Ù tai, chóng mặt suốt 8 tháng không ngờ bị u dây thần kinh tiền đình - ốc tai

Bị ù tai, chóng mặt, đau đầu 8 tháng, bệnh nhân nữ 51 tuổi không ngờ bị u dây thần kinh tiền đình - ốc tai (CN VIII).

Bệnh nhân nữ 51 tuổi vào viện vì đau đầu, ù tai, chóng mặt, bệnh biểu hiện 8 tháng nay mới đi khám.

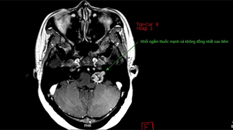
Chụp MRI, bệnh nhân được chẩn đoán u bao dây thần kinh số VIII – u dây thần kinh tiền đình - ốc tai (CN VIII)

u-than-kinh-vii.jpg
u dây thần kinh tiền đình - ốc tai có hình kem ốc quế

Schwannomas tiền đình, còn được gọi là u thần kinh thính giác, là những khối u tương đối phổ biến phát sinh từ dây thần kinh tiền đình- ốc tai (CN VIII) .

Schwannomas tiền đình chiếm khoảng 8% tất cả các khối u nội sọ nguyên phát và 75-90% khối u góc cầu tiểu não. Phần lớn (95%) các tổn thương đơn độc là rời rạc, lẻ tẻ. 

Mặc dù thường xảy ra trong độ tuổi từ 40-60, với độ tuổi trung bình là 50 tuổi, những người có NF2 có xu hướng xuất hiện sớm hơn, với tỷ lệ mắc cao nhất vào khoảng độ tuổi 30. Mặc dù hiếm gặp, u schwannomas tiền đình có thể xảy ra ở trẻ em.

Biểu hiện khởi phát là điếc thần kinh giác quan ở người lớn hoặc ù tai, đôi khi có triệu chứng chóng mặt hoặc mất thăng bằng. Ở một số bệnh nhân, điều này không được chú ý và biểu hiện bị trì hoãn cho đến khi tổn thương lớn hơn nhiều và có các triệu chứng liên quan tiểu não và thân não (ví dụ như rối loạn chức năng thần kinh sọ, không phải là tiền đình), hoặc não úng thủy do chèn ép não thất thứ tư.

u-than-kinh-vii-2.png
Hình ảnh u dây thần kinh tiền đình - ốc tai trên phim chụp của bệnh nhân 

Schwannomas tiền đình là các khối u lành tính, thường phát sinh từ đoạn ống tiền đình của dây thần kinh tiền đình-ốc tai gần điểm chuyển tiếp giữa tế bào thần kinh đệm và tế bào Schwann. Trong hơn 90% trường hợp, những khối u này phát sinh từ vị trí chia nhánh phía dưới của dây thần kinh tiền đình. Ít hơn 5% trường hợp phát sinh từ phần ốc tai của dây thần kinh tiền đình- ốc tai.

Các khối u nhỏ có xu hướng đặc, nhưng các khối u lớn hơn thường có thoái hóa nang, có thể có các vùng xuất huyết, thường không có vôi hóa

Việc điều trị u tế bào tiền đình phụ thuộc vào kích thước khối u, độ tuổi và các bệnh đồng mắc để có thể theo dõi, xạ trị định vị lập thể hoặc vi phẫu lấy u. Nhìn chung tỷ lệ khối u tái phát thấp, dao động từ 1-9%.

BS Nguyễn Thị Hằng (Khoa chẩn đoán hình ảnh –Bệnh viện E T.Ư)

back to top