Mới đây, PGS.TS Nguyễn Huy Thắng - Trưởng khoa Bệnh lý mạch máu não, Bệnh viện Nhân dân 115 (TP.HCM) cho biết, bệnh viện vừa tiếp nhận một nam thanh niên 22 tuổi (Cà Mau) nhập viện trong tình trạng đau đầu dữ dội.
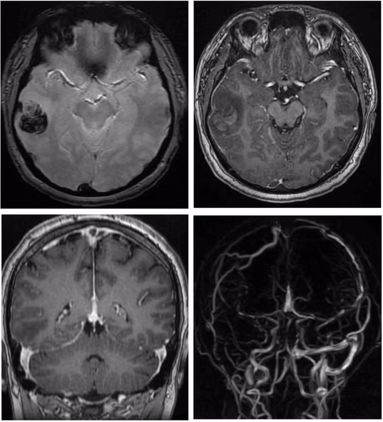
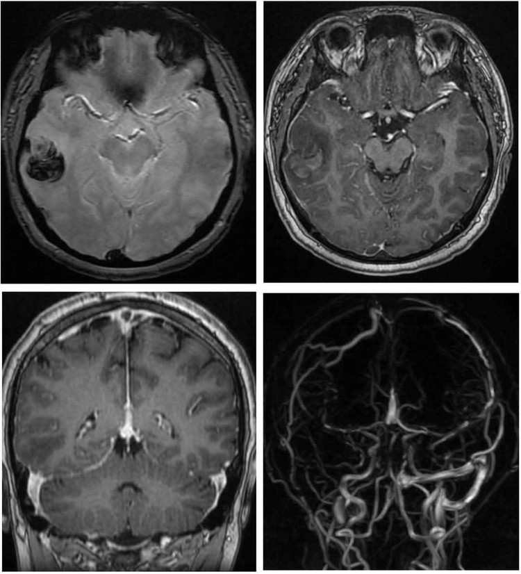
Kết quả chụp CT Scan cho thấy bệnh nhân bị xuất huyết não.
Khi kiểm tra thêm bằng bằng cộng hưởng từ (MRI) có bơm thuốc cản quang, các bác sĩ phát hiện huyết khối tại nhiều vị trí trong hệ thống tĩnh mạch não.
Qua khai thác bệnh sử, nam thanh niên cho biết có thói quen hút shisha thường xuyên trong một năm qua, với tần suất ngày càng tăng.
![]() |
| Hình ảnh não của nam thanh niên 22 tuổi bị đột quỵ xuất huyết não do hút shisha liên tục trong một năm qua |
Nhờ chẩn đoán kịp thời và điều trị đặc hiệu bằng thuốc kháng đông, bệnh nhân đã phục hồi hoàn toàn.
Tuy nhiên, bác sĩ Thắng nhấn mạnh trường hợp này là hồi chuông cảnh báo về tác hại khôn lường của shisha.
Theo PGS Thắng, shisha (thuốc lá hút qua bình lọc nước) thường được giới trẻ ưa chuộng vì có hương vị dễ chịu như bạc hà, táo, dâu... tạo cảm giác nhẹ nhàng hơn thuốc lá thông thường. Tuy nhiên, một giờ hút shisha tương đương việc hít phải khói của 100-200 điếu thuốc lá. Điều này đồng nghĩa với việc cơ thể phải hấp thụ một lượng lớn nicotine, carbon monoxide (CO) và hàng loạt chất độc hại khác.
Bên cạnh đó, các chất độc trong khói shisha, như kim loại nặng (chì, cadmium) và hợp chất hữu cơ độc hại có thể gây viêm và tổn thương nội mạc tĩnh mạch. Khi thành mạch bị tổn thương là nơi lý tưởng để cục máu đông bám vào và phát triển.
"Khói shisha chứa nicotine và carbon monoxide (CO). Nicotine kích thích giải phóng các yếu tố đông máu, làm máu dễ đông hơn (trạng thái tăng đông).
CO làm giảm oxy trong máu, gây stress cho hệ tuần hoàn và thúc đẩy hình thành cục máu đông.
Một buổi hút shisha (khoảng 1 giờ) khiến người dùng hít lượng CO gấp 9 lần và nicotine gấp 1,7 lần so với một điếu thuốc lá, theo nghiên cứu từ Tổ chức Y tế thế giới (WHO)", PGS Thắng giải thích thêm.
