Giới tính - Gia đình

Nỗ lực cứu trẻ 10 tuổi đuối nước ngay tại hồ bơi

Phụ huynh không được chủ quan khi cho trẻ đi bơi, kể cả tại hồ bơi có nhân viên cứu hộ. Trẻ luôn cần có người lớn quan sát liên tục.

Bệnh viện Nhi đồng Thành phố đã tiếp nhận bé trai T.A.K. (10 tuổi, ngụ phường Hòa Thuận, tỉnh Vĩnh Long) trong tình trạng ngạt nước nguy kịch tính mạng.

Khai thác bệnh sử, trước khi tai nạn xảy ra, bé K. đi bơi cùng cha ở hồ bơi gần nhà. Do sơ ý, người cha không thường xuyên quan sát con. Sau khoảng 4 phút lơ đễnh, anh bàng hoàng phát hiện bé trong trạng thái nằm ngửa dưới hồ nước.

Ngay lập tức, bé được đưa lên bờ. Nhân viên cứu hộ đã ấn tim ngoài lồng ngực cho bé khoảng 2 phút, sau đó bé nôn ra lượng nước nhiều, mở mắt nhưng gọi không trả lời.

duoi-nuoc.png
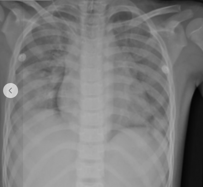
Kết quả X-quang phổi ghi nhận tổn thương lan tỏa cả hai bên phổi - Ảnh BVCC

Bệnh nhi được chuyển khẩn cấp đến Bệnh viện Đa khoa Trà Vinh trong tình trạng hôn mê sâu. Tại đây, trẻ được đặt nội khí quản thở máy. Các bác sĩ ghi nhận bệnh nhi bị trào bọt hồng qua ống nội khí quản.

Sau đó, bé được chuyển sang Bệnh viện Sản nhi Trà Vinh, điều trị tại khoa Hồi sức Tích cực trong 4 ngày với liệu pháp thở máy, chống phù não, dùng kháng sinh, truyền dịch và chăm sóc hỗ trợ. Do tình trạng diễn tiến nặng, bệnh viện hội chẩn và chuyển bệnh nhi đến Bệnh viện Nhi đồng Thành phố tiếp tục điều trị chuyên sâu.

Cha của bé cho biết, không rõ có va đập đầu hay chấn thương tại hồ hay không, không phát hiện vết thương tại lúc tai nạn, không còn khoảng tỉnh nào khác.

ngat-nuoc.png
Trẻ được hồi sức tích cực - Ảnh BVCC

Theo BSCKII Nguyễn Minh Tiến, Phó Giám đốc Bệnh viện Nhi đồng Thành phố, khi tiếp nhận, bệnh nhi trong tình trạng hôn mê, tím tái, SpO₂ chỉ còn 78% (bình thường trên 95%), xuất hiện các cơn co gồng toàn thân.

Kết quả X-quang phổi ghi nhận tổn thương lan tỏa cả hai bên phổi; CT-Scan não – ngực – bụng cho thấy bệnh nhân bị phù não, đông đặc và thâm nhiễm hai phổi nhưng may mắn là không ghi nhận tổn thương các tạng trong ổ bụng.

Xét nghiệm khí máu động mạch cho kết quả toan chuyển hóa và thiếu oxy máu nặng, lactate máu tăng cao. Bệnh nhi được chẩn đoán ngạt nước, phù phổi cấp, thiếu oxy não và viêm phổi hít. Ngay lập tức, các bác sĩ triển khai hồi sức tích cực bằng máy thở, chống co giật, chống phù não, điều chỉnh nước – điện giải và dùng kháng sinh điều trị viêm phổi hít.

May mắn sau gần 3 tuần điều trị, tình trạng của trẻ dần cải thiện. Bệnh nhi đã tỉnh, tiếp xúc được, không còn co gồng, được cai máy thở và tiếp tục theo dõi phục hồi.

tre-ngat-nuoc-nang-2-446x600.png
Trẻ phục hồi sau 3 tuần hồi sức tích cực - Ảnh BVCC

Qua trường hợp này, BS Tiến cảnh báo phụ huynh không được chủ quan khi cho trẻ đi bơi, kể cả tại hồ bơi có nhân viên cứu hộ. Trẻ cần luôn có người lớn theo sát để quan sát liên tục, sẵn sàng phát hiện và ứng cứu ngay khi trẻ có dấu hiệu đuối nước.

Trường hợp này may mắn được cứu hộ viên phát hiện sớm và cấp cứu hồi sức tim phổi kịp thời, cũng như phối hợp liên viện tích cực hồi sức cho trẻ chuyển đến Bệnh viện Nhi đồng Thành phố tiếp tục điều trị cho trẻ thành công.

“Phụ huynh nên cho trẻ học bơi, biết các kỹ năng an toàn dưới nước, tập vận động “làm ấm” trước khi bơi để tránh bị chuột rút.

Đặc biệt, việc trang bị kỹ năng sơ cứu ngưng thở – ngưng tim cho người lớn đi kèm là yếu tố then chốt, giúp giành lại sự sống cho trẻ và hạn chế tối đa nguy cơ tổn thương não”, bác sĩ Tiến khuyến cáo.

back to top