Đa nang sán đè ép nhu mô não
Người bệnh đến từ huyện Thanh Sơn, tới khám tại bệnh viện đa khoa tỉnh Phú Thọ do đau đầu và liệt nửa người phải. Người bệnh cho biết bản thân hay sử dụng các thực phẩm chưa chín như tiết canh, rau sống…
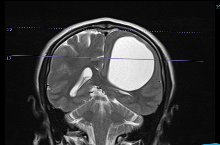
Sau khi tiến hành thăm khám, chụp chiếu, kết hợp với các biểu hiện lâm sàng, người bệnh được hội chẩn và chẩn đoán đa u nang trong não, chưa loại trừ nang sán não. Trong nhu mô não có rất nhiều nang to, nhỏ. Trong đó, nang kén lớn nhất kích thước khoảng 5cm x 7cm, đè ép nhu mô não khiến người bệnh yếu, liệt nửa người.
![]() |
| Ảnh MRI trước mổ của bệnh nhân liệt nửa người: Nang sán lớn nhất nằm trong nhu mô bán cầu não bên trái |
Người bệnh được chỉ định phẫu thuật lấy u (nang sán), giải phóng nang chèn ép não, gửi mô bệnh học và làm giải phẫu bệnh.
Ca phẫu thuật diễn ra thuận lợi, bệnh phẩm được gửi khoa giải phẫu bệnh cho kết quả đúng như hội chẩn: Đa nang kén sán não.
Người bệnh được điều trị hậu phẫu và dùng thuốc diệt ấu trùng sán theo phác đồ hội chẩn cùng chuyên khoa Bệnh nhiệt đới.
Theo PGS.TS Nguyễn Văn Sơn – Trưởng Khoa Ngoại thần kinh – Bệnh viện đa khoa tỉnh Phú Thọ: “Bệnh kén sán não là bệnh lý thuộc nhóm nhiễm trùng hệ thần kinh trung ương, có mức độ nguy hiểm rất cao.
Để phòng tránh bệnh người dân cần giảm thiểu các yếu tố nguy cơ như giữ môi trường sống sạch sẽ, ăn uống hợp vệ sinh. Không ăn thức ăn chưa nấu chín như gỏi, tiết canh, thịt lợn gạo, rau sống, nhất là các loại rau sống trồng dưới nước như rau ngổ… Luôn rửa tay sạch với xà phòng trước khi ăn và sau khi đi vệ sinh; Tẩy giun sán định kỳ.”
Khi thấy có các biểu hiện như đau nhức đầu liên tục, chóng mặt, mất ngủ, xuất hiện nang nhỏ nằm dưới da, sờ vào thì di động… thì hãy đến các cơ sở y tế để được thăm khám và điều trị kịp thời.
![]() |
| Nang sán não được lấy ra |
U não do ấu trùng rất nguy hiểm
Bệnh sán não gọi chính xác hơn là u não do ấu trùng sán dây, thuộc nhóm nhiễm trùng hệ thần kinh trung ương, gây ảnh hưởng nghiêm trọng đến sức khỏe của người bệnh với mức độ nguy hiểm rất cao. Bệnh có thể dẫn đến tử vong nếu không được chẩn đoán và điều trị kịp thời. Bệnh phát triển âm thầm cho đến khi phát hiện những triệu chứng rõ rệt thường khá muộn.
Nguyên nhân mắc bệnh là do ăn phải ấu trùng sán dây lợn hoặc bò. Khi người ăn phải thịt lợn, thịt bò nhiễm ấu trùng sán (lợn gạo, bò gạo) mà chưa được nấu chín như thịt tái, nem chạo, thịt nướng chưa chín kỹ; hoặc ăn phải thức ăn (rau sống, tiết canh lợn, thực phẩm nhiễm bẩn…), nước uống, tay bẩn có nhiễm trứng hoặc ấu trùng sán lợn. Trứng sán vào người rồi phát triển thành ấu trùng sán, chui qua thành ruột vào máu để đến cơ và não, có khi vào mắt. Nếu ấu trùng lên tá túc ở não gây bệnh ấu trùng sán não.
Biểu hiện của nhiễm ấu trùng sán não: sốt cao, đau đầu, nôn do tăng áp lực nội sọ có thể dẫn đến co giật, thậm chí có trường hợp liệt mặt ngoại biên (liệt thần kinh VII, liệt nửa người…).
Chẩn đoán dựa và tiền sử người bệnh có thói quen ăn thịt tái, thịt nướng chưa chín kỹ… Xét nghiệm miễn dịch huỳnh quang ký sinh trùng sán dây dương tính; chụp cắt lớp ở não thấy có khối u nhỏ.
Khi đã phát hiện bệnh sán não thì người bệnh phải được điều trị tích cực bằng phác đồ theo chỉ định của bác sĩ (có thể phải điều trị nhiều đợt tùy thuộc vào tổn thương).
![]() |
| Phẫu thuật lấy nang sán từ trong não |
Cách phòng ngừa sán não
Thông thường, ấu trùng sán sẽ chết khi được đun sôi trong 5 phút. Để chủ động phòng bệnh, bác sĩ khuyên:
– Thực hiện ăn chín, uống chín, ăn các thức ăn được nấu chín kỹ, chế biến hợp vệ sinh.
– Không ăn tiết canh lợn, thịt lợn tái, thịt lợn chưa nấu chín; không ăn thịt lợn gạo, không ăn rau sống mà phải nấu chín kỹ mới ăn.
– Rửa tay trước khi ăn và sau khi đi vệ sinh, vệ sinh môi trường sạch sẽ, không đại tiện bừa bãi, không nuôi lợn thả rông.
– Khi bị nghi ngờ nhiễm phải đến cơ sở y tế khám, xác định và tẩy sán dây lợn sớm.
– Khi thấy đau đầu hoa mắt, chóng mặt thường xuyên hoặc co giật, bạn nên đến cơ sở y tế được khám và phát hiện điều trị bệnh kịp thời.
BS Nguyễn Xuân Trường (Bệnh viện Đa khoa Phú Thọ)


