Sức khoẻ 360

Kết hợp xương phục hồi tàn tật cho người già gãy liên mấu chuyển xương đùi

Ở người cao tuổi, gãy liên mấu chuyển xương đùi thường để lại hậu quả nặng nề, dễ gây biến chứng nguy hiểm như: Viêm phổi, huyết khối tĩnh mạch sâu...

Bệnh viện Đa khoa tỉnh Quảng Ninh đã hỗ trợ Bệnh viện Đa khoa Hạ Long thực hiện phẫu thuật kết hợp xương ít xâm lấn điều trị gãy liên mấu chuyển xương đùi cho hai bệnh nhân cao tuổi.

Ca mổ không chỉ giúp người bệnh hồi phục nhanh nhờ phương pháp hiện đại mà còn khẳng định vai trò tuyến chuyên sâu trong hội chẩn, hỗ trợ chuyên môn, giúp người dân vùng xa được tiếp cận kỹ thuật điều trị tiên tiến ngay tại địa phương.

Hai bệnh nhân cao tuổi là Nguyễn Thị H. (88 tuổi) và Nguyễn Thị N. (87 tuổi), cùng trú tại phường Hoành Bồ, tỉnh Quảng Ninh. Cả hai trường hợp đều nhập viện trong tình trạng đau nhiều, mất vận động khớp háng sau khi bị ngã ở nhà.

Kết quả chụp X-quang xác định bệnh nhân bị gãy liên mấu chuyển xương đùi. Với tình trạng tuổi cao, sức yếu, việc vận chuyển bệnh nhân hạn chế, tiềm ẩn nguy cơ làm vị trí gãy thêm trầm trọng.

Sau khi liên hệ hội chẩn, Bệnh viện Đa khoa tỉnh Quảng Ninh đã cử kíp bác sĩ khoa Chấn thương chỉnh hình trực tiếp đến Bệnh viện Đa khoa Hạ Long để hỗ trợ phẫu thuật, đảm bảo an toàn cho người bệnh.

xuong-dui-2.jpg
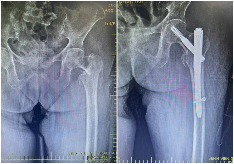
Hình ảnh X-quang gãy liên mấu chuyển xương đùi trái của bệnh nhân H (88 tuổi) được kíp mổ phẫu thuật kết hợp xương ít xâm lấn - Ảnh BVCC
xuong-dui1.jpg
Hình ảnh X-quang gãy liên mấu chuyển xương đùi phải của bệnh nhân N (87 tuổi) được kíp mổ phẫu thuật kết hợp xương ít xâm lấn - Ảnh BVCC

Kíp mổ do bác sĩ CKII Loan Tám Bảy, Phó khoa Chấn thương chỉnh hình phụ trách phối hợp cùng các bác sĩ Bệnh viện Đa khoa Hạ Long thực hiện phẫu thuật kết hợp xương gãy liên mấu chuyển xương đùi bằng phương pháp ít xâm lấn.

Qua đường rạch da nhỏ khoảng 3-5cm, phẫu thuật viên nắn chỉnh xương gãy về vị trí giải phẫu, sau đó cố định bằng đinh nội tủy PFNA dưới màn hình tăng sáng (C-arm).

Ca mổ diễn ra an toàn, thuận lợi trong một giờ. Sau phẫu thuật, cả hai bệnh nhân đều hồi phục tốt, ít đau, có thể ngồi dậy, ăn uống bình thường và đang trong giai đoạn điều trị phục hồi chức năng tích cực.

ket-xuong-dui.jpg
Kíp mổ khoa Chấn thương chỉnh hình, Bệnh viện Đa khoa tỉnh hỗ trợ Bệnh viện Đa khoa Hạ Long thực hiện phẫu thuật kết hợp xương ít xâm lấn - Ảnh BVCC

BS.CKII Loan Tám Bảy, Phó khoa Chấn thương chỉnh hình, Bệnh viện Đa khoa tỉnh, cho biết: “Ở người cao tuổi, gãy liên mấu chuyển xương đùi thường để lại hậu quả nặng nề, dễ gây biến chứng nguy hiểm như: Viêm phổi, huyết khối tĩnh mạch sâu nếu phải nằm bất động lâu, vì vậy cần xử trí càng sớm càng tốt. Chúng tôi đã trực tiếp đến hỗ trợ đơn vị tuyến dưới nhằm đảm bảo người bệnh được phẫu thuật kịp thời, an toàn.

Phẫu thuật kết hợp xương ít xâm lấn với đường rạch da chỉ khoảng 3 - 5cm, cho phép nắn chỉnh và cố định vững chắc xương gãy bằng đinh nội tủy dưới sự hỗ trợ của màn hình tăng sáng C-arm. Kỹ thuật này giúp hạn chế tổn thương cơ, mạch máu và mô lành xung quanh, giảm nguy cơ nhiễm trùng, biến chứng sau mổ.

Nhờ đó, người bệnh ít đau, mất máu ít, thời gian hồi phục nhanh, sớm tập phục hồi chức năng để trở lại sinh hoạt bình thường. Đây là hướng điều trị tối ưu hiện nay cho các trường hợp gãy xương ở người cao tuổi, góp phần nâng cao chất lượng cuộc sống”.

xuong-dui.jpg
Hai bệnh nhân gãy liên mấu chuyển xương đùi hồi phục tốt sau khi được phẫu thuật bằng kỹ thuật hiện đại.

Gãy liên mấu chuyển xương đùi có tần suất tăng theo tuổi thọ, người già sức khỏe yếu và bị loãng xương nên chỉ ngã đập mông xuống nền cứng với một lực nhẹ có thể gẫy xương.

Gãy liên mấu chuyển xương đùi khá phổ biến, chiếm 55% các loại gẫy đầu trên xương đùi, 95% gặp ở người cao tuổi, phụ nữ gặp nhiều gấp 2 – 3 lần nam giới.

Gãy cổ xương đùi nếu điều trị không phẫu thuật thì nguy cơ tử vong cao vì các biến chứng như loét da ở những vùng tì đè như cùng cụt, vùng mắt cá ngoài, vùng gối, viêm phổi và nhiễm trùng đường tiểu.

Tắc mạch vì phải nằm lâu, ít vận động nên dễ hình thành những cục máu đông trong lòng mạch máu. Nếu những cục máu này di chuyển đến phổi, não hoặc tim gây nguy hiểm tính mạng.

back to top