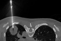
Người phụ nữ trẻ mắc ung thư phổi tế bào nuôi hiếm gặp Sức khoẻ 360 28/12/2025 13:02 Một ca bệnh hiếm gặp với u phổi ác tính hướng tới Choriocarcinoma, cho thấy tầm quan trọng của xét nghiệm và kiểm tra định kỳ trong chẩn đoán sớm.