Cháu N.H.L 10 tuổi (Lâm Thao, Phú Thọ) được phát hiện bệnh tim bẩm sinh thông liên thất từ lúc 2 tháng tuổi. Cháu vào viện vì đau đầu, buồn nôn và nôn nhiều.
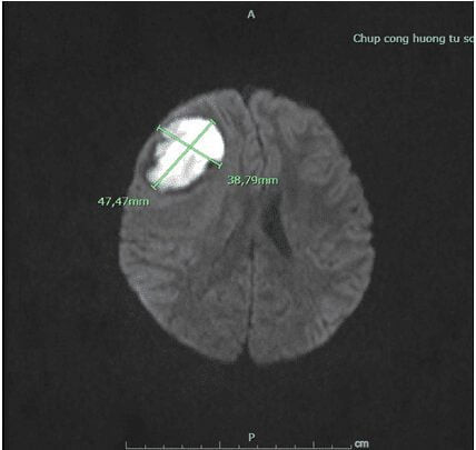
Gia đình cho cháu đi khám tại bệnh viện huyện nghi ngờ u não và được chuyển đến Bệnh viện tỉnh.Tại đây cháu được khám, chụp cộng hưởng từ và được kết luận là áp – xe não do bệnh tim bẩm sinh. Khối áp -xe kích thước khoảng 4 x 5 cm và có viền phù não xung quanh.
![]() |
| Khối áp xe não trên phim cộng hưởng tử |
Bệnh nhi được hội chẩn liên chuyên khoa và được chỉ định phẫu thuật bóc bao áp – xe não. Ca phẫu thuật diễn ra thuận lợi. Sau mổ, ổ áp – xe được loại bỏ hoàn toàn, cháu L. đỡ đau đầu hơn và được tiếp tục dùng thuốc kháng sinh theo phác đồ.
BSNT Nguyễn Xuân Trường, Khoa ngoại thần kinh, Bệnh viện Đa khoa Phú Thọ cho biết, áp xe não là sự tích tụ mủ trong nhu mô não. Các triệu chứng có thể bao gồm đau đầu, mệt mỏi, sốt và dấu hiệu thần kinh khu trú. Chẩn đoán bằng cộng hưởng từ hoặc cắt lớp vi tính có tiêm thuốc cản quang.
Có nhiều nguyên nhân, một trong số đó là nhiễm khuẩn từ sự lây lan qua đường máu trong viêm nội tâm mạc nhiễm khuẩn, bệnh tim bẩm sinh với đường dò từ phải sang trái.
ThS Phạm Văn Bính, khoa Phẫu thuật thần kinh bệnh viện E cho biết, áp-xe não là có bọc mủ trong hộp sọ. Bệnh có thể gây viêm màng não mủ, vỡ áp-xe, tụt kẹt não với tỷ lệ tử vong rất cao (áp-xe não khoảng 40, áp-xe tiểu não 62 - 85%).
Có 3 nguyên nhân chính gây áp-xe não là: do chấn thương; do nhiễm khuẩn từ cơ quan lân cận như: viêm xương chũm, viêm xoang trán, xoang sàng, viêm tai giữa; Và do vi khuẩn theo đường máu gặp trong các bệnh như: lao phổi, giãn phế áp-xe phổi, viêm mủ màng phổi, viêm màng trong tim nhiễm khuẩn, áp-xe gan, viêm tủy xương, viêm bể thận, mụn nhọt..
.Đặc điểm áp-xe não theo đường máu là ổ áp-xe thường ở sâu trong tổ chức não, có thể một hoặc nhiều ổ ở các vị trí khác nhau. Người bị áp-xe não thường có những biểu hiện: sốt cao 380C - 400C; mệt mỏi, chán ăn, đau đầu, nôn và buồn nôn, liệt bại nửa người đối bên, tổn thương dây thần kinh sọ não, cơn co giật động kinh cục bộ, rối loạn ngôn ngữ, lú lẫn, hôn mê….
Hơn nữa, bệnh thường gây biến chứng: viêm màng não mủ, vỡ áp xe, tùy vị trí ổ áp xe có thể gây nhiều tổn thương thần kinh khác nhau.
Theo ThS Phạm Văn Bính, có nhiều phương pháp điều trị áp xe não: Nội khoa (dùng kháng sinh mạnh) và phẫu thuật (chọc hút ổ áp-xe, dẫn lưu và phẫu thuật lấy bỏ toàn bộ ổ áp-xe). Mục tiêu quan trọng nhất trong phẫu thuật là cần phải đảm bảo loại bỏ ổ áp-xe mà không hoặc tối thiểu làm tổn thương tới cấu trúc lành, tổn thương vùng chức năng.
Vì vậy, các bác sĩ Khoa Ngoại thần kinh khuyến cáo tới các bậc phụ huynh nên đưa trẻ khám và sàng lọc bệnh lý tim mạch sớm cũng như khám và sàng lọc sớm các bệnh lý thần kinh sọ não để phát hiện và điều trị kịp thời.
