sĩ tim mạch can thiệp đã nhanh chóng triển khai kỹ thuật đặt Stent, giải phóng điểm tắc nghẽn, tái lập dòng chảy mạch vành để cứu vãn vùng cơ tim đang thiếu máu cục bộ cấp tính và ngăn chặn các cơn loạn nhịp nguy hiểm.

Sau can thiệp mạch vành qua da, người bệnh được chuyển sang khoa Hồi sức tích cực nội khoa và chống độc để tiếp tục điều trị. Tại đây, các bác sĩ quyết định thực hiện kỹ thuật kiểm soát thân nhiệt mục tiêu (TTM) – "làm lạnh" cơ thể để bảo vệ não bộ khỏi các tổn thương sau ngừng tuần hoàn nhằm đối phó với Hội chứng sau cấp cứu ngừng tuần hoàn.

Bằng cách chủ động đưa cơ thể vào trạng thái "ngủ đông" tạm thời, duy trì nhiệt độ trung tâm ở mức tối ưu, các bác sĩ đã giảm thiểu tối đa chuyển hóa não, ngăn chặn chuỗi phản ứng viêm và phù não lan tỏa, từ đó bảo tồn nguyên vẹn chức năng nhận thức cho bệnh nhân – một yếu tố then chốt giúp anh M. có thể tỉnh táo và nói chuyện bình thường sau này.

Người bệnh được hồi sức tích cực tình trạng suy đa tạng (lọc máu liên tục và thở máy): Song song đó, hệ thống lọc máu liên tục (CRRT) được vận hành như một "thận nhân tạo" để loại bỏ các độc tố chuyển hóa, cân bằng kiềm toan và kiểm soát tình trạng quá tải dịch.

Kết hợp với chiến lược thông khí nhân tạo bảo vệ phổi, y bác sĩ đã hỗ trợ chức năng hô hấp và nội môi tối đa, tạo điều kiện cho các cơ quan suy yếu có thời gian hồi phục sau cú sốc "ngừng tuần hoàn" kéo dài gần 1 giờ đồng hồ.

ngung-tim-2.jpg
Bác sĩ kiểm tra khả năng phục hồi của bệnh nhân - Ảnh BVCC

Sau 40 ngày nằm hồi sức tích cực, được sự chăm sóc tận tình của đội ngũ y bác sĩ, anh M. đã hồi phục một cách thần kỳ. Từ một người hôn mê sâu, phải duy trì sự sống bằng máy thở và máy lọc máu, hôm nay anh M. đã có thể tỉnh táo hoàn toàn, nói chuyện và ăn uống bình thường, tự đi lại trên đôi chân của chính mình.

Cầm trên tay tờ giấy ra viện đúng vào những ngày đầu xuân năm mới, anh M. và gia đình không giấu nổi sự xúc động. Với anh, mùa xuân năm nay không chỉ là sự khởi đầu của một năm mới, mà là khởi đầu của một cuộc đời thứ hai.

Chớ chủ quan nhầm lẫn với bệnh trào ngược dạ dày thực quản

TS.BS Phan Thảo Nguyên - Phó Giám đốc Bệnh viện E - Phụ trách điều hành Trung tâm tim mạch, khuyến cáo, trường hợp của anh M. là một hồi chuông cảnh báo mạnh mẽ về các bệnh lý tim mạch diễn tiến âm thầm nhưng để lại hậu quả khôn lường. Nhiều bệnh nhân thường nhầm lẫn cơn đau thắt ngực với tình trạng trào ngược dạ dày thực quản.

Các triệu chứng như ợ hơi, ợ chua, đau tức vùng thượng vị lan lên sau xương ức ở những người có các yếu tố nguy cơ thực chất có thể là biểu hiện của thiếu máu cơ tim. Vì vậy, người bệnh cần lưu ý: Nếu các triệu chứng này xuất hiện khi gắng sức, khi trời lạnh hoặc kèm theo cảm giác khó thở, vã mồ hôi, hãy đến ngay cơ sở tim mạch để tầm soát thay vì tự ý dùng thuốc tại nhà.

