Sức khoẻ 360

Sán dây lợn làm tổ trong não, phổi và dưới da người phụ nữ 77 tuổi

Người bị nhiễm sán lợn do ăn phải nang sán trong thịt lợn gạo không nấu chín hoặc trứng sán có trong rau sống.

Gần đây khoa Hồi sức truyền nhiễm – Viện Lâm sàng các bệnh Truyền nhiễm - Bệnh viện Trung ương Quân đội 108 tiếp nhận một người bệnh nữ sinh năm 1948 được chẩn đoán theo dõi nhiễm ấu trùng sán dây lợn.

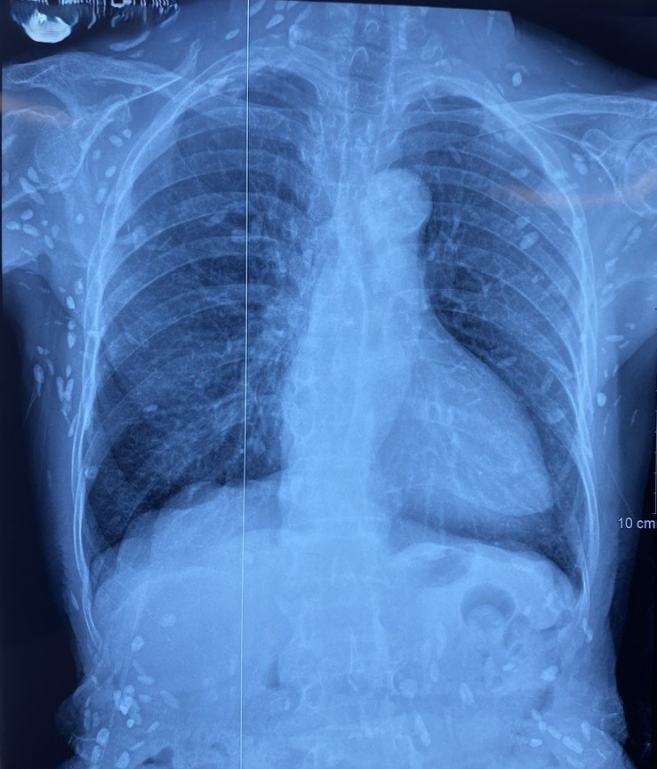
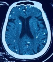
Người bệnh được chuyển lên từ tuyến trước vì rối loạn ý thức đe dọa suy hô hấp, hình ảnh cắt lớp vi tính sọ não và X-quang ngực cho thấy rất nhiều nốt cản quang trong nhu mô não và dưới da vùng ngực-bụng.

san-day-lon-1.jpg
Nhiều nốt cản quang trong nhu mô não của người bệnh - Ảnh BVCC

Một vài u cục với kích thước tương ứng có thể sờ thấy dưới da vùng ngực và cánh tay của người bệnh.

Mặc dù xét nghiệm kháng thể IgM với sán dây lợn âm tính, các tổn thương trên X-quang gợi ý người bệnh trước đây bị nhiễm ấu trùng sán dây lợn, sau đó các nang sán trở nên vôi hóa và tồn tại lâu dài trong tổ chức. Người bệnh được điều trị theo phác đồ bệnh chính, đáp ứng và ra viện tiếp tục điều trị theo tuyến.

Sán dây lợn (tên khoa học: Taenia solium) là một loại ký sinh trùng gây bệnh ở người, tuy nhiên được gọi tên theo vật chủ trung gian là lợn. Sán trưởng thành ký sinh trong ruột của người (có thể tồn tại nhiều năm, dài 2-7m, bao gồm đến 1000 đốt sán nối liền vào nhau), đào thải trứng hoặc đốt sán qua phân.

Trứng sán có thể tồn tại vài tháng ngoài môi trường, nếu bị lợn nuốt vào sẽ phát triển trong ruột non, sau đó xâm nhập vào thành ruột, rồi vào máu đi đến cơ, tạo thành các nang mà thường được gọi là các hạt gạo có thể quan sát được bằng mắt thường trong thịt lợn bị nhiễm sán.

san-day-lon.jpg
Nhiều nốt cản quang dưới da thành ngực-bụng và chi trên - Ảnh BVCC

Người bị nhiễm sán lợn do ăn phải nang sán trong thịt lợn gạo không nấu chín hoặc trứng sán có trong rau sống. Ở người, ngoài vị trí cơ, nang sán có thể được hình thành tại các vị trí nguy hiểm như não, mắt, có thể gây ra các triệu chứng tại cơ quan này như động kinh, rối loạn tâm thần – vận động, đau đầu, đau mắt, giảm thị lực…

Nang sán dây lợn có thể tự thoái hóa hoặc bị vôi hóa, tạo nên nhiều hình ảnh cản quang phát hiện được trên phim X-quang như trường hợp bệnh nhân trên.

Các biện pháp dự phòng bệnh sán dây lợn bao gồm ăn chín, uống chín, vệ sinh tay thường xuyên, đặc biệt trước khi ăn. Ấu trùng sán lợn sẽ chết khi bị đun sôi trong 2 phút.

Những người có yếu tố nguy cơ nhiễm bệnh, khi có triệu chứng nghi ngờ nên được thăm khám sớm. Người có sán trưởng thành trong ruột (chẩn đoán qua soi phân) phải được điều trị, quản lý chất thải để phòng ngừa lây nhiễm.

Cử nhân Nguyễn Thị Vân Anh, ThS. BS Nguyễn Sỹ Thấu (Khoa Hồi sức Truyền nhiễm, Bệnh viện TWQĐ 108)

back to top