Với kỹ thuật cao và kịp thời, các bác sĩ Quảng Ninh đã cứu sống thành công bệnh nhân chấn thương cột sống cổ phức tạp, hạn chế tối đa di chứng thần kinh.
Khoa Chấn thương Chính hình của Bệnh viện Đa khoa Hà Đông (Hà Nội) vừa phẫu thuật nối thành công cẳng chân gần như đứt lìa cho nam sinh 15 tuổi bị tai nạn.
U xơ vòm mũi họng thường xuất hiện ở nam giới trong độ tuổi 10-20. Những dấu hiệu cảnh báo quan trọng gồm: Chảy máu cam nhiều lần, nghẹt mũi, ù tai, nhức đầu.
Các bác sĩ đã thực hiện phẫu thuật nội soi thành công cho bệnh nhi mắc dị tật tịt cửa mũi sau, đem lại cuộc sống bình thường cho trẻ sau 13 năm chịu đựng.
Bệnh nhi L.T.P.Đ, 12 tuổi, trú tại Thanh Sơn, Phú Thọ, có lồng ngực lồi rõ, nhô cao như “ức gà” vừa được Bệnh viện Đa khoa tỉnh Phú Thọ phẫu thuật thành công.
Qua hình thức mổ trực tuyến, Bệnh viện Đa khoa Ninh Thuận đã phối hợp với chuyên gia từ tổ chức MESCH (Úc) phẫu thuật lỗ tiểu lệch thấp cho bé trai 6 tuổi.
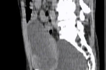
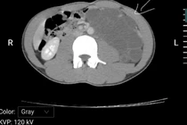
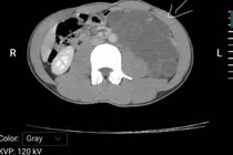
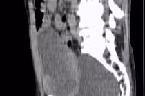
Ngày 25/10, Bệnh viện Đà Nẵng cho biết, các bác sĩ khoa Ngoại lồng ngực vừa phẫu thuật thành công trường hợp u thân cảnh phải cực kỳ hiếm gặp cho nam bệnh nhân 56 tuổi.
Người bệnh bị bướu cổ hơn 30 năm với kích thước khối u tuyến giáp lớn, chèn ép, đẩy khí quản cổ sang một bên gây khó thở đã được các bác sỹ Bệnh viện Nhân dân Gia Định phẫu thuật thành công.