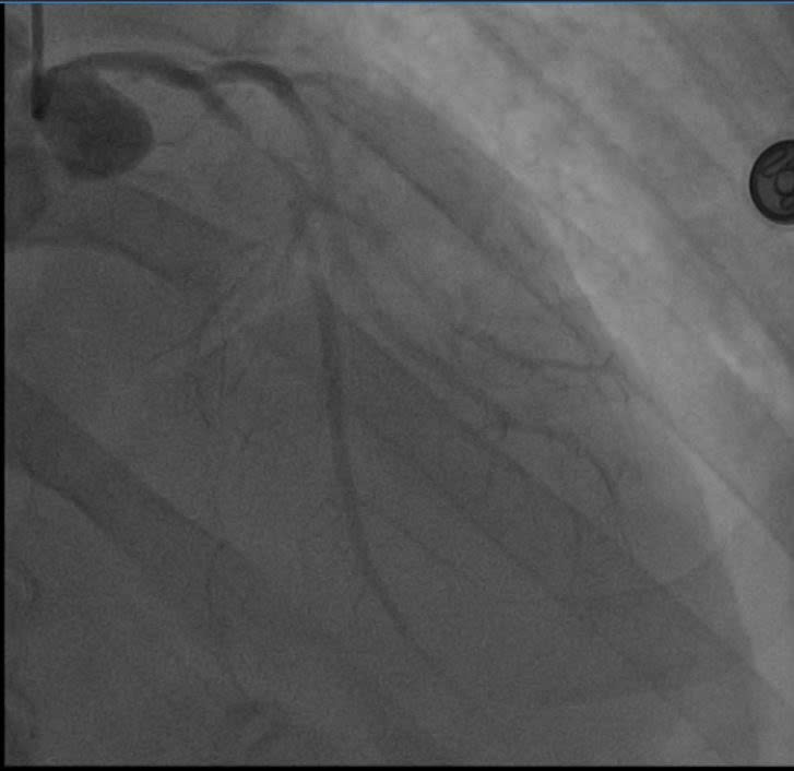
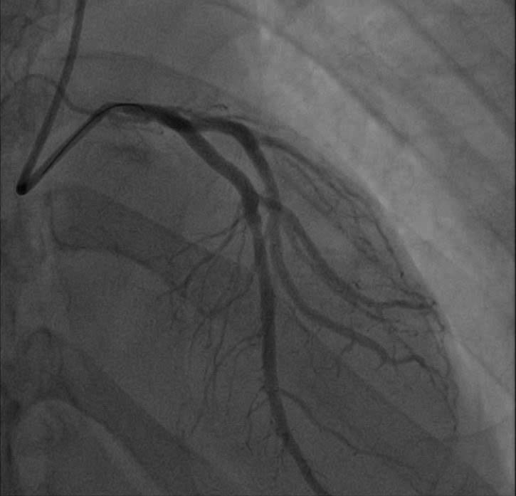
ngung-tim-3.jpg
ngung-tim-4.jpg
Tim bị hẹp tắc được can thiệp thành công - Ảnh BVCC

BS Phan Thảo Nguyên nhấn mạnh, người bệnh cần kiểm soát "gốc rễ" vấn đề như rối loạn lipid máu, dù chỉ số cholesterol không quá cao nhưng nếu kèm theo lối sống ít vận động, xơ vữa mạch vành vẫn có thể hình thành và gây tắc nghẽn đột ngột. Đồng thời, người bệnh cần thực hiện tầm soát chuyên sâu như: siêu âm tim, đo điện tâm đồ gắng sức hoặc chụp CT mạch vành là "chìa khóa" để phát hiện sớm các bất thường về tim mạch ở những người có nhiều yếu tố nguy cơ.

Sự hồi phục thần kỳ của anh M. không chỉ nhờ y học hiện đại mà còn nhờ "chuỗi sống còn" được bắt đầu ngay tại nơi anh làm việc. Để cấp cứu cho anh M, mọi người đã thực hiện các bước sơ cấp cứu ngừng tuần hoàn ngoài cộng đồng. Khi một người đột ngột ngừng thở ngừng tim, mỗi giây trôi qua là một phần não bộ có thể bị tổn thương vĩnh viễn.

Cách phát hiện ngừng tim và xử lý kịp thời

Cách nhận biết nhanh ngừng tim

D – Danger: Phát hiện nguy hiểm của hiện trường đối với người cứu hộ, nạn nhân và người xung quanh

R – Respone: Kiểm tra phản ứng tri giác của nạn nhân bằng cách vỗ vai hoặc gọi vào tai nạn nhân. Quan sát di động của lồng ngực và bụng. Bệnh nhân không thở hoặc chỉ thở ngáp cá (khò khè, hổn hển không đều).

S – Send for help: Gọi hỗ trợ xung quanh

Các bước sơ cấp cứu ngừng tuần hoàn (C-A-B)

Nếu bạn là người chứng kiến, hãy bình tĩnh thực hiện các bước sau:

C - Circulation (tuần hoàn)

- Vị trí ép tim: ½ dưới xương ức

- Tỷ lệ ép tim: 30:2 (trẻ em 15:2 khi có 2 người cấp cứu)

- Ép sâu ít nhất 5 cm (trẻ em để khoảng 1/3 ngực bị lún xuống)

- Tần số ép tim: 100-120 lần/ phút

Sau mỗi lần ép, đảm bảo lồng ngực trở về vị trí bình thường

A - Airway (kiểm soát đường thở)

- Ngửa đầu nạn nhân ra phía sau

- Đặt ngón trỏ và ngón giữa lên cằm nạn nhân

- Đặt tay còn lại lên trán nạn nhân

- Nâng cằm nạn nhân lên trong khi ấn trán ngửa đầu ra sau, khai thông đường thở

B - Breathing (hỗ trợ hô hấp)

- Đưa luồng khí vào cơ thể nạn nhân bằng hô hấp nhân tạo miệng – miệng (hoặc miệng – miệng qua mặt nạ). Nếu không làm được, bạn có thể chỉ cần ép tim ngoài lồng ngực.

- Sau khi khai thông đường thở của nạn nhân, đặt tay lên trán nạn nhân và bóp chặt mũi.

- Mở rộng miệng của bạn và ngậm chặt vào miệng nạn nhân.

- Thổi hai lần với lượng không khí đủ nhiều để làm nở ngực nạn nhân.

“Đừng sợ thực hiện sai. Việc ép tim liên tục ngay cả khi bạn không biết hô hấp nhân tạo vẫn có giá trị hơn rất nhiều so với việc đứng chờ đợi. Chính những nhịp ép tim của đồng nghiệp trong 5-10 phút đầu tiên là nền tảng sống còn để các bác sĩ có thể thực hiện kỹ thuật hồi sức chuyên sâu và can thiệp mạch vành sau đó”, BS Nguyên chia sẻ.

ThS.BS Nguyễn Đình Thuyên, ThS.BSCKII Vũ Hải Vinh (Khoa Hồi sức tích cực, Bệnh viện E)

back to top