Theo đó, người bệnh T.T.H (73 tuổi), đang đi bộ xuất hiện cơn đau ngực, có cảm giác tức, bóp nghẹt vùng ngực kèm theo vã mồ hôi. Người bệnh choáng váng, ngã đập trán xuống đất ngất đi sau khoảng 2 phút thì tỉnh lại được người dân đưa vào Bệnh viện Đôn Lương, Cát Hải, Hải Phòng trong tình trạng đau ngực, nhịp tim chậm 40 lần/phút, huyết áp tụt 80/50mmHg.
Người bệnh đã được sơ cứu và chuyển ngay đến Bệnh viện Hữu nghị Việt Tiệp. Tại Bệnh viện người bệnh đã được nhanh chóng làm các xét nghiệm chuyên sâu, được chẩn đoán: Nhồi máu cơ tim cấp có biến chứng sốc tim, rối loạn nhịp trên nền bệnh lí tăng huyết áp, đái tháo đường. Người bệnh đã được xử trí truyền thuốc vận mạch nâng huyết áp, tiêm thuốc chống đông máu, thuốc ổn định mảng xơ vữa.
![]() |
| Hình ảnh: Điện tâm đồ của người bệnh khi nhập viện Hữu nghị Việt Tiệp |
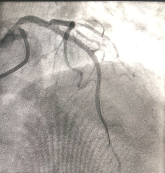
Sau xử trí cấp cứu huyết áp của người bệnh đã tăng lên 110/70mmHg, nhịp tim ổn hơn, được chuyển vào phòng can thiệp Khoa Can thiệp Tim và Mạch máu để tiến hành chụp động mạch vành qua da, kết quả cho thấy hẹp gần tắc đoạn gần động mạch liên thất trước. Kíp can thiệp đã nong bóng và đặt 1 stent phủ thuốc vào vị trí tổn thương.
![]() |
| (Hình ảnh: Hẹp gần tắc động mạch vành trước can thiệp) |
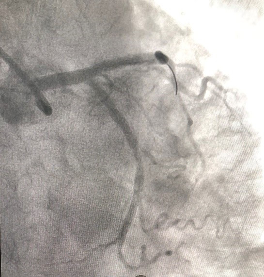
Sau đặt stent, người bệnh đã đỡ đau ngực, huyết áp tăng dần, giảm được thuốc vận mạch qua được cơn nguy kịch. Sau 8 ngày điều trị, người bệnh hết đau ngực, huyết áp, nhịp tim ổn định và đã được xuất viện tái khám định kỳ.
![]() |
| Hình ảnh: Sau can thiệp đặt stent động mạch vành |
Nhồi máu cơ tim cấp là bệnh lý tim mạch cấp tính có xu hướng tăng cao và là một trong những nguyên nhân gây tử vong hàng đầu hiện nay, trong đó rối loạn nhịp tim và sốc tụt huyết áp là nguyên nhân gây tử vong thường gặp nhất của nhồi máu cơ tim cấp (chiếm 5-20%).
Nhồi máu cơ tim cấp thường do nứt vỡ mảng xơ vữa động mạch vành, từ đó hình thành cục máu đông gây tắc nghẽn cấp tính hoàn toàn hoặc gần hoàn toàn động mạch vành. Vùng cơ tim được cấp máu bởi nhánh động mạch vành bị tắc nghẽn sẽ không được tưới máu dẫn đến hoại tử.
Khi đó, tim co bóp kém và bóp không đều gây ra các rối loạn nhịp nguy hiểm, sốc tụt huyết áp có thể gây ngất, đột tử. Trường hợp người bệnh T.T.H đã được phát hiện đưa tới bệnh viện xử trí cấp cứu kịp thời, chụp và đặt stent giúp tái thông động mạch vành nên đã tránh được nguy cơ tử vong.
Có khoảng 10% người bệnh nhồi máu cơ tim cấp có nguy cơ tử vong do không kịp tiếp cận phương pháp can thiệp. Đây là tình trạng nguy hiểm, đe dọa trực tiếp đến tính mạng của người bệnh nên cần được phát hiện và điều trị kịp thời.
Bác sĩ khuyến cáo khi người bệnh xuất hiện cơn đau thắt ngực dữ dội, thỉu hoặc ngất cần được đưa ngay tới cơ sở y tế để có thể chẩn đoán sớm bệnh và điều trị. Với bệnh lý nhồi máu cơ tim cấp, chụp và can thiệp động mạch vành qua da là phương pháp điều trị tối ưu, hiệu quả nhất cho người bệnh.
ThS.BSCKII Nguyễn Anh Dũng, (Phó trưởng Khoa Can thiệp Tim và Mạch máu, Bệnh viện Hữu nghị Việt Tiệp)


