Sức khoẻ 360

Bệnh nhân 25 tuổi mắc u Lymphangioma sau phúc mạc - bệnh lý hiếm gặp

Bệnh nhân 25 tuổi mắc u lành tính hiếm gặp sau phúc mạc đã được các bác sĩ Lào Cai phẫu thuật thành công, đảm bảo an toàn tối đa cho tạng.

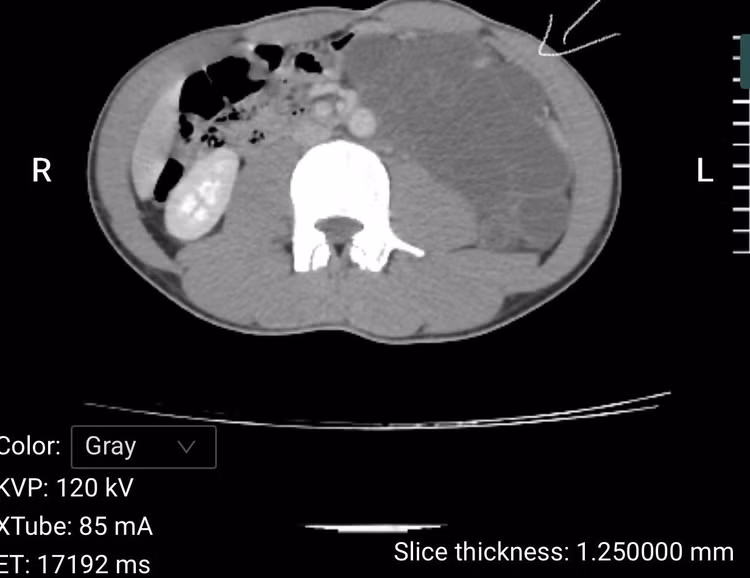
Các bác sĩ khoa Ngoại tổng hợp, Bệnh viện Đa khoa số 3 tỉnh Lào Cai vừa phẫu thuật thành công cho bệnh nhân L.V.Đ., 25 tuổi, quê Nậm Có – Lào Cai, mắc u Lymphangioma sau phúc mạc rất lớn biến chứng chèn ép tạng, một bệnh lý hiếm gặp và phức tạp.

Lymphangioma là một khối u lành tính hiếm gặp, phát triển từ hệ bạch huyết, thường xuất hiện ở trẻ em nhưng cũng có thể gặp ở người lớn. Khối u có thể xuất hiện ở nhiều vị trí, trong đó lymphangioma sau phúc mạc rất hiếm, thường tiềm ẩn nguy cơ chèn ép các tạng quan trọng.

580748623-1296180408978861-3734999319176530851-n-2449.jpg
Ca phẫu thuật diễn ra thành công. Ảnh BV.

Cách thời gian vào viện 1 tháng, bệnh nhân xuất hiện đau bụng vùng mạn sườn trái, đi khám ở bệnh viện tuyến trên tại Hà Nội, các bác sĩ nghi ngờ u sau phúc mạc vùng mạn sườn trái. Sau khi được chẩn đoán, bệnh nhân đã lựa chọn trở về Bệnh viện Đa khoa số 3 tỉnh Lào Cai để điều trị và phẫu thuật, đặt trọn niềm tin vào đội ngũ bác sĩ bệnh viện tuyến tỉnh.

1-4444.jpg
Ảnh BV

Tại Bệnh viện Đa khoa số 3 tỉnh Lào Cai, sau thăm khám và chụp chiếu, làm các xét nghiệm cận lâm sàng, các bác sĩ chẩn đoán bệnh nhân mắc: U sau phúc mạc bên trái.

Ca mổ được hội chẩn kỹ lưỡng, thực hiện an toàn và thành công, khối u được bóc tách trọn vẹn bảo toàn tối đa các tạng. Sau mổ bệnh nhân hồi phục ổn định.

Lymphangioma - U nang bạch huyết (còn gọi là u nang bạch huyết và u nang bạch huyết nan') là một dị dạng bạch huyết đại bào, bao gồm các khoang chứa dịch lớn. U nang xuất hiện dưới dạng một khối sưng tấy màu da, đỏ hoặc xanh, hơi trong suốt, nằm dưới da. U nang bạch huyết thường ảnh hưởng đến cổ, nách hoặc bẹn. Các tổn thương rất lớn có thể ảnh hưởng đến cằm và mặt, đôi khi gây khó khăn cho việc ăn uống hoặc thở. Chúng có thể bị nhiễm trùng, có thể đe dọa tính mạng nếu bị ảnh hưởng đến cổ.

Bệnh do khiếm khuyết di truyền của quá trình tạo mạch bạch huyết và hầu hết liên quan đến đột biến gen.

back to top