Sức khoẻ 360

Gãy xương hàng loạt vị trí, người đàn ông 37 tuổi mắc bệnh hiếm

Nhuyễn xương khiến xương mềm và yếu đi do rối loạn quá trình chuyển hóa của xương, khiến xương trở nên giòn, dễ gãy. Y văn thế giới ghi nhận dưới 1000 ca.

Đang khỏe mạnh thì đau xương khớp, xương tự gãy, suy kiệt

Chỉ mới 37 tuổi, anh M. vốn là người đàn ông khỏe mạnh, trụ cột chính của gia đình. Thế nhưng, hơn một năm qua, tình trạng đau các khớp, đau dọc xương dài kèm đau nhức cơ âm ỉ, khiến cơ thể anh M. suy kiệt nhanh chóng.

Sau nhiều lần thăm khám, anh bất ngờ được phát hiện có vết gãy xương ở nhiều vị trí và từng phải thay khớp háng nhân tạo do gãy cổ xương đùi, dù trước đó anh hoàn toàn không gặp bất kỳ chấn thương nào.

Sau ca phẫu thuật thay khớp háng, anh M. hy vọng sức khỏe và khả năng vận động sẽ dần hồi phục, nhưng thực tế, tình trạng đau nhức toàn thân của anh ngày càng dữ dội.

“Xương khớp mình đau âm ỉ như người cao tuổi, ngày càng đau tăng hơn trước, đau liên tục cả khi làm việc lẫn nghỉ ngơi. Mỗi lần thay đổi tư thế hay di chuyển đều rất khó khăn, đa phần mình phải dùng nạng hoặc nhờ người thân hỗ trợ. Hơn 1 năm nay, đi làm thì đều phải bắt taxi chứ không thể tự lái xe được”, anh M. chia sẻ.

Trước tình trạng ngày càng trầm trọng, anh quay lại Bệnh viện Đa khoa Hồng Ngọc để thăm khám. Tại đây, sau hàng loạt các xét nghiệm, chẩn đoán hình ảnh, đo mật độ xương,... các bác sĩ xác định anh mắc nhuyễn xương kèm theo tình trạng cường cận giáp và hạ phốt pho máu mạn tính.

xuong-803.jpg
ThS.BSNT Nguyễn Thị Vân thăm khám cho bệnh nhân M - Ảnh BVCC

Cả thế giới mới ghi nhận dưới 1000 ca

ThS.BSNT Nguyễn Thị Vân - Khoa Cơ xương khớp, Bệnh viện Đa khoa Hồng Ngọc, người trực tiếp thăm khám và điều trị cho bệnh nhân chia sẻ: “Nhuyễn xương là tình trạng xương mềm và yếu đi do rối loạn quá trình chuyển hóa của xương, khiến xương trở nên giòn, dễ gãy.

Bệnh rất hiếm gặp và thường khó phát hiện do triệu chứng dễ bị nhầm lẫn với các bệnh lý cơ xương khớp khác như: loãng xương thông thường, thoát vị đĩa đệm, cường cận giáp…

Theo y văn thế giới, hiện ghi nhận dưới 1000 ca và ở Việt Nam thì đây là một trong số ít trường hợp được phát hiện kịp thời”.

Có trường hợp 42 năm mới tìm được nguyên nhân

Có nhiều nguyên nhân gây nhuyễn xương ở bệnh nhân trẻ tuổi. Việc tìm ra nguyên nhân sẽ giúp điều trị đúng đích, bệnh nhân có thể khỏi bệnh hoàn toàn, ngăn chặn tốc độ suy yếu xương, hạn chế nguy cơ gãy thêm nhiều vị trí, biến dạng khớp và mất vận động vĩnh viễn.

Tuy nhiên, việc tìm được căn nguyên của bệnh lý hiếm gặp này không hề đơn giản, ThS.BSNT Nguyễn Thị Vân cũng cho biết: "Thời gian để chẩn đoán ra bệnh trung bình là 3 năm rưỡi, có những trường hợp phải mất tới 42 năm mới tìm được nguyên nhân, đồng nghĩa bệnh nhân phải sống chung cơn đau xương khớp kéo dài”.

Thêm vào đó, ở Việt Nam, các xét nghiệm giúp chẩn đoán bệnh nhuyễn xương vẫn còn nhiều hạn chế, khiến hành trình đi tìm nguyên nhân căn bệnh của anh M. gặp nhiều trắc trở.

