Chấn thương sọ não ở người cao tuổi, tưởng nhẹ, hậu quả có thể tử vong
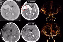
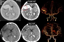
Ở người cao tuổi, một cú ngã tưởng chừng nhẹ cũng có thể gây tụ máu não tiến triển nhanh, các triệu chứng không rầm rộ, nhưng xấu đi rất nhanh.
Ở người cao tuổi, một cú ngã tưởng chừng nhẹ cũng có thể gây tụ máu não tiến triển nhanh, các triệu chứng không rầm rộ, nhưng xấu đi rất nhanh.
Bệnh cơ tim xốp đặc trưng bởi sự không hoàn toàn của quá trình nén chặt trong quá trình phát triển tim, bè cơ dày và các hốc sâu ở thành cơ tim.