Thói quen sinh hoạt không khoa học như thức khuya, tắm đêm, uống rượu bia, ăn uống thất thường, sử dụng tai nghe... đều là yếu tố nguy cơ dẫn đến điếc đột ngột.
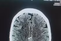
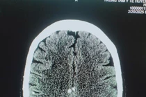
Đột ngột xuất hiện tình trạng méo miệng, nói khó, người đàn ông đi khám được chẩn đoán nhồi máu não giờ thứ 2 và cấp cứu kịp thời trong khoảng thời gian vàng. Đáng chú ý, bệnh nhân đang điều trị tình trạng tăng huyết áp nhiều năm nay.
Chỉ trong 3 ngày kể từ lúc có dấu hiệu tê mặt trái, nam thanh niên bất ngờ bị méo miệng và mắt nhắm không kín, đi khám chẩn đoán liệt dây thần kinh số 7 ngoại biên.
Liệt dây thần kinh số 7 là căn bệnh không gây nguy hiểm đến tính mạng nhưng có thể gây ảnh hưởng nặng nề và để lại di chứng nếu không được điều trị đúng cách...
Trường hợp bệnh nhân nam trẻ tuổi này, nhờ được nhanh chóng đưa đến bệnh viện nên hiệu quả điều trị cao, phục hồi ngoại mục sau 48 giờ. Vì vậy, khi có những biểu hiện: đột ngột yếu, liệt tay, chân... cần đến viện sớm.
Cấp cứu đột quỵ trong thời gian vàng giúp nâng cao cơ hội sống sót cho người bệnh, bởi chỉ cần chậm 1 phút, người bệnh có thể sẽ mất đi gần 2 triệu tế bào não. Can thiệp, điều trị đột quỵ tốt nhất cần trong khung giờ này.
Do thói quen ăn đồ sống hoặc tái nên nhiều người có nguy cơ mắc sán não. Sán có thể xâm nhập vào gan phổi, lách, thận, tim, xương và não... người dân cần chú ý.
Bệnh liệt mặt, méo miệng xảy ra do khi cơ thể bị lạnh làm co thắt mạch nuôi dây thần kinh số 7 gây ra tình trạng thiếu máu cục bộ, phù, chèn ép dây thần kinh. Bệnh có thể gây liệt vĩnh viễn nếu không chữa trị kịp thời.
Trời lạnh của những ngày đầu năm mới, cùng với lịch trình du xuân, gặp mặt đầu năm dễ khiến sức khỏe bị ảnh hưởng và đột quỵ xảy ra...cần biết cách cấp cứu.
Bệnh liệt mặt, méo miệng xảy ra là do khi cơ thể bị lạnh làm co thắt mạch nuôi dây thần kinh số 7 gây ra tình trạng thiếu máu cục bộ, phù và chèn ép dây thần kinh ở đoạn trong ống Fallope của người bệnh.
Bé gái 15 tháng tuổi được gia đình đưa vào viện thăm khám trong tình trạng méo miệng, mắt không nhắm kín. Các bác sĩ chẩn đoán bé bị liệt dây thần kinh số VII ngoại biên bên phải.
Tỉnh dậy sau một đêm ngủ phòng điều hòa (máy lạnh), bà H.T.T. 47 tuổi (Phú Thọ) bất ngờ phát hiện mắt phải nhắm không kín, miệng méo sang trái, ăn uống rơi vãi, đi khám được chẩn đoán liệt mặt phải do lạnh
Không chỉ người lớn mà trẻ nhỏ cũng bị liệt mặt, méo miệng... do bị lạnh. Vậy làm gì để phát hiện sớm liệt dây thần kinh số VII ngoại biên và cảnh báo của bác sĩ?
Nhiều trường hợp người bệnh bị liệt dây thần kinh số VII ngoại biên (liệt mặt) khi thời tiết lạnh. Điều đáng nói là trong đó có nhiều trường hợp trẻ em mắc bệnh và nguyên nhân đều có sự chủ quan từ phía người lớn.