Ngay khi tiếp nhận trường hợp của anh, các bác sĩ Khoa Cơ xương khớp, Bệnh viện Đa khoa Hồng Ngọc đã tiến hành đánh giá toàn diện nhiều yếu tố. Các bác sĩ đánh giá rất kỹ lưỡng về yếu tố di truyền (tiền sử gia đình, anh chị em ruột, quá trình phát triển xương từ thời niên thiếu), kiểm tra yếu tố nghề nghiệp như việc tiếp xúc với hóa chất độc hại, đồng thời rà soát chế độ ăn kiêng đặc biệt và khả năng hấp thu dinh dưỡng của anh.

Tuy nhiên, mọi kết quả đều không phát hiện bất thường, các nguyên nhân này được loại trừ.

Thêm vào đó, bác sĩ tiếp tục tiến hành đánh giá các yếu tố nguy cơ: cường cận giáp và hạ phốt pho máu mạn tính. Kết quả siêu âm không phát hiện khối u ở tuyến cận giáp. Bước đầu xác định tình trạng cường cận giáp của anh M. là thứ phát, đây là biến chứng của bệnh lý nhuyễn xương, không phải nguyên nhân gây bệnh.

Đi tìm nguyên nhân gây hạ phốt pho máu thông qua xét nghiệm, phát hiện chỉ số đào thải phốt pho qua đường niệu tăng, nghi ngờ bệnh nhân có khối u tăng tiết FGF23 - một yếu tố làm tăng thải phốt pho qua đường tiết niệu, gây thiếu hụt phốt pho máu, rối loạn chuyển hóa trong xương và dẫn đến bệnh nhuyễn xương.

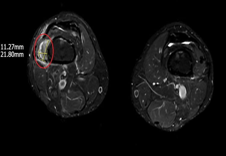
xuong-802.jpg
Hình ảnh khối u vùng vị trí phần mềm dưới đùi phải trên phim MRI - Ảnh BVCC

“Việc cần làm là phải xác định được vị trí của khối u để loại bỏ triệt để căn nguyên gây thiếu hụt phốt pho khiến xương giòn yếu. Tuy nhiên, thách thức của quá trình chẩn đoán là u tăng tiết FGF23 thường là u lành tính, nhỏ, không sưng đau và có thể ở xuất hiện ở bất kỳ vị trí nào trên cơ thể.

Để củng cố chẩn đoán bệnh cần phải định lượng chỉ số FGF23 trong máu, tuy nhiên, ở Việt Nam hiện chưa có xét nghiệm này. Do đó, chúng tôi chỉ định bệnh nhân chụp PET/CT toàn thân với chất phóng xạ kết hợp chụp MRI, siêu âm, cuối cùng tìm thấy 1 khối u kích thước 1-2 cm vị trí phần mềm dưới đùi phải”, ThS.BSNT Vân chia sẻ.

Xử lý khối u khiến xương suy yếu, bệnh nhân “thoát” cảnh tàn phế

Ngay sau khi xác nhận vị trí khối u, các bác sĩ khoa Cơ xương khớp, Nội tiết và Chấn thương chỉnh hình - Bệnh viện Đa khoa Hồng Ngọc đã tiến hành hội chẩn và lên phương án sinh thiết khối u (xác định đặc điểm mô bệnh học tương đồng u tăng tiết FGF23) và tiến hành phẫu thuật bóc tách khối u.

xuong-80.jpg
Hình ảnh khối u được bóc tách - Ảnh BVCC

Sau phẫu thuật, khối u được loại bỏ hoàn toàn, sức khỏe bệnh nhân ổn định, xét nghiệm phốt pho trong máu cải thiện rõ rệt sau 1 tuần. Hiện tại sau 6 tuần, chỉ số phốt pho trong máu đã về mức bình thường, bệnh nhân ăn tốt, ngủ ngon, đỡ đau nhiều, thay đổi tư thế và nằm nghiêng không đau, có thể đi bộ trong nhà không cần nạng hỗ trợ.

“Do tình trạng xương tổn thương nặng nên bệnh nhân sẽ cần ít nhất từ 3-12 tháng để xương có thời gian phục hồi. Trong thời gian này, bệnh nhân cần tuân thủ phác đồ điều trị bổ sung canxi, vitamin D hoạt hóa và tăng cường chế độ dinh dưỡng”, ThS.BSNT Vân cho biết.

web-3.jpg
Sức khỏe bệnh nhân M. ổn định sau phẫu thuật - Ảnh BVCC

Qua đây, ThS.BSNT Nguyễn Thị Vân cũng khuyến cáo: Người bệnh cẩn trọng với những cơn đau xương khớp kéo dài, cần đến các Chuyên khoa về Cơ xương khớp thăm khám ngay khi có dấu hiệu bất thường, tránh làm trễ việc chẩn đoán và điều trị.

back to top