Sức khoẻ 360

Người phụ nữ trẻ mắc ung thư phổi tế bào nuôi hiếm gặp

Một ca bệnh hiếm gặp với u phổi ác tính hướng tới Choriocarcinoma, cho thấy tầm quan trọng của xét nghiệm và kiểm tra định kỳ trong chẩn đoán sớm.

Mới đây, Bệnh viện Đa khoa Medlatec tiếp nhận nữ bệnh nhân N.H.A (36 tuổi) đến khám vì rối loạn kinh nguyệt kéo dài 3 tháng, kèm theo các triệu chứng hô hấp đáng lo ngại như ho khan, nuốt vướng và khạc máu đông. Thời điểm nhập viện, bệnh nhân đã sạch kinh 5 ngày.

Bệnh nhân được PGS.TS.BS Hoàng Thị Phượng trực tiếp thăm khám. Kết quả xét nghiệm cho thấy Beta-hCG tăng cao tới 1540 U/L, một chỉ số thường chỉ gặp ở phụ nữ mang thai, gây nhiều nghi ngờ trong bối cảnh lâm sàng không phù hợp.

Kết quả chụp CT lồng ngực có tiêm cản quang cho thấy hình ảnh u thùy dưới phổi trái/Ảnh Medlatec

Chụp CT lồng ngực có tiêm cản quang phát hiện khối u thùy dưới phổi trái (LUNG-RADS 4B), kèm theo nốt nhỏ thùy giữa phổi phải, cần loại trừ tổn thương thứ phát.

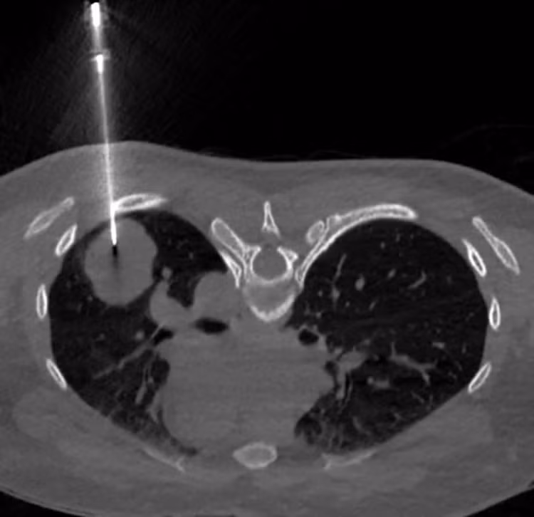
Nhận định đây là ca bệnh phức tạp, không điển hình, PGS. Phượng đã chỉ định sinh thiết phổi dưới hướng dẫn CT để xác định bản chất tổn thương.

BSCKI. Trần Văn Thụ - Trưởng Khoa Chẩn đoán hình ảnh, Bệnh viện Đa khoa Medlatec là người trực tiếp thực hiện sinh thiết cho bệnh nhân.

Mẫu bệnh phẩm được chuyển đến Trung tâm Giải phẫu bệnh Medlatec. Sau khi phân tích hình thái mô bệnh học, các bác sĩ giải phẫu bệnh đã đưa ra chẩn đoán đây là một loại u ác tính, tuy nhiên hình ảnh tế bào rất hiếm gặp và cần phải làm thêm các xét nghiệm chuyên sâu như hóa mô miễn dịch(HMMD) hoặc sinh học phân tử. Kết quả nhuộm HMMD cho thấy các tế bào u dương tính mạnh với các dấu ấn CK, hCG, SALL4.

Dựa vào kết quả trên, chị A. được chẩn đoán mắc u phổi ác tính phù hợp với Choriocarcinoma (ung thư tế bào nuôi nguyên phát tại phổi) - một loại ung thư rất hiếm gặp.

Trên cơ sở chẩn đoán xác định từ giải phẫu bệnh, bệnh nhân được hội chẩn đa chuyên khoa và chuyển tuyến điều trị chuyên sâu tại Bệnh viện Phổi Trung ương. Hiện tại, thể trạng người bệnh ổn định và đang được theo dõi, điều trị đúng phác đồ.

Hình ảnh sinh thiết phổi dưới hướng dẫn CT/Ảnh Medlatec

Đây là một ca bệnh khó, biểu hiện lâm sàng và xét nghiệm không điển hình, đòi hỏi sự phối hợp chặt chẽ giữa các chuyên khoa: Lâm sàng – Xét nghiệm – Chẩn đoán hình ảnh – Giải phẫu bệnh. Trong đó, Giải phẫu bệnh đóng vai trò quyết định, giúp “giải mã” bản chất khối u, định hướng chính xác chẩn đoán và điều trị.

Theo PGS.TS.BS Hoàng Thị Phượng, Choriocarcinoma (ung thư tế bào nuôi) vốn khởi phát từ tế bào lá nuôi của nhau thai tại tử cung. Tuy nhiên, trường hợp của chị A là Choriocarcinoma nguyên phát tại phổi – biến thể đặc biệt hiếm gặp.

Y văn thế giới (PubMed/NIH cập nhật cuối năm 2024) hiện chỉ ghi nhận chưa tới 200 ca lâm sàng được báo cáo chính thức.

Về bệnh học, ung thư phổi tế bào nuôi phát sinh từ các tế bào mầm đa năng bị "lạc chỗ" từ giai đoạn phôi thai, sau đó diễn tiến ác tính ngay tại nhu mô phổi. Đây là loại u có độ ác tính rất cao, xâm lấn mạch máu mạnh và di căn nhanh qua đường máu đến não, gan, xương.

Do khối u trực tiếp giải phóng hormone Beta-hCG vào máu, bệnh nhân thường có triệu chứng giả mang thai hoặc rối loạn nội tiết (rối loạn kinh nguyệt, căng tức ngực). Kết hợp với đặc tính giàu mạch máu gây ho ra máu, đau ngực, PPC rất dễ bị chẩn đoán nhầm với các bệnh lý sản khoa hoặc hô hấp thông thường. Việc chủ động kiểm tra sức khỏe định kỳ chính là chìa khóa giúp phát hiện sớm những mầm bệnh âm thầm ngay cả khi cơ thể chưa phát ra tín hiệu bất thường.

back to top