Sức khoẻ 360

Ngã sau cơn động kinh, người đàn ông 55 tuổi xuất huyết não trán, thái dương

Trong cơn co giật động kinh, người bệnh thường mất ý thức hoàn toàn, mất kiểm soát trương lực cơ và ngã đột ngột.

Khoa Ngoại thần kinh – Bệnh viện 19-8 vừa phẫu thuật thành công 1 trường hợp bệnh nhân nam 55 tuổi bị xuất huyết não trán – thái dương phải do ngã sau cơn động kinh.

Theo đó, bệnh nhân vào viện trong tình trạng lơ mơ, Glasgow 12 điểm, liệt nửa người trái.

Bệnh nhân đã được phẫu thuật cấp cứu lấy máu tụ kịp thời.

Sau mổ 2 ngày, bệnh nhân tỉnh, GCS (Glasgow Coma Scale) 15 điểm (có nghĩa là bệnh nhân hoàn toàn tỉnh táo), cai được thở máy, cơ lực nửa người trái cải thiện, phục hồi tốt.

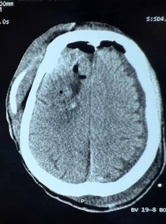
chan-thuong-1.jpg
Hình ảnh chấn thương não sau cơn động kinh - Ảnh BSCC

Vì sao dễ xảy ra ngã ở người bệnh động kinh?

Trong cơn co giật (đặc biệt là động kinh toàn thể – cơn co cứng – co giật), người bệnh thường xuất hiện:

Mất ý thức hoàn toàn.

Mất kiểm soát trương lực cơ dẫn đến ngã đột ngột.

Va đập đầu vào nền nhà, tường, cạnh bàn, đồ vật.

Do đó, chấn thương sọ não là một biến chứng tương đối thường gặp.

Khi nào nguy hiểm?

Sau cơn động kinh, chấn thương đầu có thể dẫn đến:

Xuất huyết nội sọ: Máu tụ dưới màng cứng (SDH); Máu tụ ngoài màng cứng (EDH); Xuất huyết dưới nhện; Dập não – phù não.

Vỡ xương sọ

Tăng nguy cơ co giật tái diễn

Do tổn thương cấu trúc não.

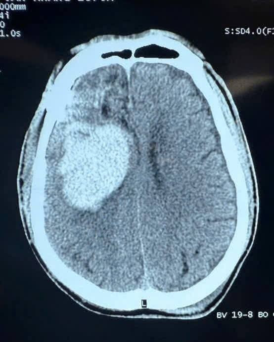
chan-tuong.jpg
Hình ảnh chấn thương não trên phim chụp - Ảnh BSCC

Dấu hiệu cảnh báo chấn thương sọ não sau cơn động kinh (cần đi viện ngay)

Mất ý thức kéo dài hơn bình thường sau cơn (>15–20 phút chưa tỉnh rõ).

Đau đầu tăng dần sau vài giờ đến vài ngày.

Nôn ói liên tục.

Lú lẫn, nói khó, yếu tay chân.

Mắt mờ, nhìn đôi.

Co giật lặp lại trong thời gian ngắn.

Chảy máu tai – mũi, bầm tím quanh mắt hoặc sau tai (dấu hiệu vỡ nền sọ).

Trẻ nhỏ hoặc người già: ngủ li bì bất thường.

Với đội ngũ bác sĩ giàu kinh nghiệm và hệ thống trang thiết bị tiên tiến, Khoa Ngoại thần kinh – Bệnh viện 19-8 là địa chỉ tin cậy trong điều trị bệnh lý sọ não và cột sống, mang lại kết quả an toàn, hiệu quả cho người bệnh.

BSCKI Vũ Anh Tuấn (Khoa Ngoại thần kinh, Bệnh Viện 19-8)

back to top