Trẻ em là đối tượng dễ bị chấn thương sọ não do hiếu động và còn hạn chế trong ý thức bảo vệ bản thân... nên cha mẹ cần chú ý, có kỹ năng sơ cứu để xử lý.
Chấn thương sọ não là một tình trạng cấp cứu nghiêm trọng, cần được phát hiện sớm và xử trí kịp thời để tránh các biến chứng nguy hiểm, thậm chí tử vong.
Chàng trai 20 tuổi nguy kịch do dập não, không rõ nhân thân, vẫn được PGS.TS Đỗ Đức Thuần, Bệnh viện Quân y 103, cam kết "chịu trách nhiệm" để cứu người.
Sốc phản vệ là mức độ nặng nhất của phản vệ do đột ngột giãn toàn bộ hệ thống mạch và co thắt phế quản có thể gây tử vong trong vòng một phút nếu không được xử trí kịp thời.
Ngày 28/3, Công an tỉnh Đồng Nai thông tin, đã tạm giữ 6 đối tượng trong vụ nam sinh N.M.T. (17 tuổi, quê An Giang, tạm trú phường Tân Hòa, TP Biên Hòa) bị đánh hội đồng.
Nam sinh lớp 10 đang đi bộ về nhà thì bị nhóm thanh thiếu niên mang gậy tấn công dã man, gục tại chỗ. Nạn nhân bị nứt sọ, tụ máu bầm, hiện đang được cấp cứu.
Bệnh nhân nhập viện trong tình trạng nguy kịch, ổ dập não, tụ máu dưới màng cứng và vỡ xương sọ... Sau 5 ngày phẫu thuật, hồi sức tích cực... bệnh nhân đã hồi phục thần kỳ.
Chẩn đoán sớm thuyên tắc động mạch phổi và nhanh chóng có phương án điều trị phù hợp là vô cùng quan trọng. Đặc biệt đối với những trường hợp có tình trạng xuất huyết.
Bỏ qua các thủ tục phải có trước khi phẫu thuật như ký cam đoan và đóng tiền viện phí, các bác sĩ Bệnh viện Hữu nghị Việt Đức lập tức cứu bệnh nhân hôn mê sâu không có giấy tờ tùy thân.
Bệnh nhân nhập viện trong tình trạng hôn mê sâu, chảy máu mũi, tổn thương vùng trán, thái dương trái, đồng tử giãn 2 bên...đã được các bác sĩ từng bước đưa người bệnh đoàn tụ gia đình trong ngày đầu xuân.
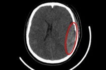
Người cao tuổi dễ bị chảy máu não khi chấn thương nhưng triệu chứng thường xuất hiện muộn, có khi sau vài tháng nên đa phần nhập viện muộn, máu tụ mạn tính đe dọa tính mạng.
Chấn thương hàm mặt có răng gãy và rơi vào đường thở không phải là hiếm gặp và có thể gây các biến chứng như xẹp phổi, viêm phổi dưới vị trí chít hẹp, suy hô hấp nếu không được giải quyết kịp thời.