Bảo bối cứu chồng “hãm hại” cô dâu
Chiều 23/5, các bác sĩ khoa Phẫu thuật Chấn thương chỉnh hình, Bệnh viện E cho biết, vừa phẫu thuật thành công lấy một dị vật sắc nhọn bằng kim loại ra khỏi mông trái một cô gái 23 tuổi, ở Hưng Yên. Điều đáng nói, cô gái gặp tai nạn hy hữu khi mặc áo cưới ngồi xe hoa về nhà chồng…
Nằm bên giường bệnh, cô gái trẻ chia sẻ ca tai nạn hy hữu của mình: Vào ngày, cô gái mặc áo cưới được các “cụ” gài kim vào gấu váy. Cô gái được người lớn dặn, thủ sẵn cây kim để “cứu” chồng nếu không may bị “mã thượng phong” hoặc “hạ mã phong”…
Tuy nhiên, lúc lên xe hoa, cô đã bị vật dụng “bảo bối hạnh phúc” này đâm vào người. Chỉ nghĩ là đầu kim chọc vào cơ thể gây đau nên vợ chồng trẻ không hề hay biết chiếc kim đã chui vào cơ thể cô gái.
Đến tối, khi vận động mạnh, cô gái thấy nhói đau do chiếc kim đâm sâu vào cơ thể. Ngay lập tức, vợ chồng trẻ đến bệnh viện tuyến dưới để khám. Các bác sĩ có chích da nhưng không tìm thấy dị vật.
![]() |
| Cô dâu bị kim đâm xuyên người khi ngồi trên xe hoa về nhà chồng được phẫu thuật tại BV E |
Kim chu du trong cơ thể rất nguy hiểm
Đến sáng ngày 22/5/2023, vợ chồng trẻ quyết định lên Bệnh viện E khám. BSCKII Kiều Quốc Hiền – Trưởng khoa Phẫu thuật Chấn thương chỉnh hình, Bệnh viện E cho biết, người bệnh nhập viện trong tình trạng đau nhiều vùng mông – ngồi trái. Bác sĩ khám thấy có vết chích da dài khoảng 5cm đã được xử trí khâu kín lại. Mặc dù đã được các bác sĩ tuyến dưới xử trí nhưng không thành công, người bệnh kêu buốt và đau đớn, nhất là khi vận động mạnh.
Khai thác tiền sử bệnh án, người bệnh có nghi ngờ ngồi vào chiếc kim khâu may vá dài 5cm. Tuy nhiên, do người bệnh đang mang thai nên không thể tiếp xúc với tia X, nên các bác sĩ cân nhắc việc chỉ định chụp X –quang định vị dị vật.
Tuy nhiên, sau khi tham vấn các bác sĩ khoa Chẩn đoán hình ảnh, Bệnh viện E, người bệnh được mặc áo chì, chụp đúng phần mông trái để xác định chính xác người bệnh có bị dị vật đâm vào người hay không.
BSCKII Kiều Quốc Hiền chia sẻ, rất may cho người bệnh này, hệ thống phòng mổ của Bệnh viện E có hệ thống máy siêu âm 3D thường được sử dụng trong định vị sỏi khi thực hiện kỹ thuật tán sỏi qua da hoặc xác định vị trí đám rối thần kinh trong gây tê đám rối hoặc xác định ven trung ương khi phải can thiệp đặt ven trung tâm…
Nay, dưới sự hỗ trợ của hệ thống máy siêu âm 3D hiện đại này, BSCKII Kiều Quốc Hiền cùng các cộng sự đã dễ dàng lấy dị vật sắc nhọn bằng kim loại cho người bệnh một cách nhanh chóng. Chỉ sau 5 phút, gây tê, các bác sĩ đã lấy ra một chiếc kim khâu dài 5cm, chưa hoen rỉ nằm sâu trong cơ mông của người bệnh.
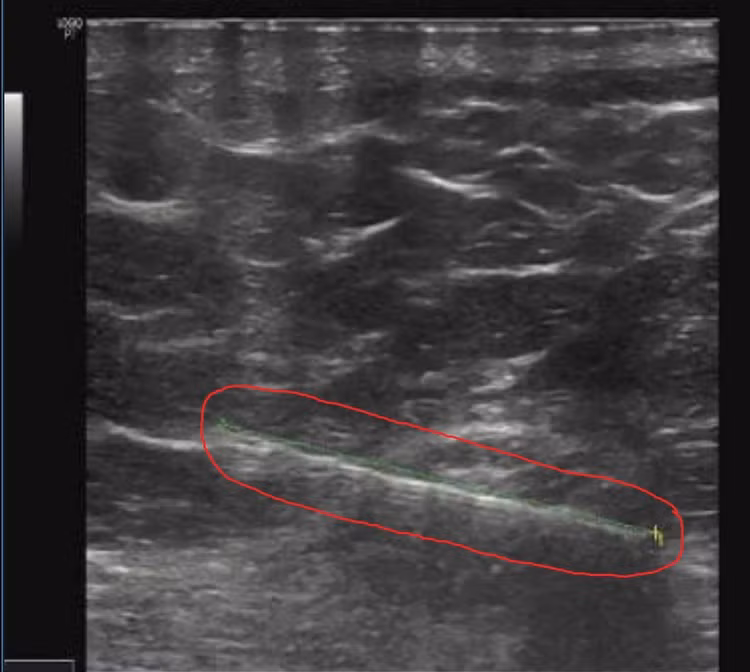
![]() |
| Chiếc kim trong cơ thể cô gái trên phim chụp |
Theo BSCKII Kiều Quốc Hiền, đây là một ca bệnh không khó nhưng mức độ nguy hiểm lại nghiêm trọng, bởi một khi cây kim khâu đó xâm nhập vào cơ thể có thể “du lịch” khắp nơi, thậm chí “tấn công” vào tim, phổi, ổ bụng… gây nên hậu quả nghiêm trọng. Ngoài ra, người bệnh đang mang thai, việc chỉ định các phương tiện chẩn đoán như chụp chiếu là cẩn trọng, có thể gây ảnh hưởng đến thai nhi…
Vì vậy, BSCKII Kiều Quốc Hiền khuyến cáo: Nếu không may người bệnh bị dị vật sắc nhọn đâm xuyên và chui vào cơ thể như kim khâu, kim tiêm… thì cần đến ngay cơ sở y tế có đầy đủ trang thiết bị y tế hiện đại để xác định chính xác vị trí của dị vật và bác sĩ chuyên khoa giỏi phẫu thuật, can thiệp sớm giúp lấy dị vật đó ra một cách nhanh nhất, tránh những hậu quả đáng tiếc xảy ra.
Ngoài ra, các bác sĩ còn khuyến cáo, trong trường hợp này, người bệnh không nên dùng các biện pháp dân gian hoặc tự ý lấy dị vật ra, điều này có thể càng khiến dị vật đâm sâu hơn, khó xử trí hoặc gây nguy hiểm đến tính mạng người bệnh.

