Sức khoẻ 360

Chữa trị thành công bệnh nhân suy hô hấp cấp sau đuối nước tại Cẩm Phả

Sau hai tuần điều trị, bệnh nhân suy hô hấp nặng đã ổn định, thoát khỏi nguy kịch nhờ chiến lược thở máy bảo vệ phổi và chăm sóc toàn diện.

Trước đó, ngày 18/11/2025, Khoa Cấp cứu – Bệnh viện Đa khoa Cẩm Phả tiếp nhận một bệnh nhân nữ 43 tuổi bị đuối nước mặn, nhập viện trong tình trạng lơ mơ, tím tái, suy hô hấp nguy kịch. Chỉ số oxy máu của bệnh nhân ở mức cực kỳ thấp, đe dọa tính mạng từng phút.

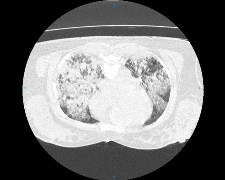
Ngay lập tức, các bác sĩ phải đặt ống nội khí quản và tiến hành hồi sức khẩn cấp. Chụp CT ngực ghi nhận tổn thương lan tỏa hai phổi, phù hợp tình trạng tổn thương phổi cấp sau đuối nước.

Trong 72 giờ đầu, diễn biến hô hấp của bệnh nhân trở nặng. Tại Khoa Hồi sức Tích cực - Chống độc - Thận nhân tạo, bệnh nhân được an thần, thở máy và điều trị kháng sinh. Sang ngày thứ 3, oxy máu tiếp tục giảm, hình ảnh CLVT (Chụp Cắt Lớp Vi Tính - CT scan) phổi cho thấy tổn thương lan rộng, nghi ngờ hội chứng suy hô hấp cấp tiến triển (ARDS).

czczz.jpg
Hình ảnh tổn thương phổi của bệnh nhân/Ảnh Bệnh viện Đa khoa Cẩm Phả.

Kíp điều trị hội chẩn khẩn và thống nhất áp dụng chiến lược thở máy bảo vệ phổi, tối ưu PEEP, kiểm soát dịch, kiểm soát nhiễm khuẩn và chăm sóc ICU toàn diện nhằm cải thiện oxy hóa. Đây là giai đoạn then chốt, đòi hỏi theo dõi liên tục để hạn chế tổn thương phổi tiến triển.

Kỳ tích đã xảy ra, sau khoảng 2 tuần điều trị tích cực, chức năng hô hấp của bệnh nhân cải thiện rõ rệt, phổi nở tốt, chỉ số oxy máu ổn định. Người bệnh được cai máy thở và rút ống nội khí quản thành công vào ngày thứ 15.

Bác sĩ thăm khám cho bệnh nhân/Ảnh Bệnh viện Đa khoa Cẩm Phả.

Bệnh nhân xuất viện trong tình trạng ổn định. Theo bệnh viện, ca bệnh là minh chứng cho năng lực xử trí những trường hợp suy hô hấp nặng, sự phối hợp chặt chẽ giữa các khoa và tinh thần làm việc khẩn trương trong cấp cứu - hồi sức tích cực.

Gia đình bệnh nhân đã gửi lời cảm ơn sâu sắc tới đội ngũ bác sĩ và điều dưỡng của khoa Cấp cứu và khoa Hồi sức Tích cực - Chống độc - Thận nhân tạo, Bệnh viện Đa khoa Cẩm Phả.

back to top