Sức khoẻ 360

Tổn thương phổi gây tử vong hàng đầu ở người truyền máu, cách gì phòng tránh?

Với mỗi ca truyền máu, cần có sự giám sát, theo dõi sát sao để xử lý kịp thời các tai biến dù nhẹ nhất cho người bệnh.

Truyền máu vừa có thể cứu sống người bệnh nhưng cũng mang theo rủi ro ở từng lần truyền máu. Theo báo cáo giám sát tai biến truyền máu quốc gia (SHOT) của Vương quốc Anh, năm 2024 ở Anh, với khoảng 2 triệu lượt truyền, đã ghi nhận 59 ca tử vong liên quan tới truyền máu và hơn một nửa trong số đó liên quan tới các tổn thương ở phổi.

Tai biến truyền máu nặng có thể xuất hiện ở bất cứ chuyên khoa nào

Bệnh nhân C.Đ.C., nam 52 tuổi (Phú Thọ), được chuyển xuống Bệnh viện Bạch Mai ngày 20/10/2025 vì chảy máu mũi nhiều, điều trị tuyến trước không dứt.

Vào viện, người bệnh được làm xét nghiệm máu và tủy, được chẩn đoán Bệnh bạch cầu cấp dòng tủy (AML-M6) kèm nhiễm trùng tiết niệu, rối loạn đông máu. X-quang ngực chụp buổi sáng cho thấy hai trường phổi sạch, tràn dịch màng phổi nhẹ, nghĩa là phổi lúc đó hoàn toàn “trong”.

Bệnh nhân được điều trị bằng kháng sinh phổ rộng, kiểm soát chảy máu mũi, truyền huyết tương tươi đông lạnh để điều chỉnh rối loạn đông máu, kèm truyền hồng cầu và tiểu cầu theo chỉ định của bác sĩ.

ton-thuong-phoi.jpg
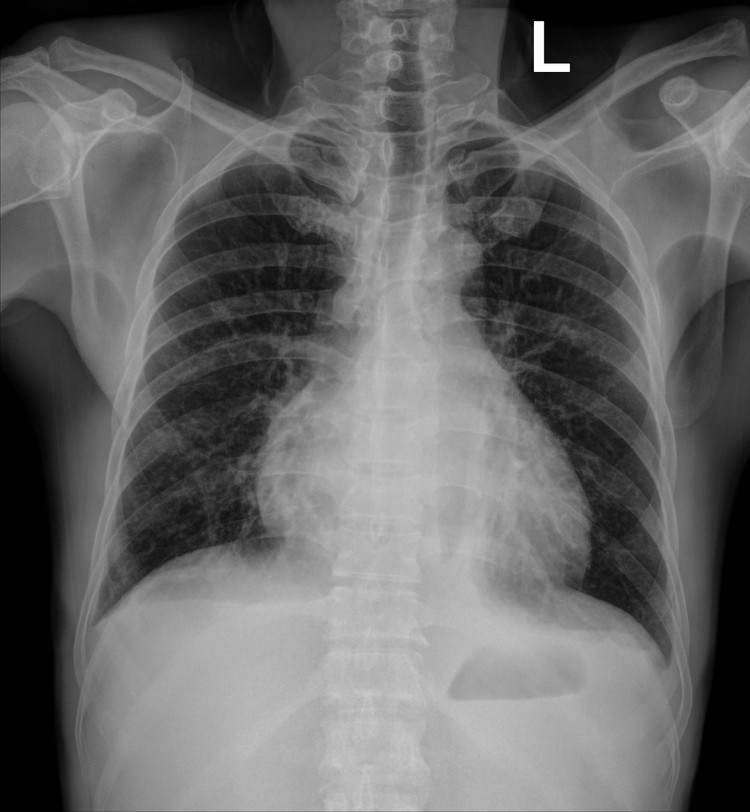
Phim chụp Xquang phổi của bệnh nhân C.Đ.C (21/10) - Ảnh BVCC

Đến ngày 24/10, trong một lần truyền huyết tương tiếp theo để xử lý tình trạng đông máu, người bệnh xuất hiện khó thở tăng dần chỉ sau khoảng 15-20 phút truyền, SpO₂ từ 97% còn khoảng 88-90%, huyết áp tăng, tĩnh mạch cổ nổi, nghe phổi có ran ẩm hai bên.

Chụp CT scan phổi thấy hình ảnh phù phổi cấp, các xét nghiệm khác phù hợp với chẩn đoán Quá tải tuần hoàn liên quan tới truyền máu (TACO). Kíp trực đã dừng truyền, cho thở oxy, đặt tư thế ngồi và dùng thuốc lợi tiểu, nên người bệnh cải thiện triệu chứng.

Tổn thương phổi, không hề hiếm trong thực hành truyền máu

Trong nghiên cứu hồi cứu tại Bệnh viện Đại học California (2012–8/2022), có 56.208 người bệnh được truyền hơn 573.000 đơn vị chế phẩm. Trong số này, 2.022 người bệnh đã được ghi nhận có phản ứng liên quan truyền máu.

