Lần đầu tiên robot phẫu thuật được ứng dụng trong tạo hình cơ hoành
Ngày 20/12, Bệnh viện Bình Dân cho hay, người bệnh L.Q.G (66 tuổi, Tây Ninh) vừa được các bác sĩ khoa Lồng Ngực - Bướu cổ Bệnh viện Bình Dân thực hiện phẫu thuật robot tạo hình cơ hoành trái bị nhão khiến ông khó thở kéo dài không rõ nguyên nhân.
Nhờ không phải mở lồng ngực để phẫu thuật như trước đây, ông G. đã hồi phục nhanh chóng và xuất viện sớm. Đây là lần đầu tiên robot phẫu thuật được ứng dụng trong tạo hình cơ hoành cho người bệnh nhão hoành, giúp người bệnh ít tổn thương, ít đau, ít mất máu và xuất viện sớm.
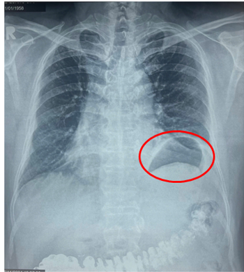
![]() |
| Hình ảnh vòm hoành trái cao bất thường do nhão cơ hoành trái làm giảm thể tích lồng ngực trái gây khó thở gắng sức cho bệnh nhân - Ảnh: BVCC |
Ông G. cho biết, cách nhập viện khoảng 3 tháng ông thường hay khó thở, thở hụt hơi khi gắng sức, khi vận động hay đi lên cầu thang. Tình trạng này khiến ông không thể vận động thể lực mạnh hay đi bộ tập thể dục với cường độ như trước.
Trong đợt khám sức khỏe định kỳ, bác sĩ khi xem phim X-quang ngực thẳng của ông thì phát hiện vùng phổi bên trái có bất thường và khuyên ông đến Bệnh viện Bình Dân để khám chuyên khoa lồng ngực.
Tại Bệnh viện Bình Dân, sau khi thăm khám lâm sàng và xem kết quả chụp X-quang ngực và MSCT-scan ngực, các bác sĩ chẩn đoán ông bị nhão hoành trái với hình ảnh vòm hoành trái nhô cao bất thường. Tình trạng này làm giảm thể tích lồng ngực trái, đây chính là nguyên nhân khiến ông bị khó thở khi gắng sức nhiều tháng nay mà ông không rõ nguyên nhân.
Bệnh nhão cơ hoành khiến người bệnh có nguy cơ suy hô hấp và phương pháp điều trị duy nhất là phẫu thuật. Mục tiêu của điều trị là tái tạo cơ hoành, ngăn chặn tình trạng cơ hoành bị đẩy lên cao chèn ép phổi và tim, giúp phục hồi chức năng hô hấp.
Nếu không phẫu thuật kịp thời, người bệnh dễ rơi vào tình trạng khó thở, viêm phổi và các biến chứng nguy hiểm khác.
Hiện nay, có ba phương pháp phẫu thuật điều trị nhão cơ hoành bao gồm mở kinh điển, phẫu thuật nội soi và phẫu thuật robot. Người bệnh G. quyết định chọn phẫu thuật robot, đây là phương pháp phẫu thuật hiện đại nhất cho phép khâu gấp nếp tạo hình lại cơ hoành thuận lợi nhất, ít xâm lấn và người bệnh nhanh hồi phục sau mổ.
Ca phẫu thuật diễn ra trong khoảng 90 phút và đã thành công tốt đẹp, giúp phục hồi chức năng của cơ hoành cho ông G. Nhờ kỹ thuật phẫu thuật robot hiện đại, các bác sĩ thực hiện thao tác một cách chính xác và tỉ mỉ, hạn chế tối đa tổn thương cho bệnh nhân. Lượng máu mất trong quá trình phẫu thuật không đáng kể.
![]() |
| Phẫu thuật robot tại Bệnh viện Bình Dân- Ảnh: BVCC |
Nhão cơ hoành là gì?
BS.CKII. Nguyễn Văn Việt Thành, Trưởng khoa Lồng ngực - Bướu cổ Bệnh viện Bình Dân, Phó chủ nhiệm Bộ môn Ngoại Đại học Y khoa Phạm Ngọc Thạch, bác sĩ phẫu thuật chính cho bệnh nhân G. cho biết: “Do không phải mở lồng ngực, không tổn thương các cơ thành ngực và dây thần kinh liên sườn nên người bệnh được phẫu thuật robot ít đau hơn, lành vết thương hậu phẫu và chức năng hô hấp được cải thiện tốt hơn.
Phẫu thuật robot cũng khắc phục được nhược điểm của phẫu thuật nội soi là cánh tay thao tác linh hoạt, góc thao tác rộng, cho phép khâu nếp cơ hoành tạo hình thuận lợi, chính xác hơn so với dụng cụ nội soi thông thường. Một ưu điểm khác của phẫu thuật robot là không cần phải mở thêm đường mở ngực nhỏ. Thời gian phẫu thuật robot trong điều trị nhão cơ hoành khoảng 1/3 so với phẫu thuật mở kinh điển hay phẫu thuật nội soi.
