Sức khoẻ 360

Sốt cao, người đàn ông hôn mê do tràn mủ dưới màng cứng não

Tràn mủ dưới màng cứng là một thể nhiễm trùng hệ thần kinh trung ương hiếm gặp nhưng cực kỳ nguy hiểm, nhiều biến chứng đe dọa tính mạng.

Hôn mê, liệt hoàn toàn nửa người sau sốt cao

Ngày 22/5, Bệnh viện Đa khoa Cẩm Phả (Quảng Ninh) cho biết, bệnh viện vừa cho xuất viện nam bệnh nhân 45 tuổi sau 2 tuần điều trị tích cực.

Trước đó, bệnh nhân nhập viện trong tình trạng hôn mê, điểm Glasgow chỉ 8–9, liệt hoàn toàn nửa người trái, đồng tử bên phải giãn – dấu hiệu cho thấy tổn thương thần kinh trung ương nghiêm trọng.

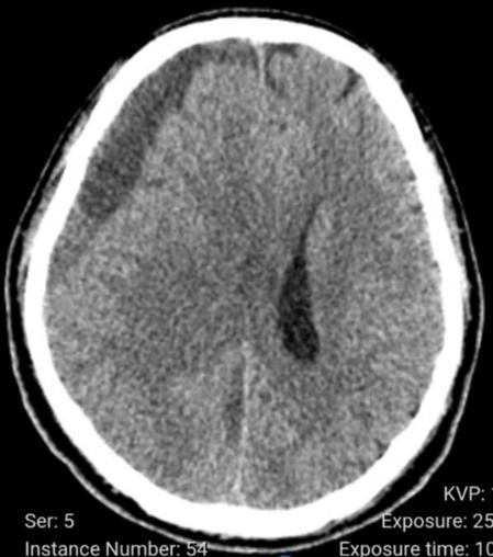
tran-mu-2.jpg
Tràn mủ dưới màng cứng trên phim chụp - Ảnh BVCC

Theo người nhà, bệnh nhân có tiền sử rối loạn tâm thần nhiều năm. Hai ngày trước khi nhập viện, xuất hiện triệu chứng đau đầu, sốt, nôn, sau đó co giật và hôn mê. Lần chụp cắt lớp sọ đầu tiên không phát hiện bất thường.

Tuy nhiên, khi các triệu chứng tiến triển nặng, bác sĩ đã chỉ định chụp cắt lớp vi tính lần 2, phát hiện khối dịch mủ hỗn hợp dưới màng cứng vùng trán – đỉnh não phải, gây đè đẩy não, lệch đường giữa và chèn ép não thất.

Trước tình trạng nguy kịch, bệnh nhân lập tức được chỉ định phẫu thuật cấp cứu dẫn lưu ổ mủ dưới màng cứng, kết hợp kháng sinh liều cao, thuốc chống viêm, chăm sóc tích cực.

Ê-kíp do ThS.BSCKII Vũ Quang Trung – Trưởng khoa Ngoại thần kinh trực tiếp thực hiện phẫu thuật. Sau mổ, bệnh nhân tỉnh dần, các dấu hiệu nhiễm trùng giảm đáng kể, liệt vận động cải thiện.

Sau 2 tuần điều trị và phục hồi chức năng, bệnh nhân đã có thể nói chuyện, vận động nhẹ, sức khỏe dần ổn định.

tran-mu-3-4091.jpg
Ca phẫu thuật cho bệnh nhân - Ảnh BVCC

Nhiễm trùng hệ thần kinh cực kỳ nguy hiểm

Theo ThS.BSCKII Vũ Quang Trung, tràn mủ dưới màng cứng là một thể nhiễm trùng hệ thần kinh trung ương hiếm gặp nhưng cực kỳ nguy hiểm, thường là biến chứng của các bệnh lý như: Viêm xoang trán, xoang sàng hoặc xoang bướm; Viêm tai giữa, nhiễm trùng tai kéo dài; Chấn thương sọ não hoặc biến chứng sau phẫu thuật.

tran-mu-1.jpg
Thăm khám cho bệnh nhân trước khi ra viện - Ảnh BVCC

Bệnh có thể tiến triển thành: Viêm màng não mủ; Huyết khối xoang tĩnh mạch vỏ não; Áp xe não.

Nếu không được chẩn đoán sớm và phẫu thuật dẫn lưu kịp thời, tình trạng nhiễm trùng có thể lan rộng toàn bán cầu não, gây nhiễm trùng huyết, nguy cơ tử vong cao hoặc để lại di chứng thần kinh nặng nề như liệt, co giật, suy giảm nhận thức…

Người dân cần đặc biệt lưu ý khi có các triệu chứng như:

• Đau đầu dữ dội, sốt cao

• Nôn, rối loạn ý thức, co giật

• Thay đổi tính cách ở người có tiền sử bệnh tâm thần

• Đã từng viêm xoang, viêm tai giữa nhưng điều trị không triệt để.

Khi có các dấu hiệu bất thường, cần đến ngay cơ sở y tế để được thăm khám chuyên khoa, chụp phim sọ não, xét nghiệm phù hợp.

Việc chẩn đoán sớm, can thiệp kịp thời và chăm sóc hậu phẫu bài bản đã giúp bệnh nhân thoát khỏi cửa tử, phục hồi thần kinh tích cực.

back to top