Khi có dấu hiệu tiền đình, cho tay day ngay mấy huyệt đơn giản sẽ giải quyết nhanh chóng các cơn hoa mắt, chóng mặt... do bệnh ập đến. Chỉ 4 phút sau cơ thể sẽ tỉnh táo trở lại.
Huyết áp thấp không chỉ gây hoa mắt, chóng mặt, người mệt mỏi mà còn gây hôn mê, đột quỵ. Đối với những người cao tuổi cần cảnh giác với hội chứng này. Có thể bấm huyệt để thúc đẩy tuần hoàn máu giúp phòng ngừa, chữa trị bệnh.
Trong thời đại công nghệ số phát triển chóng mặt, nguy cơ bị lừa đảo trực tuyến ngày càng gia tăng, đòi hỏi người dùng Internet phải có những biện pháp tự bảo vệ hiệu quả.
Hội chứng tiền đình có thể ảnh hưởng nghiêm trọng đến cuộc sống hàng ngày nhưng tuyệt đối không tự ý sử dụng bất kỳ loại thuốc nào khi chưa có chỉ định của bác sĩ.
Tập phục hồi chức năng tiền đình dựa trên các bài tập có lợi ích với người bệnh bị chóng mặt mạn tính như cải thiện triệu chứng chóng mặt, giảm nguy cơ ngã, cải thiện thăng bằng và cảm xúc...
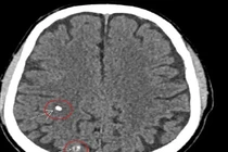
Các dấu hiệu của bệnh u màng não trở nên rõ ràng hơn khi kích thước khối u lớn dần và ảnh hưởng tới chức năng của não bộ cũng như hoạt động của nhiều cơ quan khác...
Đang ngồi chơi tại nhà, chị N.T.M. và con trai 5 tuổi (trú tại Thanh Sơn, Phú Thọ) bất ngờ bị bầy ong tấn công dẫn đến chóng mặt, khó thở, rét run toàn thân phải đi cấp cứu.
Rối loạn tiền đình có biểu hiện nổi bật là chóng mặt. Các bài tập thở hay bài tập toàn thân giúp người bệnh giảm triệu chứng và giảm thời gian tái phát.
Mới đây, Trung tâm y tế huyện Thanh Sơn (Phú Thọ) đã tiếp nhận người bệnh Đ.V.C. (66 tuổi, trú tại xã Thượng Cửu, huyện Thanh Sơn) trong tình trạng cổ to bất thường, kèm theo chóng mặt, đau đầu.
Khoảng 60% cơ thể của một người trưởng thành được tạo ra từ nước, điều này có thể giải thích tại sao nước rất quan trọng đối với hoạt động bình thường của mọi cơ quan.
Thiếu máu não là bệnh phổ biến gây hoa mắt, đau đầu, chóng mặt... nên chúng ta thường thờ ơ, chủ quan mà không biết biến chứng nặng, nguy hiểm cho tính mạng và sức khỏe. Vì vậy, cần chú ý.
Cơn thiếu máu não thoáng qua có triệu chứng kéo dài từ vài phút đến vài giờ. Tuy nhiên, cơn thiếu máu não thoáng qua được xem là một trong những cảnh báo đột quỵ sắp xảy ra.
Đau đầu, hoa mắt, chóng mắt, buồn nôn,... là triệu chứng của 1 bệnh rối loạn tiền đình mà rất nhiều người gặp phải. Vậy đâu là căn nguyên và chữa trị thế nào để tránh tái phát?