Các bác sĩ Bệnh viện Hữu nghị Đa khoa Nghệ An vừa tiến hành phẫu thuật nội soi lấy bỏ nang sán dây lợn để giảm áp lực nội sọ cho một nam bệnh nhân 55 tuổi (trú tại xã Châu Lộc, huyện Quỳ Hợp).
Theo các chuyên gia, "bệnh sán lợn (Taenia solium) dân gian còn gọi là bệnh sán dây, nhưng từ lâu bệnh ít được quan tâm bởi vì nhiều nguyên nhân: Bệnh thường diễn biến âm thầm, không gây triệu chứng cấp tính như các bệnh nhiễm trùng khác.
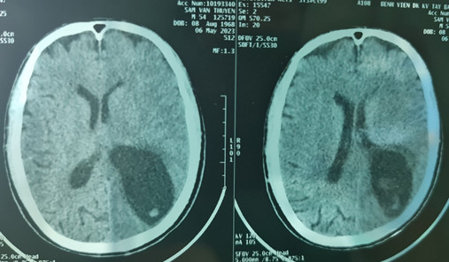
![]() |
| Phim chụp cắt lớp vi tính sọ não trước khi phẫu thuật - Ảnh: BV Hữu nghị đa khoa Nghệ An |
Nguyên nhân mắc bệnh sán dây lợn chủ yếu do người dân ăn phở lợn tái; Ăn thịt lợn hun khói, ăn thịt lợn thui chưa được nấu chín; Thói quen ăn tiết canh lợn hoặc gặp ở những bệnh nhân sống trong cộng đồng mà ở đó thường có tập quán nuôi lợn thả rong hay gặp ở các vùng miền núi Nghệ An, các vùng dân tộc thiểu số sinh sống,...
Các chuyên gia khuyến cáo, thực hiện phòng ngừa bệnh dây sán lợn bằng cách: Thực hiện đúng quy tắc “ăn chín, uống sôi”. Ăn các thực phẩm được nấu chín, không ăn các thức ăn sống từ lợn như nem chua sống, thịt lợn tái, tiết canh… Ngoài ra, ăn các loại rau sống không đảm bảo vệ sinh cũng có nguy cơ mắc bệnh sán dây lợn.
Vệ sinh môi trường, quản lý phân thật tốt. Cần có nước sạch để dùng trong sinh hoạt hàng ngày, nhất là ở các vùng nông thôn, miền núi.
Lợn cần được chăn thả đúng quy trình chăn nuôi và quản lý đúng cách, không thả rông. Quản lý các lò mổ lợn theo tiêu chuẩn an toàn thực phẩm.
Trứng và ấu trùng ký ký sinh trên heo có thể nhìn thấy bằng mắt thường. Người tiêu dùng cần cẩn thận trước khi chế biến thực phẩm, tránh mua thịt heo không có xuất xứ nguồn gốc để tránh nguy cơ nhiễm bệnh.
Mới đây, Khoa Phẫu thuật thần kinh cột sống, Bệnh viện Hữu nghị đa khoa (HNĐK) Nghệ An tiếp nhận và phẫu thuật thành công bệnh nhân S.V.Th, 55 tuổi, trú tại Châu Lộc, Quỳ Hợp, vào viện với tình trạng thất ngôn và không vận động được nửa người bên phải.
Trước khi nhập viện, bệnh nhân có triệu chứng nhức đầu nhẹ, sau đó bệnh nhân thấy méo miệng về bên phải, tay và chân phải yếu dần, không cử động được, kèm theo các cơn động kinh xuất hiện dày hơn, không kiểm soát được bằng thuốc.
Sau khi vào Bệnh Viện đa khoa Tây Bắc (Nghệ An) được các y bác sĩ thăm khám cho kết quả xét nghiệm phân tìm ký sinh trùng (+), xét nghiệm ELISA chẩn đoán ấu trùng sán lợn Cysticercosis(+), chụp cắt lớp vi tính não cho thấy có nhiều ổ ổ giảm tỷ trọng kèm phù não lớn vùng bán cầu trái. Kết luận cho rằng bệnh nhân bị Hội chứng tăng áp lực nội sọ do ấu trùng sán dây lợn trên hệ thần kinh, nguy cơ tử vong cao nếu không xử lý kịp thời.
Phương pháp được ra là phẫu thuật nội soi lấy bỏ nang sán để giảm áp lực nội sọ nhằm cứu sống bệnh nhân. Đồng thời bệnh nhân được điều trị nội khoa bằng thuốc diệt nang sán là Praziquantel kết hợp với thuốc solumedrol, thuốc chống động kinh và kháng sinh. Hiện tại bệnh nhân được Bác sĩ cho ra viện. Bệnh nhân đã có thể tự chăm sóc sức khỏe và sinh hoạt bình thường.
