Bệnh nhân nhập viện trong tình trạng sốc nhiễm khuẩn, xuất hiện ban xuất huyết hoại tử lan rộng toàn thân, đặc biệt ở vùng mặt và tứ chi... do nhiễm liên cầu khuẩn.
“Ăn gì bổ nấy” là nếp nghĩ đã lâu đời của đa số người Việt chúng ta. Vì vậy nhiều người nghĩ rằng ăn tiết canh, vì tiết canh được làm từ máu sẽ được bổ máu.
Hiện nay có nhiều loại thức ăn phổ biến được nhiều người ưa chuộng, tuy nhiên chúng lại tiềm ẩn nhiều nguy cơ đối với sức khỏe trong đó có nguy cơ nhiễm sán lợn.
Sau khi dùng cỗ có món tiết canh dê, nhiều người dự tiệc có biểu hiện sốt, ho, khó thở, rối loạn tiêu hóa và nhập viện, trong đó 1 người tử vong. Tiết canh chứa nhiều mầm bệnh nguy hiểm cần phải biết để phòng tránh.
Gần Tết mọi nhà hay đụng lợn và ăn tiết canh cần chú ý nhiễm liên cầu khuẩn lợn có thể gây viêm màng não mủ, nhiễm khuẩn huyết, hội chứng sốc nhiễm độc liên cầu khuẩn với suy đa cơ quan, viêm nội tâm mạc ... và tử vong.
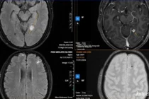
Cả 2 bệnh nhân bị nang sán não do sán dây chó vì thói quen ăn tiết canh. Sán có thể xâm nhập vào gan phổi, lách, thận, tim, xương và não... người dân cần chú ý.
Người bệnh Hà Văn K (60 tuổi), tại huyện Thanh Sơn thường xuyên ăn tiết canh, rau sống… Khi bị đau đầu, liệt nửa người phải nhập viện thì được chẩn đoán mắc đa nang kén sán não.
Sau 2 ngày ăn tiết canh, ông V.T. 50 tuổi nhập viện trong tình trạng đau đầu, nôn ói, giảm thính lực đột ngột, được chẩn đoán viêm màng não do liên cầu lợn, biến chứng điếc 2 tai.
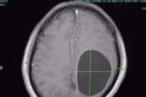
Có thói quen ăn tiết canh để giải nhiệt và "giải đen", ông L.V.B (68 tuổi, ở Thanh Hóa) thường xuyên đau đầu, co giật, sùi bọt mép, đi khám bất ngờ phát hiện tổ sán chi chít trong não.
Để phòng ngừa nhiễm bệnh liên cầu khuẩn lợn, người dân không nên ăn thịt lợn chưa được nấu chín hoặc lợn ốm, chết, không ăn tiết canh. Người chăn nuôi, giết mổ, buôn bán gia súc cần có biện pháp bảo hộ như đeo găng tay, khẩu trang.
Những món ăn được chế biến không qua đun nấu như: Nem chua, tiết canh... được nhiều người Việt Nam ưa chuộng, bên trong những món ăn này tiềm ẩn nhiều nguy cơ gây nhiễm liên cầu lợi.
Bệnh viện Nhiệt đới TƯ đang điều trị cho hai bệnh nhân rất nặng do ăn tiết canh mắc liên cầu khuẩn lợn. Bộ y tế đề nghị các địa phương khẩn trương giám sát loại bệnh nguy hiểm này.
(khoahocdoisong.vn) - Chúng ta không nên uống rượu huyết, hay ăn tiết canh của các loại động vật vì rất dễ nhiễm các loại bệnh do ký sinh trùng nói chung và giun lươn nói riêng.
(khoahocdoisong.vn) - Các món ăn từ các loài động vật ít được nói đến, thường thu hút sự tò mò của thực khách. Nhưng những món ăn này, dù là thịt các loài côn trùng sống ở rừng, hang hốc tự nhiên, cũng tiềm ẩn nhiều nguy cơ.
(khoahocdoisong.vn) - Tiết canh động vật, các món gỏi… có thể là món khoái khẩu của nhiều người, nhưng lại tiềm ẩn quá nhiều nguy cơ cho sức khỏe như nhiễm ký sinh trùng, vi khuẩn, gây ngộ độc nặng.