Theo thông tin từ Bệnh viện TP Thủ Đức (TP HCM), bệnh nhân N.T.T.T. 35 tuổi, (Đồng Tháp) đã bình phục hoàn toàn sau 6 tháng theo dõi kể từ ca phẫu thuật lồi ống tai ngoài phức tạp.
Trước khi nhập viện khoảng 1 tháng, tai chị T. xuất hiện tình trạng ù, nghe kém và có dịch đục chảy ra ngoài. Qua thăm khám tại một cơ sở y tế tư nhân, bác sĩ phát hiện ống tai ngoài bên trái của bệnh nhân bị chít hẹp trên 99% bởi một khối bất thường.
Sau đó, bệnh nhân T. tiếp tục đến Bệnh viện TP Thủ Đức thăm khám và được chẩn đoán xác định bị lồi xương ống tai ngoài. Tình trạng này không chỉ ảnh hưởng đến thính lực mà còn gây nguy cơ viêm nhiễm tái diễn do ứ đọng dịch, ráy tai. Đây là bệnh lý hiếm gặp, đặc biệt là trên bệnh nhân nữ không có tiền sử tiếp xúc thường xuyên với nước lạnh.
![]() |
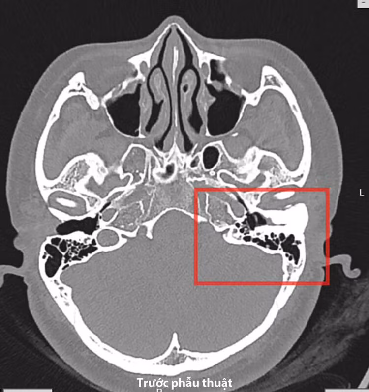
| Hình ảnh khối đậm độ như xương làm chít hẹp gần như toàn bộ ống tai trái của bệnh nhân. Ảnh BVCC |
BSCKII Lâm Thế Phương, Phó trưởng khoa Tai Mũi Họng cho biết, với kích thước khối lồi xương quá lớn, ê-kíp phẫu thuật phải lựa chọn phương pháp mổ qua đường sau tai, thay vì can thiệp nội soi thông thường. Thách thức lớn nhất trong ca mổ này là việc bảo tồn tối đa da ống tai, để tránh biến chứng sẹo hẹp sau đó.
Đến nay, bệnh nhân đã phẫu thuật được gần 6 tháng, vẫn được theo dõi chặt tại bệnh viện với nhiều đợt kiểm tra định kỳ.
Mặc dù quá trình liền da kéo dài hơn dự kiến, nhưng với việc sử dụng các biện pháp chăm sóc tại chỗ phù hợp, da ống tai bệnh nhân đã hồi phục hoàn toàn. Đặc biệt, màng nhĩ bệnh nhân được bảo tồn nguyên vẹn, chức năng nghe trở lại bình thường.
![]() |
| Sau 6 tháng phẫu thuật, bệnh nhân nghe tốt và không còn chít hẹp ống tai. Ảnh BVCC |
Theo bác sĩ Phương, lồi xương ống tai ngoài thường gặp ở nam giới độ tuổi 30-40, đặc biệt là những người thường xuyên tiếp xúc với nước lạnh như vận động viên bơi lội hay lướt sóng. Tỷ lệ mắc bệnh trong cộng đồng chỉ khoảng 0,63%, nhưng có thể lên đến 73% ở nhóm người có nguy cơ cao nêu trên.
"Người dân cần chú ý bảo vệ tai khi tiếp xúc với nước lạnh, đặc biệt là khi bơi lội hoặc các hoạt động dưới nước. Việc sử dụng nút tai cao su và mũ bơi là biện pháp dự phòng hiệu quả.
Khi có các triệu chứng bất thường ở tai như ngứa, ù tai, nghe kém kéo dài, cần đến cơ sở y tế để được thăm khám kịp thời", bác sĩ Lâm Thế Phương nhấn mạnh.

