Ngày càng nhiều người trẻ đối diện với tình trạng ù tai do: Áp lực học tập, làm việc, căng thẳng kéo dài, thiếu ngủ, lạm dụng tai nghe, dùng thuốc độc với tai…
Bệnh nhân có tiền sử chấn thương vùng đầu – mặt, kèm các biểu hiện bất thường như đỏ mắt, lồi mắt, ù tai cần được khám chuyên khoa ngay. Dò động mạch cảnh xoang hang nếu không điều trị sớm có thể dẫn đến các biến chứng nghiêm trọng.
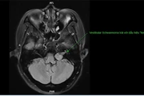
Ù tai không phải triệu chứng phổ biến của phình tách động mạch cảnh song khi xuất hiện cùng biểu hiện đau đầu, mờ mắt, đau cổ thì có thể là dấu hiệu cảnh báo bệnh.
Điếc đột ngột không chừa một ai, kể cả người trẻ và khỏe mạnh. 72 giờ đầu là thời gian vàng để cứu vãn thính lực. Nếu được phát hiện và điều trị kịp thời, có thể phục hồi.
Khi có các biểu hiện của bệnh viêm tai giữa như: đau tai, ù tai, nghe kém... cần phải đi khám đúng chuyên khoa để được điều trị kịp thời, tránh các biến chứng nguy hiểm đến tính mạng hay các di chứng gây mất sức nghe về sau.
Đau đầu là bệnh thường gặp. Khi bị bệnh, ngoài thăm khám, dùng thuốc có thể sử dụng một số loại thực phẩm chế biến thành món ăn để phòng và chữa bệnh này khá hiệu quả.
Ù tai là tình trạng khiến người bệnh vô cùng khó chịu. Nếu không điều trị sớm có thể gây nhiều ảnh hưởng cho sức khỏe. Nếu bạn cũng đang khó chịu vì ù tai hãy thực hiện ngay 6 lời khuyên dưới đây của chuyên gia nhé!
Ù tai có thể do yếu tố tuổi tác, hoặc các vấn đề liên quan đến hệ tuần hoàn. Nếu không điều trị kịp thời có thể ảnh hưởng tới sức khỏe tinh thần và thể chất của người mắc. Dưới đây là những mẹo chữa ù tai nhanh chóng
Khi tai bị nước lọt vào, bạn có thể cảm nhận một cảm giác bưng bưng, bít bùng hoặc khó chịu một chút. Trút nước ra khỏi tai rất quan trọng vì nếu để nước đọng lại lâu trong tai sẽ dẫn đến viêm tai.
Có tiếng ve kêu trong đầu là tình trạng khá phổ biến, gây triệu chứng khó chịu cho người mắc. Vậy khi nhận thấy triệu chứng có tiếng ve kêu trong đầu thì phải làm sao để cải thiện?
Bệnh ù tai, nghe kém có chiều hướng tăng nhanh trong thời kỳ phát triển công nghiệp, đặc biệt có xu hướng xảy ra nhiều với người trẻ, người làm việc văn phòng, học sinh, những người làm việc trong môi trường ồn và công việc căng thẳng.
Ù tai trái kéo dài gây khó chịu, ảnh hưởng tới cuộc sống của người mắc. Bên cạnh phương pháp chuyên khoa, việc áp dụng một số mẹo chữa ù tai trái cũng giúp mang đến hiệu quả bất ngờ.
Ù tai có thể dẫn đến mất ngủ, khó tập trung, trầm cảm, bực bội… Tùy tình trạng ù tai nặng hay nhẹ, bạn có thể áp dụng những cách điều trị khác nhau. Dưới đây là những mẹo vặt để chữa ù tai nhanh chóng, hiệu quả.
Điếc đột ngột xảy ra ở bất kỳ tuổi nào, là bệnh lý cấp cứu, nếu không được điều trị trong 72 giờ đầu bệnh nhân sẽ đối mặt nguy cơ điếc, ù tai vĩnh viễn.
(khoahocdoisong.vn) - Khi nhận thấy có dấu hiệu ù tai phải, nhiều người luôn lo lắng vì không biết nguyên nhân gây bệnh là do đâu và làm sao để cải thiện tình trạng này hiệu quả. Nếu đang có triệu chứng ù tai phải, bạn nên áp dụng theo các cách dưới đây để bệnh nhanh chóng được cải thiện.