Hiện nay công tác khám sức khỏe định kỳ đã được các cơ quan đơn vị quan tâm, tạo điều kiện cho người lao động được kiểm tra sức khỏe thường xuyên. Tuy nhiên một số người vẫn chủ quan và cho rằng “đi khám cho có” chứ không ra bệnh được. Nhưng đây là quan điểm sai lầm bởi thực tế nhờ kiểm tra sức khỏe tổng quát đã rất nhiều người phát hiện ra bệnh mặc dù trước đó cơ thể không hề có triệu chứng gì.
Khỏe mạnh không ngờ mắc bệnh nặng
Đầu tháng 11/2024, phòng Khám sức khỏe Bệnh viện Giao thông vận tải tiếp nhận trường hợp anh Q. 21 tuổi, tiền sử hoàn toàn khỏe mạnh, thể trạng cao gầy (chiều cao:180 cm, cân nặng: 66 kg), không có triệu chứng gì đặc biệt, đi khám sức khỏe để xuất khẩu lao động tại Nhật Bản.
Tại phòng Khám sức khỏe anh Q. được làm điện tim có hình ảnh tăng gánh thất trái và được bác sỹ chỉ định siêu âm tim. Trên hình ảnh siêu âm tim bác sĩ siêu âm nghi ngờ phình bóc tách động mạch chủ - theo dõi hội chứng Marfan.
Đây là bệnh lý rất nặng và hiếm gặp, nguy cơ tử vong rất cao. Ngay lập tức anh Q. được chụp phim cắt lớp vi tính lồng ngực xác định chẩn đoán và chuyển sang Viện Tim mạch Quốc gia để phẫu thuật. Quả thực anh Q. đã rất may mắn khi được chẩn đoán và phát hiện, điều trị bệnh kịp thời.
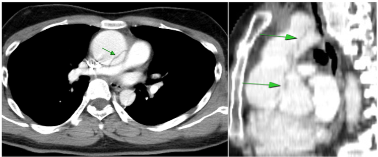
![]() |
| Hình ảnh động mạch chủ ngực giãn và lóc tách (mũi tên xanh) - Ảnh BSCC |
Hội chứng Marfan: bệnh di truyền tổn thương nhiều cơ quan
Hội chứng Marfan là một rối loạn di truyền ảnh hưởng đến mô liên kết (là các sợi hỗ trợ, kết nối cơ quan và các cấu trúc khác trong cơ thể). Hội chứng này thường ảnh hưởng nhiều nhất đến tim, mắt, mạch máu và xương.
Hội chứng Marfan được đặt tên theo bác sĩ người Pháp Antoine Marfan, người đầu tiên miêu tả rối loạn này vào năm 1896, được Francesco Ramirez xác định có liên quan tới gen năm 1991. Trong hội chứng Marfan, một đột biến di truyền gây khiếm khuyết trong việc sản sinh fibrillin (là một protein tìm được trong mô liên kết).
Hội chứng Marfan có tần suất mắc 1/5000, mang tính di truyền trội (con của bệnh nhân Marfan có xác suất bị bệnh là 50%). Khoảng 25 – 30% trường hợp là do đột biến, không có tiền sử gia đình. Các dấu hiệu của hội chứng Marfan thay đổi, khác nhau ngay cả với những người trong cùng gia đình. Có người chỉ bị nhẹ, có người gặp biến chứng nguy hiểm.
Các triệu chứng của tình trạng này có thể xuất hiện trong giai đoạn phôi thai và trẻ nhỏ hoặc sau này trong cuộc sống khi trẻ lớn lên. Một số triệu chứng có thể nặng dần theo tuổi tác bao gồm:
- Hệ thống xương: rối loạn này biểu hiện khác nhau ở mỗi người. Các triệu chứng có thể nhìn thấy thường xuất hiện ở xương và các khớp xương bao gồm:
+ Chiều cao bất thường
+ Chân dài
+ Bàn chân phẳng và to
+ Khớp lỏng lẻo
+ Những ngón tay mỏng và dài
+ Cột sống bị cong
+ Xương ngực (xương ức) nhô ra hoặc lún bên trong
+ Răng mọc dày
![]() |
| Hình ảnh ngón tay, ngón chân dài bất thường ở bệnh nhân có hội chứng Marfan - Ảnh BSCC |
- Hệ tim mạch:
+ Động mạch chủ có thể bị phình to hoặc bị bóc tách, tình trạng này có thể không có triệu chứng. Tuy nhiên động mạch chủ có nguy cơ bị vỡ và đe dọa đến tính mạng. Vì vậy, người bệnh cần đến gặp bác sĩ ngay lập tức nếu bị đau ngực, khó thở hoặc ho mà không kiểm soát được.
+ Trong quá trình mang thai tim của thai phụ phải bơm đi một lượng máu nhiều hơn bình thường, do vậy sẽ làm tăng nguy cơ bị vỡ động mạch chủ và gây tử vong cho mẹ.
+ Dị dạng van tim hoặc giãn van tim quá mức, có thể dẫn đến suy tim.
![]() |
| Ảnh BSCC |
- Mắt:
+ Lệch thủy tinh thể một hoặc hai mắt.
+ Cận thị nặng.
+ Đục thủy tinh thể khởi phát sớm.
+ Tăng nhãn áp.
+ Bong hoặc rách võng mạc.
- Hệ thống thần kinh: do sự bất thường trong cấu trúc của màng cứng có thể gây ra khó chịu như đau bụng, đau hoặc tê yếu ở chân.
- Da: nhiều người bị hội chứng Marfan có các vết rạn trên da mà không có bất kỳ sự thay đổi trọng lượng nào. Những vết rạn da có thể xảy ra ở mọi lứa tuổi và không gây hại sức khỏe. Tuy nhiên, người mắc hội chứng Marfan có nguy cơ cao thoát vị bụng hoặc bẹn.
- Phổi:
+ Tổn thương mô liên kết làm cho các phế nang kém đàn hồi, nếu các phế nang bị giãn hoặc sưng có thể làm tăng nguy cơ xẹp phổi.
+ Một số ít những người mắc hội chứng Marfan có thể có rối loạn hô hấp liên quan đến giấc ngủ như ngủ ngáy, hoặc ngưng thở khi ngủ.
Không có biện pháp phòng ngừa, cần theo dõi sát để điều trị
Không có phương pháp phòng ngừa cho các trường hợp hội chứng Marfan do đột biến gen, tuy nhiên chúng ta có thể phòng ngừa được bằng việc thăm khám sức khỏe định kỳ hàng năm. Đặc biệt với các trường hợp có tổn thương động mạch chủ thì cần theo dõi sát tình trạng tiến triển của phình động mạch chủ, kiểm soát huyết áp và can thiệp động mạch chủ khi có chỉ định.
![]() |
| Can thiệp động mạch chủ ngực |
BSCKI Lê Hoàng Linh – BSCKI Nguyễn Thị Cúc
(Bệnh viện Giao thông vận tải)



