Sức khoẻ 360

Báo động đỏ kịp thời cứu trẻ 6 tuổi chấn thương sọ não nặng

Bệnh viện Sản Nhi Quảng Ninh đã kịp thời cấp cứu, phẫu thuật thành công cho bé 6 tuổi bị chấn thương sọ nặng do tai nạn sinh hoạt, giúp trẻ dần hồi phục.

Phòng Cấp cứu, khoa Khám bệnh, Bệnh viện Sản Nhi Quảng Ninh tiếp nhận bệnh nhi N.M.N 6 tuổi, hộ khẩu tại Phường Liên Hòa, tỉnh Quảng Ninh, nhập viện trong tình trạng hôn mê, tổn thương nặng vùng đầu, da, niêm mạc nhợt, trẻ đã được sơ cứu ban đầu, hồi sức, đặt ống nội khí quản, bóp bóng trợ thở khi chuyển từ tuyến dưới lên Bệnh viện Sản Nhi Quảng Ninh điều trị.

Nguyên nhân được gia đình chia sẻ do tai nạn sinh hoạt dẫn đến chấn thương vùng đầu của trẻ.

Sau khi tiếp nhận, bệnh viện đã kích hoạt quy trình báo động đỏ toàn viện, trẻ được các bác sĩ đã nhanh chóng xử trí hồi sức, cấp cứu suy hô hấp, cấp cứu ngừng tim, ngừng tuần hoàn, chăm sóc tích cực và thực hiện các cận lâm sàng. Kết quả cho thấy trẻ bị vỡ xương sọ phức tạp, kèm theo chảy máu và dập não phức tạp.

Các bác sĩ chuyên ngành ngoại thần kinh nhi của Bệnh viện Sản Nhi đã tiến hành phối hợp hội chẩn liên viện với chuyên gia ngoại thần kinh của Bệnh viện Đa khoa tỉnh; Trẻ được chẩn đoán bị xuất huyết nội sọ do chấn thương sọ não, tăng áp lực nội sọ, suy hô hấp và nhanh chóng được chuyển phòng mổ chỉ định mổ cấp cứu chấn thương sọ não.

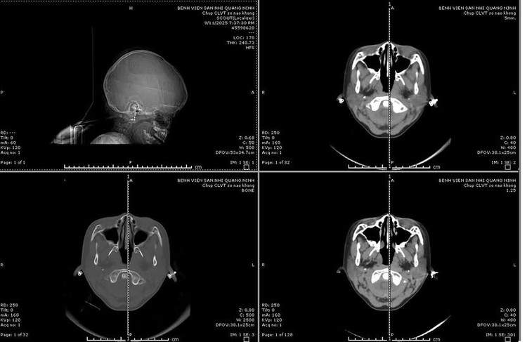
so-nao-nang.jpg
Hình ảnh phim chụp chấn thương sọ não nặng - Ảnh BVCC

Kíp phẫu thuật gồm: BSCKII. Nguyễn Tiến Dũng, Phó Giám đốc Bệnh viện Đa khoa tỉnh; BSCKII. Trịnh Trương Tuyên, Trưởng khoa Ngoại chuyên khoa Bệnh viện Sản Nhi, cùng các bác sĩ, kỹ thuật viên khoa Ngoại chuyên khoa, Gây mê hồi tỉnh đã tiến hành mổ cấp cứu kịp thời cho bệnh nhi.

Các bác sĩ đã tiến hành mở nắp sọ giải áp, lấy máu tụ nhu mô não, loại bỏ mảnh xương găm vào nhu mô não, cầm máu tổ chức não đụng dập, sau đó vá, khâu treo màng cứng và đóng vết mổ cho trẻ.

Sau ca mổ, bệnh nhân được chuyển khoa Hồi sức tích cực và khoa Ngoại chuyên khoa chăm sóc, điều trị đặc biệt, sau 2 tuần điều trị trẻ đã dần hồi phục, tỉnh táo, ổn định sức khỏe và vừa được ra viện.

Qua đây các bác sĩ khuyến cáo tới các bậc phụ huynh: trẻ nhỏ là lứa tuổi hiếu động và chưa thể nhận biết được các mối nguy hiểm từ các đồ vật và môi trường xung quanh mình.

Do đó các phụ huynh cần lưu ý:

- Luôn giám sát khi trẻ vui chơi, đảm bảo trẻ luôn tránh xa các vật dụng nguy hiểm, sắc nhọn, dễ gây tai nạn như: Bếp, lửa, hóa chất, ổ điện, thiết bị điện, dao, máy cắt, máy xay, thủy tinh,…

- Tắt, khóa, ngắt nguồn điện, nguồn động cơ của các thiết bị, để xa tầm tay trẻ các thiết bị sau khi không còn sử dụng nữa.

- Không để trẻ em vui chơi gần nơi lao động, nơi chứa các thiết bị làm việc công suất lớn, hóa chất.

- Giải thích cho trẻ hiểu, nhận biết các thiết bị dễ gây nguy hiểm và không được phép đến gần khi máy đang chạy.

Khi trẻ gặp tai nạn cần bình tĩnh, sơ cứu băng bó vết thương, cố định bằng băng gạc, nẹp, không xê dịch các vị trí gãy xương, tổn thương và đưa ngay trẻ đến các cơ sở y tế chuyên khoa tin cậy gần nhất để xử trí kịp thời, tránh hiểm đến tính mạng trẻ.

back to top