Đáng chú ý nhất là 102 người bệnh được chẩn đoán quá tải tuần hoàn liên quan truyền máu (TACO) – tức là cứ khoảng 500 người được truyền thì sẽ có 1 người gặp biến cố này. Nếu chỉ tính trong số các phản ứng đã được báo cáo và phân tích (3.178 ca) thì TACO chiếm 3,3%, khó thở liên quan truyền máu (TAD) chiếm 1,1% và TRALI vẫn xuất hiện.

Điều đáng lưu ý, đây mới chỉ là số ca được phát hiện và báo cáo đầy đủ. Trong thực hành lâm sàng, rất nhiều trường hợp khó thở sau truyền bị gắn cho chẩn đoán viêm phổi hoặc quá tải dịch do bệnh chính nên không được tính vào tai biến truyền máu.

Theo ước tính của CDC Hoa kỳ, tần suất gặp TACO có thể dao động từ 1%-11% số lần truyền máu, tỷ lệ thay đổi tùy quần thể bệnh nhân nghiên cứu.

Vì vậy, nếu bệnh viện theo dõi chặt và báo cáo đầy đủ như mô hình trên, chúng ta sẽ thấy rõ: tổn thương phổi sau truyền máu không phải chuyện hiếm, mà là một biến cố hoàn toàn có thể gặp trong bất kỳ khoa nào có chỉ định truyền máu.

phoi.jpg
Phim chụp Xquang phổi của bệnh nhân C.Đ.C (24/10) - Ảnh BVCC

Vì sao tai biến truyền máu dễ bị bỏ sót?

Bởi vì các biểu hiện như khó thở, thở nhanh, SpO₂ giảm, phổi mờ hai bên sau truyền rất dễ bị gắn nhãn “viêm phổi”, “quá tải dịch”, “suy tim”, nhất là ở bệnh nhân nặng. Nếu không nghĩ đến tai biến truyền máu thì sẽ không báo cáo và khi không báo cáo thì bệnh viện sẽ không “nhìn thấy” bức tranh thật.

Theo PGS.TS Nguyễn Tuấn Tùng, Phó Giám đốc Bệnh viện Bạch Mai: “Các tổn thương tại phổi hiện là nguyên nhân hàng đầu gây tử vong ở người bệnh được truyền máu, thậm chí có thể xảy ra ngay ở đơn vị đầu tiên. Chính vì thế, với mỗi ca truyền máu, cần có sự giám sát, theo dõi sát sao để xử lý kịp thời các tai biến dù nhẹ nhất cho người bệnh”.

Báo cáo Hiệp hội truyền máu quốc tế cũng ghi nhận rõ: Các tai biến hô hấp sau truyền máu như TACO, TRALI (tổn thương phổi cấp liên quan truyền máu), khó thở sau truyền (TAD), phù phổi sau truyền khối lượng lớn… vẫn là nhóm được báo cáo nhiều nhất, liên quan tới tử vong nhiều nhất và cần được quan tâm, theo dõi.

“Tiếc rằng, các triệu chứng của tổn thương phổi như khó thở mới hoặc nặng lên, cảm giác khó chịu, nghe phổi có ran ẩm, hoặc phim phổi xuất hiện tổn thương mới… lại thường trùng lấp với các bệnh cảnh của bệnh nhân như nhiễm trùng huyết, suy hô hấp, suy đa tạng… nên dễ bị bỏ qua trong chẩn đoán”, PGS.TS Nguyễn Tuấn Tùng cho biết.

Giải pháp nào để phòng tránh?

Đánh giá tình trạng người bệnh (tuổi, tình trạng tim, thận, lượng dịch vào - ra) là công việc bắt buộc trước mỗi lần truyền máu. Thực hiện truyền chậm hoặc chia nhỏ đơn vị cho nhóm bệnh nhân có nguy cơ (suy tim, suy thận), theo dõi sát 15-30 phút đầu và hỏi lại người bệnh sau truyền xem “có thấy khó chịu/khó thở không” - chỉ từng đó thôi cũng có thể giúp phát hiện sớm rất và tránh bỏ sót nhiều trường hợp có tai biến.

Cũng cần lưu ý rằng tai biến này không chừa người bệnh nhẹ. Báo cáo SHOT 2024 và nhiều nghiên cứu gần đây đều mô tả những ca suy hô hấp sau truyền trên người bệnh trẻ, nền tảng tim - phổi tốt, nhưng phải truyền nhanh hoặc truyền chế phẩm có thể tích lớn. Vì thế, tư duy “chỉ người già, suy tim mới bị” không còn đúng.

Quan trọng hơn cả là báo cáo mọi trường hợp nghi ngờ để Ngân hàng máu bệnh viện tổng hợp, phân tích và đưa ra khuyến cáo toàn viện.

back to top