Sức khoẻ 360

Lao phổi, uống rượu, người bệnh 61 tuổi sốc nhiễm khuẩn, áp-xe phổi nguy kịch

Sau 2 ngày điều trị, dù được hồi sức tích cực nhưng tình trạng giảm oxy máu, shock cải thiện chậm, có lúc tưởng chừng người bệnh không qua khỏi.

Người bệnh nam 61 tuổi, trú tại xã Yên Sơn, tỉnh Phú Thọ đã may mắn thoát khỏi tình trạng nguy kịch do sốc nhiễm khuẩn, áp-xe phổi sau khi được các bác sĩ tại khoa Hồi sức tích cực – Chống độc yêu cầu, Bệnh viện Đa khoa tỉnh Phú Thọ tích cực điều trị, giành giật lại sự sống từ tay “tử thần”.

ap-xe-phoi.jpg
Hình ảnh người bệnh được điều trị tích cực tại khoa Hồi sức tích cực – Chống độc yêu cầu - Ảnh BVCC

Người bệnh có tiền sử lao phổi, lạm dụng rượu, xuất hiện ho, sốt, khó thở nên được đưa vào Trung tâm Y tế Thanh Thủy điều trị. Do tình trạng diễn tiến nặng, người bệnh được chuyển đến Bệnh viện Đa khoa tỉnh Phú Thọ trong tình trạng kích thích, vật vã, khó thở nhiều, sốc nặng, huyết áp phụ thuộc thuốc vận mạch liều cao…

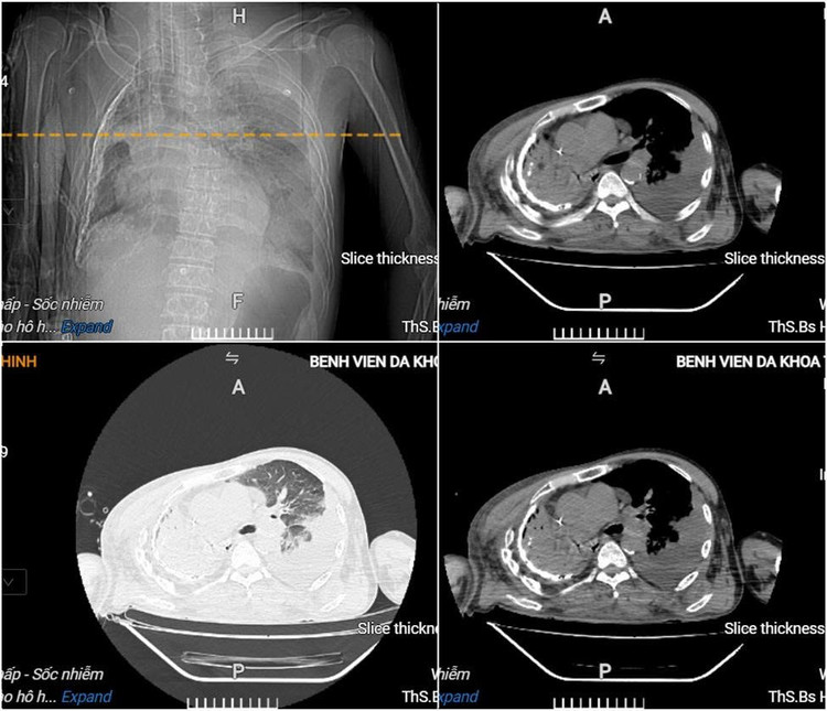
Kết quả xét nghiệm ghi nhận toan chuyển hóa, suy đa tạng, nhiễm trùng – nhiễm độc nặng, rối loạn đông máu. Hình ảnh chụp CT ngực cho thấy có áp-xe phổi trái lớn, tràn dịch màng phổi phải.

ap-xe-phoi-3.jpg
Hình ảnh cắt lớp vi tính lồng ngực của người bệnh cho thấy có áp-xe phổi trái lớn, tràn dịch màng phổi phải - Ảnh BVCC

