Chẩn đoán nhồi máu não từ các triệu chứng thoáng qua
Theo thông tin từ Bệnh viện Đa khoa Medlatec, bệnh nhân L.V.B. 51 tuổi, (Hà Nội) đến bệnh viện thăm khám trong tình trạng méo miệng, nói khó.
Khai thác bệnh sử được biết, bệnh nhân đột ngột xuất hiện tình trạng méo miệng, nói khó. Sau khoảng 30 phút tình trạng cải thiện và sau 45 phút thì các triệu chứng phục hồi hoàn toàn.
Do các triệu chứng tự thoái triển, bệnh nhân đã không đi khám. Sau 2 ngày thì tình trạng diễn biến nặng lên đột ngột, các triệu chứng tái diễn rõ ràng hơn, kéo dài suốt 1 tiếng. Bệnh nhân lo lắng nên tới bệnh viện kiểm tra.
![]() |
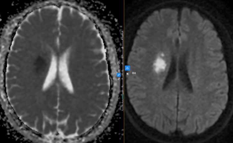
| Hình ảnh chụp MRI sọ não của bệnh nhân phát hiện bất thường. Ảnh BVCC |
Sau thăm khám, bệnh nhân được bác sĩ nhận định là tình trạng cấp cứu, được ưu tiên thực hiện ngay lập tức các khảo sát cận lâm sàng cần thiết như chụp MRI não, xét nghiệm máu.
Trên hình ảnh chụp MRI sọ não phát hiện ổ nhồi máu cấp tính vùng bao trong phải, giảm tín hiệu dòng chảy đoạn M2, M3 bên phải của động mạch não giữa. Bên cạnh đó, kết quả doppler động mạch cảnh cho thấy tình trạng dày lớp nội mạc động mạch dưới đòn phải và động mạch cảnh chung trái gây hẹp lòng mạch, mảng xơ vữa động mạch cảnh hai bên gây hẹp nhẹ lòng mạch.
Khoảng 50% người bệnh nhồi máu não có kèm tăng huyết áp - cẩn trọng các biến chứng nguy hiểm
Tăng huyết áp là một bệnh lý phổ biến trong cộng đồng. Bệnh thường diễn tiến âm thầm và gây ra những biến chứng nguy hiểm có thể đe dọa tính mạng người bệnh nếu không được phát hiện và điều trị kịp thời.
Đáng lo ngại, một trong những nguyên nhân chính gây ra nhồi máu não là tăng huyết áp. Thống kê cho thấy có tới 50% người bệnh nhồi máu não đi kèm tăng huyết áp.
Bên cạnh đó, tình trạng tăng huyết áp còn liên quan tới nhiều bệnh lý nguy hiểm, cụ thể như:
Phình và bóc tách động mạch chủ: Huyết áp cao gây tăng áp lực lên thành động mạch chủ, lâu ngày làm thành mạch bị suy yếu, giãn lớn ra. Đoạn động mạch chủ bị phình có thành mạch yếu, nếu huyết áp cao dễ gây tổn thương, xé rách các lớp trong thành mạch dẫn đến bóc tách thành động mạch hay vỡ động mạch chủ, khiến người bệnh tử vong.
Ảnh hưởng trực tiếp lên mạch máu và tim: Huyết áp cao làm tăng xơ vữa mạch máu, thành mạch cứng hơn và dễ bị tổn thương. Các mảng xơ vữa bám trong lòng mạch vành gây hẹp dần lòng mạch, không dẫn đủ máu nuôi cơ tim khi tim cần làm việc gắng sức, gây ra triệu chứng mệt, đau ngực khi gắng sức.
Làm giảm chức năng thận: Huyết áp cao làm tăng áp lực lọc nước tiểu trong các cầu thận, lâu ngày gây tổn thương màng lọc ở cầu thận. Khi thận bị tổn thương, mức độ lọc để đào thải nước và chất độc ra khỏi cơ thể giảm dần, làm ứ đọng các chất này trong cơ thể gây triệu chứng phù, mệt mỏi, chán ăn, ngứa ngoài da.
Tăng huyết áp gây đột quỵ, tử vong: Tăng huyết áp là yếu tố nguy cơ quan trọng đưa đến đột quỵ. Người có huyết áp cao >160/100 mmHg tăng 4,3 lần nguy cơ bị xuất huyết não.
Bác sĩ Tuấn đưa ra khuyến cáo, người dân khi có biểu hiện tăng huyết áp tuyệt đối không nên tự ý mua thuốc điều trị tại nhà mà hãy đến cơ sở y tế để được các bác sĩ khám và chẩn đoán. Trên thực tế, tăng huyết áp ở mỗi người sẽ có mức độ khác nhau, cũng như có mức ảnh hưởng khác nhau đến các bệnh lý liên quan. Vậy nên, việc không hiểu rõ bệnh tình và tự uống thuốc điều trị sẽ có thể gây tác dụng phụ phát sinh biến chứng khó lường.
Bên cạnh đó, người dân cần đi kiểm tra sức khỏe định kỳ, từ kết quả thăm khám, bác sĩ sẽ điều chỉnh đơn thuốc hoặc phương pháp điều trị hợp lý. Đặc biệt, người dân cần thiết lập thói quen tầm soát huyết áp định kỳ tại các cơ sở y tế uy tín để kiểm soát hiệu quả tình trạng sức khỏe của bản thân.
