Sức khoẻ 360

Chấn thương sọ não ở người cao tuổi, tưởng nhẹ, hậu quả có thể tử vong

Ở người cao tuổi, một cú ngã tưởng chừng nhẹ cũng có thể gây tụ máu não tiến triển nhanh, các triệu chứng không rầm rộ, nhưng xấu đi rất nhanh.

Bệnh viện 19-8 vừa thực hiện thành công ca cấp cứu nguy kịch cho người bệnh chấn thương sọ não nặng sau ngã tại nhà.

Theo đó, ngày 24/12/2025, Khoa Cấp cứu A9 – Bệnh viện 19-8, Bộ Công an đã tiếp nhận và xử trí khẩn cấp một trường hợp chấn thương sọ não nặng ở người cao tuổi do tai nạn sinh hoạt.

Ca bệnh diễn biến rất nhanh, nguy kịch, đòi hỏi quyết định chính xác và phối hợp tức thời giữa cấp cứu – chẩn đoán hình ảnh – phẫu thuật thần kinh.

Bệnh nhân Lưu D.T., nam, 70 tuổi, trú tại Cầu Giấy – Hà Nội, tiền sử chưa ghi nhận bệnh lý đặc biệt. Theo người nhà, khoảng 1 giờ trước nhập viện, bệnh nhân bị ngã trong sinh hoạt tại nhà.

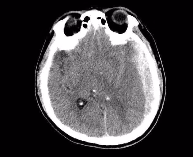
so-nao.jpg
Hình ảnh máu tụ trên phim chụp - Ảnh BVCC

Khi được phát hiện, bệnh nhân bất tỉnh, có vết thương vùng đỉnh, đau đầu dữ dội, nôn nhiều. Bệnh nhân được Trung tâm Cấp cứu 115 nhanh chóng đưa tới Bệnh viện 19-8.

Tình trạng khi vào Khoa Cấp cứu A9: Bệnh nhân tỉnh nhưng tiếp xúc chậm, nguy cơ tổn thương não tiến triển; Sinh hiệu tạm ổn định: SpO₂ 99%, mạch 80 lần/phút, HA 130/70 mmHg; Vết thương vùng đỉnh đã được băng ép cầm máu; Chưa có dấu hiệu liệt khu trú rõ, nhưng biểu hiện thần kinh không an toàn.

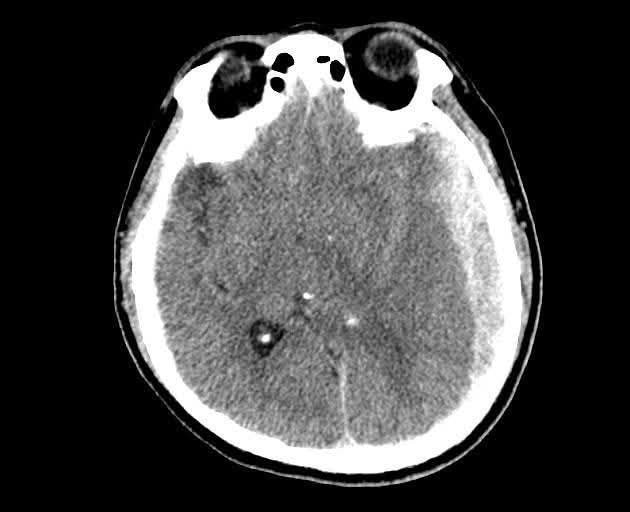
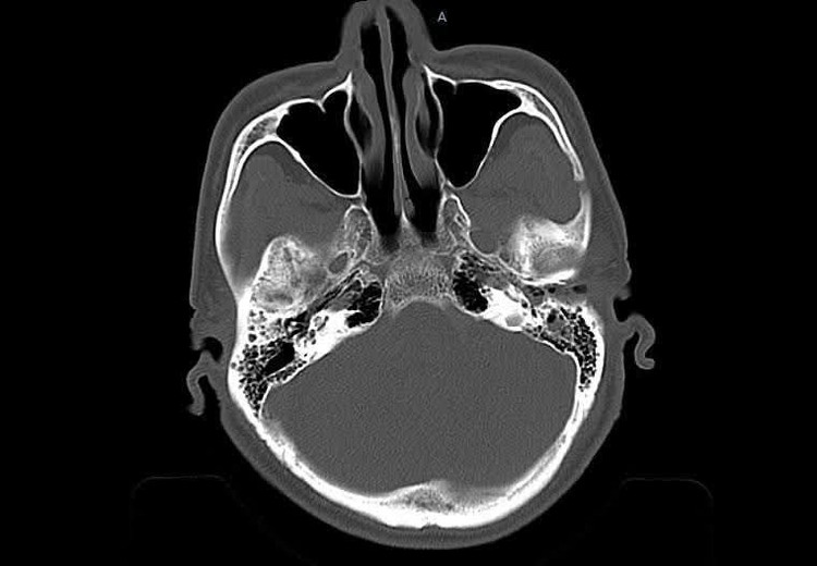
CT sọ não cấp cứu ghi nhận: Tụ máu dưới màng cứng hai bán cầu, bên trái dày tới 18 mm; Xuất huyết dưới nhện rải rác hai bán cầu; Đường giữa lệch 15 mm – dấu hiệu chèn ép não nghiêm trọng; Vỡ xương thái dương phải, xương đá trái, kèm tụ dịch sào bào chũm.