Phối hợp kịp thời – chính xác đa chuyên khoa giành lại sự sống cho người bệnh

Ngay khi tiếp nhận, các bác sĩ tại khoa Hồi sức tích cực – Chống độc yêu cầu đã xử trí khẩn cấp can thiệp cấp cứu – hồi sức chuyên sâu: đặt ống nội khí quản, thở máy chuyên sâu; lọc máu liên tục, lọc máu hấp phụ; thăm dò huyết động theo phương pháp PiCCO; mời hội chẩn chuyên khoa Phẫu thuật tim mạch lồng ngực không có chỉ định can thiệp ngoại khoa, mời khoa Thăm dò chức năng tiến hành soi phế quản tại giường; dẫn lưu màng phổi tại giường dưới hướng dẫn siêu âm; sử dụng kháng sinh phổ rộng, điều chỉnh dịch, vận mạch theo hướng dẫn PiCCO, dinh dưỡng tĩnh mạch kết hợp dinh dưỡng đường tiêu hóa…

ap-xe-phoi1.jpg
Hình ảnh Nội soi tại giường bệnh – sự phối hợp kịp thời – chính xác của các chuyên khoa - Ảnh BVCC

Tuy nhiên sau 2 ngày điều trị, dù được hồi sức tích cực nhưng tình trạng giảm oxy máu, shock cải thiện chậm, có lúc tưởng chừng người bệnh không qua khỏi, gia đình đã có ý định xin chuyển lên bệnh viện tuyến trung ương điều trị.

Được sự tư vấn, thuyết phục của các bác sĩ, gia đình đã đặt trọn niềm tin vào Bệnh viện Đa khoa tỉnh Phú Thọ và quyết định để người bệnh tiếp tục điều trị tại đây.

Hạnh phúc khi niềm tin được đặt đúng chỗ

Sau 7 ngày nỗ lực điều trị tích cực để giành lại sự sống cho người bệnh, với đầy đủ các kỹ thuật hồi sức chuyên sâu và máy móc hiện đại, cùng 4 lần lọc máu, 3 lần nội soi phế quản tại giường, tình trạng người bệnh đã chuyển biến tích cực: huyết áp ổn định, hết sốt, tình trạng nhiễm trùng giảm; chức năng hô hấp phục hồi tốt; ổ áp-xe phổi thu nhỏ dần và được rút ống nội khí quản.

Sau 15 ngày điều trị, sức khỏe người bệnh đã hoàn toàn ổn định và được xuất viện. Vui mừng khi thấy sức khỏe của người bệnh hồi phục từng ngày, gia đình vô cùng hạnh phúc, khẳng định lựa chọn ở lại điều trị tại Bệnh viện Đa khoa tỉnh Phú Thọ là quyết định sáng suốt nhất của gia đình.

Thành công này một lần nữa khẳng định năng lực trình độ của đội ngũ cán bộ y tế tại bệnh viện, sự phối hợp kịp thời – chính xác của các chuyên khoa sâu và tinh thần tận tâm chuyên nghiệp của tập thể bác sĩ, điều dưỡng Khoa Hồi sức tích cực – Chống độc yêu cầu, cũng như sự tin tưởng của gia đình người bệnh vào đội ngũ cán bộ y tế tại bệnh viện.

ap-xe-phoi-2.jpg
TTƯT.TS.BS Nguyễn Thị Thanh Mai - Trưởng khoa Hồi sức tích cực – Chống độc yêu cầu thăm khám cho người bệnh sau khi thoát khỏi nguy kịch - Ảnh BVCC

Bệnh viện đã triển khai thường quy nhiều kỹ thuật cao, chuyên sâu như: Tim phổi nhân tạo (ECMO), hạ thân nhiệt chỉ huy, lọc máu liên tục, lọc máu hấp phụ, thăm dò huyết động PiCCO, kỹ thuật đào thải CO2 qua màng ngoài cơ thể… cứu sống được nhiều người bệnh nặng nguy kịch.

TS.BS Nguyễn Thị Thanh Mai (Trưởng khoa Hồi sức tích cực – Chống độc, Bệnh viện Đa khoa Phú Thọ)

back to top