Ngay sau khi vào viện, bệnh nhân được các bác sĩ tư vấn thực hiện các xét nghiệm cận lâm sàng siêu âm tuyến giáp màu 4D và chụp CT - scanner sọ não.
Kết quả chụp CT của bệnh nhân cho thấy, tuyến giáp 2 bên to, không đo được kích thước hai bên, nhu mô có nhiều nhân hỗn hợp (Dịch keo, xơ hoá, vôi hoá, thô, máu) tạo thành các khối ( khối to 27mm, khối nhỏ 14-24mm), các khối xâm lấn ra vỏ và đè ép các bộ phận xung quanh, nhưng không thâm nhiễm phá vỡ vỏ.
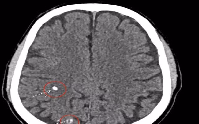
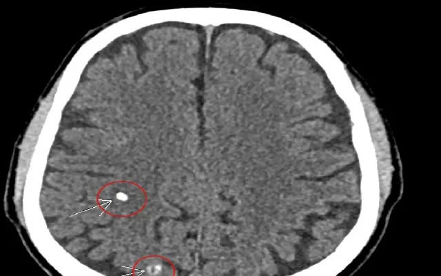
Nhu mô não có hình ảnh rải rác các di chứng ấu trùng sán não, và kèm theo tổn thương viêm đa xoang, xơ vữa vôi hoá động mạch cảnh hai bên đoạn xoang hang.
![]() |
| Đi khám bệnh tuyến giáp, người đàn ông 66 tuổi bất ngờ phát hiện sán não |
Chuyên gia TS.BS Phạm Tiến Chung, Giám đốc Trung tâm Ung bướu, Bệnh viện đa khoa tỉnh Phú Thọ, nhận định đây là trường hợp tuyến giáp to bất thường hiếm gặp, kèm theo di chứng sán não nên đã giải thích và tư vấn cho người bệnh lên tuyến trên điều trị kịp thời tránh những biến chứng xấu ảnh hưởng thêm tới sức khỏe.
Bác sĩ khuyến cáo, hormone tuyến giáp ảnh hưởng tới hầu hết các bộ phận trong cơ thể. Khi tuyến giáp xảy ra bất thường, cụ thể là tình trạng tăng hoặc giảm tiết hormone tuyến giáp quá mức có thể ảnh hưởng đến nhiều hoạt động và chức năng trong cơ thể.
Nguyên nhân nhiễm ấu trùng sán dây lợn là ăn uống không đảm bảo vệ sinh, ăn thực phẩm sống, chưa nấu chín như tiết canh, nem chạo, nem thính. Các loại rau sống nhiễm sán từ chất thải của lợn hoặc nguồn nước bẩn cũng là nguồn lây bệnh.
Để phòng tránh nhiễm ký sinh trùng, mọi người cần ăn chín uống sôi, vệ sinh tay trước khi ăn. Người lớn, trẻ nhỏ cần tẩy giun định kỳ 6 tháng đến một năm một lần, không ăn tiết canh, thịt lợn tái, gỏi cá, rau củ quả sống phải rửa dưới vòi nước và ngâm nước sát khuẩn trước khi ăn. Khi thấy những dấu hiệu bất thường, bạn không nên tự đoán bệnh hoặc tự điều trị, thay vào đó hãy thăm khám tại các cơ sở y tế uy tín để được chẩn đoán và điều trị đúng theo phác đồ.
