Đồ chay sáng tạo không chỉ ngon mà còn hỗ trợ lối sống lành mạnh trong các dịp lễ, thay thế món mặn, mang đến sự mới mẻ với nguyên liệu tươi ngon, màu sắc và hương vị hấp dẫn.
Rất nhiều người bị áp xe gan do ký sinh trùng mà không biết. Vì vậy, người dân cần chú ý tẩy giun sán định kỳ và đi viện kịp thời khi có triệu chứng đau bụng âm ỉ, nôn ói, đầy hơi,...
Để làm sạch rau trước khi ăn, chuyên gia hướng dẫn người dân cần loại bỏ các loại rau dập nát, cắt bỏ cả gốc, rễ... Sau đó, ngâm rau củ vào nước lạnh trong khoảng 5-10 phút...
Rau củ được nhiều người ưa chuộng bởi bổ dưỡng và cách chế biến đơn giản. Một số loại rau tuy giàu chất dinh dưỡng nhưng lại chứa nhiều ký sinh trùng gây hại sức khỏe, các bà nội trợ đặc biệt cẩn thận khi sơ chế và chế biến.
Thường xuyên ăn rau sống, người phụ nữ 65 tuổi ở Hạ Hòa, Phú Thọ không ngờ mình bị nhiễm cùng lúc 5 loại giun, sán nguy hiểm. Nhiễm giun sán không chỉ ảnh hưởng nghiêm trọng đến sức khỏe mà có thể đe dọa tính mạng người bệnh.
Sau khi ăn rau sống và thịt lợn hun khói thì ông M. xuất hiện đau bụng, nôn nhiều và đi ngoài. Các bác sĩ chẩn đoán bị sốc do hoại tử ruột non. Đây là bệnh lý rất nặng, tử vong cao, cần được xử trí kịp thời.
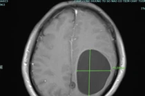
Người bệnh Hà Văn K (60 tuổi), tại huyện Thanh Sơn thường xuyên ăn tiết canh, rau sống… Khi bị đau đầu, liệt nửa người phải nhập viện thì được chẩn đoán mắc đa nang kén sán não.
Nhiễm giun sán là bệnh lý thường gặp nhất do ăn rau sống không được rửa sạch sẽ với tỷ lệ từ 5 - 7%. Người bệnh nhiễm giun sán có thể bị động kinh, liệt tay chân, rối loạn trí nhớ nếu không được điều trị kịp thời.
Nhiều người bị sán lá gan do nghiền ăn những món khoái khẩu như gỏi cá, gỏi tôm, rau sống… Sán lá gan nặng có thể gây xơ hóa, thoái hóa mỡ gan, cổ trướng với kích thước gan to gấp 2-3 lần bình thường – gây ung thư gan.
(khoahocdoisong.vn) - Nghiên cứu mới của nhóm tác giả ở Đại học Cần Thơ và Đại học Nông nghiệp và Công nghệ Tokyo (Nhật Bản) cho thấy, các mẫu rau trong các khu chợ Cần Thơ bị nhiễm khuẩn Salmonella với tỷ lệ tương đối cao, gần 13%.
(khoahocdoisong.vn) - Rau sống được xem là nguồn rau tươi, giàu vitamin và không bị hao hụt vì không phải nấu chín. Người lớn, trẻ trưởng thành ưa thích món rau sống ăn kèm các loại bún, ăn các món trộn, món salat. Tuy nhiên, khi mua rau không rõ nguồn gốc, rửa không kỹ thì đây chính là nguồn gây bệnh giun, sán, đặc biệt sán lá gan lớn.
(khoahocdoisong.vn) - Ăn rau sống sẽ tốt hơn rau chế biến qua nhiệt do giữ được nhiều khoáng chất hơn, xin hỏi các nguyên tắc ăn rau sống an toàn như thế nào?
(khoahocdoisong.vn) - Ăn thịt chưa chín kỹ, rau sống…có nguy cơ nhiễm ấu trùng sán lá gan. Sán lá gan thường ký sinh ở gan và đường mật của những động vật ăn cỏ, trâu bò, dê…
Vừa qua, báo chí quốc tế đưa tin về việc tại Mỹ, hàng loạt người đã phải điều trị tích cực do nhiễm khuẩn Ecoli vì ăn rau diếp sống. Tuy nhiên, phần lớn người tiêu dùng Việt Nam hiện nay vẫn có thói quen ăn rau sống, trong đó có rau diếp khi chưa biết rõ nguồn gốc xuất xứ.