Cụ thể, ca phẫu thuật cho người bệnh G., chỉ diễn ra trong khoảng 90 phút. Trước đây, một ca phẫu thuật tương tự khi thực hiện qua nội soi có thể lên đến 180 phút. Phẫu thuật robot vì vậy hiện là lựa chọn hoàn hảo nhất trong tạo hình phục hồi cơ hoành".
Sau ca phẫu thuật robot, ông G. đã nhanh chóng hồi phục, ăn uống ngon miệng, vận động linh hoạt và xuất viện sớm.
![]() |
| Bác sĩ Nguyễn Văn Việt Thành đang điều khiển robot phẫu thuật cho người bệnh- Ảnh: BVCC |
Bác sĩ Nguyễn Văn Việt Thành cho biết thêm: “Nhão cơ hoành là một bệnh lý không phổ biến, thường khó phát hiện sớm do các triệu chứng ban đầu không rõ ràng. Bệnh này đa phần được phát hiện qua thăm khám tình cờ hoặc được phát hiện khi bệnh nhân đến khám về một triệu chứng khác như khó thở, nặng ngực hoặc hoạt động gắng sức bị hạn chế. Tương tự như người bệnh G., ở giai đoạn đầu người bệnh có thể chỉ cảm thấy hơi khó thở khi gắng sức. Tuy nhiên, nếu không được điều trị, bệnh có thể tiến triển nặng hơn, gây khó thở, viêm phổi và có thể tử vong”.
Nguyên nhân gây nhão hoành rất đa dạng, có thể do tuổi tác, chấn thương, phẫu thuật trước đó hoặc các bệnh như béo phì, hoạt động làm tăng áp lực ổ bụng, có khối u ăn lan đến dây thần kinh hoành gây liệt cơ hoành. Đáng chú ý, khoảng một nửa số trường hợp không tìm thấy nguyên nhân cụ thể.
Để chẩn đoán bệnh nhão cơ hoành, liệt cơ hoành, các bác sĩ thường chỉ định người bệnh thực hiện chụp phim X-quang ngực và MSCT-scan ngực. Qua hình ảnh, các chuyên gia có thể thấy cơ hoành bị nâng lên cao hơn so với bình thường. Tuy nhiên, cần phân biệt nhão, liệt hoành với một bệnh lý khác là thoát vị hoành.
Thoát vị hoành xảy ra khi có một lỗ khuyết trên cơ hoành, khiến các cơ quan trong bụng như dạ dày, đại tràng có thể chui qua lỗ khuyết lên lồng ngực. Nguyên nhân thường do chấn thương hoặc bẩm sinh. Trong khi đó, nhão cơ hoành, liệt cơ hoành thì cơ quan này không có lỗ khuyết mà chỉ bị giảm đi trương lực của cơ hoành. Điều này khiến khoang bụng đẩy lên trên vùng ngực, khoang lồng ngực bị thu hẹp và tim-phổi bị chèn ép.
Cơ hoành là cơ ngăn cách khoang bụng và ngực, được điều khiển bởi dây thần kinh hoành. Đây là cơ hô hấp chính, đảm nhiệm 70-80% chức năng hô hấp trong cơ thể người. Khi cơ hoành bị nhão, liệt, chức năng hô hấp sẽ bị giới hạn đáng kể, thể tích không khí hít vào giảm sút. Điều này khiến người bệnh khó thở sâu, nhất là khi hoạt động thể chất mạnh.
Để phòng ngừa và điều trị hiệu quả nhão cơ hoành, bác sĩ khuyến cáo:
Khám sức khỏe định kỳ: Nếu có các triệu chứng bất thường như khó thở, đau ngực, ho kéo dài, hãy đến các cơ sở y tế để gặp bác sĩ.
Điều trị sớm: Phát hiện và điều trị nhão cơ hoành càng sớm càng tốt giúp ngăn ngừa các biến chứng nguy hiểm.
Chăm sóc sau phẫu thuật: Sau phẫu thuật, người bệnh cần tuân thủ hướng dẫn của bác sĩ để đảm bảo vết thương hồi phục tốt và ngăn ngừa bệnh tái phát.
“Để giúp cơ hoành phục hồi tốt sau phẫu thuật, trong vòng 3 tháng đầu, người bệnh cần hạn chế các hoạt động mạnh như nâng vật nặng, tránh táo bón và viêm hô hấp. Nếu ho, rặn gây tăng áp lực ổ bụng, có thể ảnh hưởng đến vết mổ và làm chậm quá trình lành thương của cơ hoành”, Bác sĩ Nguyễn Văn Việt Thành lưu ý thêm cho người bệnh sau phẫu thuật.


