Sức khoẻ 360

Cảnh báo đau đầu đột ngột có thể là dấu hiệu xuất huyết não

Bệnh nhân bị tụ máu não thể hiện qua đau đầu dữ dội, không có chấn thương, nhấn mạnh tầm quan trọng của khám sớm để tránh nguy hiểm.

Khoa Cấp cứu A9, Bệnh viện 19-8 vừa tiếp nhận và điều trị cho 1 bệnh nhân bị tụ máu nhu mô não kèm tràn máu não thất mà triệu chứng duy nhất vào viện chỉ là đau đầu.

Bệnh nhân là ông Nguyễn Thái H. (50 tuổi, Tây Tựu – Hà Nội). Bệnh nhân cho biết, buổi sáng trước khi nhập viện, vào khoảng 6h, ông bị đau nửa đầu trái âm ỉ, không buồn nôn, không nôn, không chấn thương, vẫn đi tập thể dục bình thường.

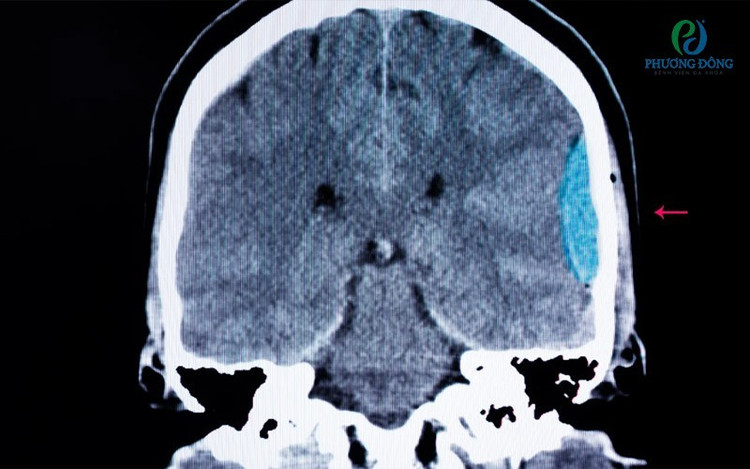
6h sáng bệnh nhân vẫn đi thể dục, sau 1 tiếng đau đầu đột ngột phát hiện tụ máu não (Ảnh: BV 19-8).

Đến 7h sáng cùng ngày, cơn đau tăng dần nên bệnh nhân vào khám tại Bệnh viện 19-8. Thăm khám ban đầu cho thấy, bệnh nhân tỉnh táo, tiếp xúc tốt; Không liệt khu trú; Mạch 90 lần/phút, huyết áp 130/80 mmHg; SpO₂ 99%, tự thở khí trời.

Tuy nhiên, kết quả chẩn đoán hình ảnh cho thấy bệnh nhân bị tụ máu nhu mô não vùng thái dương trái, kèm tràn máu não thất bên trái và não thất III. Trước tình trạng nguy hiểm, bệnh nhân được chỉ định nhập viện cấp cứu, điều trị theo chuyên khoa thần kinh.

Chia sẻ về ca bệnh, BS Đỗ Chí Hiếu - Phó Trưởng khoa Cấp cứu A9, Bệnh viện 19-8 cho biết: “Không phải cơn đau đầu nào cũng lành tính. Những cơn đau đầu xuất hiện đột ngột, đau tăng nhanh hoặc đau khác thường so với trước đây có thể là dấu hiệu sớm của xuất huyết não, tụ máu não hoặc các bệnh lý nội sọ nguy hiểm.

Việc đi khám sớm giúp phát hiện kịp thời, từ đó quyết định trực tiếp đến tiên lượng và tính mạng của người bệnh".

Các bác sĩ khuyến cáo, người dân không nên chủ quan và cần đến cơ sở y tế ngay khi có các dấu hiệu sau: Đau đầu đột ngột, tăng dần; Đau đầu khác hẳn những lần trước; Đau đầu kèm nôn, nói khó, yếu tay chân, lơ mơ; Đau đầu sau khi uống nhiều rượu; Người trên 40 tuổi lần đầu xuất hiện kiểu đau đầu bất thường...

Tụ máu não thường xảy ra do chấn thương hoặc vỡ mạch máu. Ảnh minh họa/Nguồn benhvienphuongdong.vn

Khi thấy các triệu chứng trên, không chủ quan với đau đầu bất thường, không tự ý uống thuốc giảm đau kéo dài, không nghĩ rằng “ngủ một giấc là sẽ khỏi” và đi khám sớm khi có dấu hiệu cảnh báo để tránh hậu quả đáng tiếc.

Máu tụ nội sọ xảy ra khi máu tụ lại bên trong các mô não. Hiện có nhiều nguyên nhân gây ra tình trạng máu tụ trong não này, bao gồm vỡ phình động mạch (vỡ mạch máu bị phình), chấn thương, các tĩnh mạch và động mạch kết nối bất thường, bị đột quỵ xuất huyết não, khối u…

Những vấn đề kể trên có thể làm rò rỉ máu vào não một cách tự phát. Nhiều khối máu tụ trong não có nguy cơ xuất hiện khi bị va chạm, chấn thương ở đầu.

back to top