Sức khoẻ 360

Phẫu thuật cứu sống nữ sinh chấn thương sọ não do tà áo dài quấn vào bánh xe

Các bác sĩ vừa phẫu thuật kịp thời cứu sống nữ sinh chấn thương sọ não sau cú ngã mạnh do áo dài quấn vào xe.

Trên đường đến trường, nữ sinh 15 tuổi ở Tây Ninh bất ngờ ngã đập đầu xuống đường khi tà áo dài bị cuốn vào bánh sau xe đạp điện. Ngay sau tại nạn, nữ sinh xuất hiện các triệu chứng đau đầu, buồn nôn nên được đưa tới Bệnh viện Đa khoa Xuyên Á Long An cấp cứu.

Tại đây, các bác sĩ nhanh chóng thăm khám và ghi nhận người bệnh yếu nửa người bên phải, điểm tri giác theo thang Glasgow là 9-10/15. Chụp MSCT sọ não cho thấy một khối máu tụ ngoài màng cứng ở bán cầu não trái lan xuống cực thái dương trái, kèm theo nứt xương sọ vùng thái dương trái.

Tình trạng hiện tại có xu hướng chảy máu thêm, đánh giá ban đầu cho thấy nguồn chảy máu xuất phát từ nứt sọ thái dương và đứt động mạch màng não giữa. Trước tình hình này, nữ sinh được chỉ định phẫu thuật cấp cứu để lấy máu tụ ngoài màng cứng và cầm máu.

Cuộc phẫu thuật được triển khai ngay sau khi các cận lâm sàng cần thiết hoàn tất, các chỉ số xét nghiệm nằm trong giới hạn an toàn. Các bác sĩ đã tiến hành mở sọ, loại bỏ khối máu tụ và nhanh chóng kiểm soát nguồn chảy máu.

Nữ sinh 15 tuổi được phẫu thuật kịp thời. Ảnh tienphong.vn

Nguồn chảy máu là động mạch lớn của màng não nên việc cầm máu kịp thời đóng vai trò then chốt, ngăn khối máu tụ phát triển lớn hơn, gây chèn ép não lâu dài, từ đó giảm nguy cơ các di chứng sau mổ như yếu nửa người.

Nhờ sự phối hợp nhịp nhàng của đội ngũ y bác sĩ giàu kinh nghiệm, ca phẫu thuật diễn ra thuận lợi. Chỉ 30 phút sau, nữ sinh tỉnh lại sau gây mê và có thể giao tiếp với người thân.

Sau quá trình điều trị và theo dõi sát sao, nữ sinh đã được xuất viện.

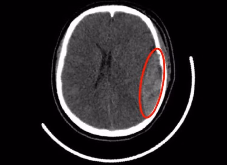
Hình ảnh kiểm tra ghi nhận vị trí nứt hộp sọ, máu tụ dưới màng cứng nữ sinh gặp phải/Ảnh tienphong.vn
Hình ảnh kiểm tra ghi nhận vị trí nứt hộp sọ, máu tụ dưới màng cứng nữ sinh gặp phải/Ảnh tienphong.vn

Theo BS.CKI Nguyễn Thế Thuần – Trưởng khoa Ngoại Thần kinh, tụ máu dưới màng cứng cấp là một trong những tổn thương nguy hiểm nhất trong chấn thương sọ não.

"Có những trường hợp bệnh nhân sau tai nạn vẫn tỉnh táo nhưng vài giờ sau lại chuyển biến xấu do khối máu tụ gây áp lực lên não", BS Thuần giải thích thêm.

Các triệu chứng có thể xuất hiện như đau đầu, nôn, lú lẫn, mất ý thức, yếu liệt, co giật hoặc thậm chí tử vong nếu không được can thiệp kịp thời. Cũng theo chuyên gia, bệnh viện ghi nhận nhiều trường hợp người bệnh được phát hiện khối máu tụ vùng đầu sau vài ngày, thậm chí vài tháng sau chấn thương.

Do đó, chuyên gia khuyến cáo, khi gặp va đập vùng đầu, dù nhẹ hay nặng, đặc biệt nếu có các dấu hiệu bất thường như đau đầu, nôn ói, chóng mặt, lơ mơ… cần được đưa ngay đến cơ sở y tế để thăm khám lâm sàng và thực hiện các kiểm tra hình ảnh như CT-Scan hoặc MRI.

"Việc chẩn đoán sớm và chính xác là yếu tố then chốt giúp cứu sống người bệnh và ngăn ngừa biến chứng nghiêm trọng", BS Nguyễn Thế Thuần nhấn mạnh.

Các bác sĩ cảnh báo, thời gian gần đây, nhiều vụ tai nạn liên quan đến áo dài truyền thống, áo mưa, áo chống nắng, đã được ghi nhận tại các địa phương. Tai nạn chủ yếu xảy ra khi di chuyển bằng xe gắn máy, xe đạp hoặc xe đạp điện. Tà dài của các loại áo trên rất dễ mắc vào bánh xe khi di chuyển nhanh hoặc gặp lúc gió mạnh.

Để tránh những tai nạn thương tâm tương tự trường hợp trên, các chuyên gia khuyến cáo nữ sinh nên chủ động giữ phần tà áo gọn gàng trước khi di chuyển. Có thể dùng tay giữ nhẹ tà áo phía sau, cột gọn bằng dây nhỏ hoặc sử dụng áo khoác dài bên ngoài để hạn chế tà áo bay phấp phới khi chạy xe.

Bên cạnh đó, nhà trường nên hướng dẫn học sinh cách đảm bảo an toàn khi mặc áo dài, đặc biệt là với nhóm nữ sinh mới vào cấp ba chưa quen tự điều khiển phương tiện, chưa vững các kỹ năng phòng tránh tai nạn khi tham gia giao thông. Phụ huynh có thể lựa chọn xe có chắn bùn kín, bánh xe được che an toàn hoặc trang bị thêm miếng chắn bánh sau để giảm nguy cơ cuốn vải. Khi trời mưa hoặc mặt đường trơn, học sinh càng cần giảm tốc độ, tránh thắng gấp vì tà áo dễ vướng vào bánh xe hơn.

Ngoài ra, nữ sinh nên tránh mang theo balô quá nặng hoặc đeo lệch vai, vì mất thăng bằng khi áo bị kéo có thể khiến cú ngã trở nên nghiêm trọng hơn. Trong mọi tình huống, nếu áo dài bị cuốn vào xe, cần dừng lại ngay lập tức, tuyệt đối không cố gỡ khi xe đang chạy để tránh nguy hiểm đến tính mạng.

back to top