Bệnh viện Sản Nhi Quảng Ninh vừa phẫu thuật thành công cho bé trai 11 tháng tuổi mắc Cholesteatoma bẩm sinh hòm tai phải, bệnh lý hiếm, dễ gây mất thính lực.
Rối loạn chảy máu là nhóm bệnh lý phức tạp, trong đó có nhiều rối loạn đông máu hiếm gặp. Hiện nay nhiều rối loạn chảy máu được phát hiện muộn dẫn tới những hậu quả nặng nề.
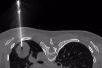
Phổi biệt lập là bệnh lý bẩm sinh hiếm gặp, ít khi được chẩn đoán ở người trưởng thành nhưng nhờ khám sức khỏe tổng quát, người đàn ông đã vô tình phát hiện ra bệnh.
U buồng trứng xoắn thường xuất hiện ở độ tuổi 20–30, rất hiếm gặp ở trẻ em. Triệu chứng của bệnh thường âm thầm, dễ nhầm lẫn với các bệnh lý khác và có thể gây ảnh hưởng lớn đến khả năng sinh sản sau này của trẻ gái.
Phụ huynh nên luôn có người trông giữ trẻ dưới 3 tuổi, vì ở lứa tuổi này, trẻ thường tìm hiểu thế giới xung quanh như bò trèo, sờ mó vật lạ, bóc vật lạ bỏ vào miệng,… dẫn đến các tai nạn đáng tiếc.
Dị dạng và thông nối động – tĩnh mạch ruột lan toả gây giãn các nhánh tĩnh mạch mạc treo ruột là ca bệnh rất hiếm gặp trong y văn thế giới. 4 kíp mổ đã thực hiện trong 12 giờ để cứu bệnh nhân.
Sản phụ 26 tuổi đã vượt qua thử thách sinh tử sinh cặp song sinh ở 2 thời điểm cách nhau hơn cả tháng trời: 1 bé trai ở tuần thứ 26 và bé gái ở tuần thứ 31. Đây là một kỳ tích rất hiếm gặp trong y học.
Tỷ lệ sinh con bọc điều chỉ khoảng 1/80.000 ca sinh nở, và trong những trường hợp sinh đôi, tỷ lệ này lại càng thấp hơn nữa. Đẻ trong bọc điều là may may hay nguy hiểm?
Bệnh viện Sản Nhi Bắc Giang đã cấp cứu thành công cho một bệnh nhân đặc biệt khi mang thai tự nhiên có 01 thai trong tử cung và 01 thai ngoài tử cung. Đây là trường hợp hiếm gặp với tần suất 1/30.000 trường hợp mang thai tự nhiên.