so-nao-2.jpg
Hình ảnh tổn thương trên phim chụp - Ảnh BVCC

Ngay sau khi chụp CT, bệnh nhân đột ngột hôn mê, điểm Glasgow giảm nhanh từ 13 xuống 9 điểm. Kíp Cấp cứu A9 lập tức: Đặt nội khí quản bảo vệ đường thở; Hồi sức tích cực ban đầu; Hội chẩn khẩn với Phẫu thuật Thần kinh; Chuyển thẳng bệnh nhân lên phòng mổ cấp cứu.

Thời gian từ lúc bệnh nhân hôn mê đến khi lên bàn mổ chưa đầy 1 giờ, cho thấy vai trò sống còn của cấp cứu tuyến đầu và quy trình xử trí nhanh – đúng – quyết liệt.

Chẩn đoán xác định: Chấn thương sọ não nặng; Tụ máu dưới màng cứng hai bán cầu; Xuất huyết dưới nhện; Vỡ xương sọ.

Ca bệnh là lời cảnh tỉnh rõ ràng, chấn thương sọ não ở người cao tuổi không được phép chủ quan. Phát hiện sớm, cấp cứu kịp thời, xử trí đúng tuyến là yếu tố quyết định sự sống còn.

so-nao-1.jpg
Hình ảnh tổn thương trên phim chụp - Ảnh BVCC

“Ở người cao tuổi, chỉ một cú ngã tưởng chừng nhẹ cũng có thể gây tụ máu não tiến triển nhanh, nguy cơ tử vong cao. Các triệu chứng ban đầu có thể không rầm rộ, nhưng xấu đi rất nhanh trong vài chục phút đến vài giờ.

Cần đi cấp cứu ngay nếu có bất kỳ dấu hiệu nào sau ngã: Bất tỉnh, lơ mơ, tiếp xúc chậm; Đau đầu tăng dần, nôn; Lú lẫn, nói khó, yếu tay chân; Co giật, buồn ngủ nhiều

Tuyệt đối không: Theo dõi tại nhà khi đã có triệu chứng thần kinh; Chủ quan vì “ngã nhẹ, không chảy máu nhiều”; Trì hoãn đưa người bệnh đến cơ sở y tế có khả năng cấp cứu chuyên sâu.

Phòng ngừa té ngã cho người cao tuổi: Nhà cửa đủ ánh sáng, khô ráo; Tránh thảm trơn, bậc cao; Có tay vịn nhà vệ sinh, cầu thang; Không để người cao tuổi leo trèo, mang vác nặng”, các bác sĩ Bệnh viện 19-8 khuyến cáo.

Bệnh viện đa khoa Thiện Hạnh ra mắt hệ thống CT 100.000 lát cắt & MRI 3.0 Tesla

Bệnh viện đa khoa Thiện Hạnh ra mắt hệ thống CT 100.000 lát cắt & MRI 3.0 Tesla

Sáng ngày 26/12/2025, Bệnh viện đa khoa Thiện Hạnh tổ chức Lễ ra mắt hệ thống máy CT SOMATOM Force VB30 và MRI 3.0 Tesla MAGNETOM, đánh dấu bước tiến quan trọng trong chiến lược đầu tư công nghệ cao, nâng cao năng lực chẩn đoán và điều trị, phục vụ nhu cầu chăm sóc sức khỏe ngày càng cao của người dân khu vực Tây Nguyên.

back to top