Theo thông tin từ Bệnh viện Đa khoa Medlatec, bệnh nhân H.V.C. 51 tuổi, (Hà Nội) nhập viện trong tình trạng đau đầu kéo dài nhiều ngày, cơn đau được mô tả âm ỉ từng cơn nên bệnh nhân quyết định đến bệnh viện thăm khám.
Qua khai thác tiền sử bệnh nhân cho biết, suốt nhiều tháng nay có ăn gỏi cá, tiết canh, nem thính, thịt lợn tái chanh.
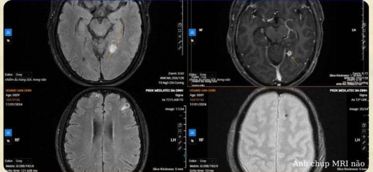
Tại bệnh viện, các bác sĩ chụp X-quang cho bệnh nhân thấy các nốt vôi hóa vùng cổ, vai, ngực, bụng, hướng tới tổn thương do ký sinh trùng. Trên hình ảnh chụp MRI não phát hiện tổn thương vùng chẩm hai bên, nốt vôi đồi thị rải rác hai bán cầu đại não, tiểu não.
![]() |
| Nhiễm sán do thói quen thích ăn đồ sống. Ảnh BVCC |
Chẩn đoán xác định, tình trạng của bệnh nhân là tổn thương não do ký sinh trùng. Bệnh nhân C. được kê đơn điều trị và theo dõi chặt chẽ tình hình sức khỏe.
Theo TS.BS Ngô Chí Cương - TS.BS Ngô Chí Cương, Phó Giám đốc Bệnh viện Đa khoa Medlatec, Trưởng Chuyên khoa Truyền nhiễm, các bệnh về ký sinh trùng diễn biến âm thầm trong cơ thể người, kéo dài nhiều năm có thể tới 10 năm, thậm chí 20 năm với các biểu hiện sẽ khiến nhiều người lầm tưởng sang trường hợp bệnh lý thần kinh, tai biến mạch não. Nếu không điều trị kịp thời, bệnh nhân có thể bị liệt nửa người và có những di chứng khác kèm theo.
Nguyên nhân nhiễm ấu trùng sán dây lợn ở người là do ăn uống không đảm bảo vệ sinh, ăn thực phẩm sống, chưa nấu chín như tiết canh, nem chua, nem chạo...
Các bác sĩ khuyến cáo, sán não là bệnh rất nguy hiểm, nhưng có thể phòng tránh được bệnh này:
Thực hiện ăn chín uống sôi, không ăn tiết canh lợn, lòng lợn, gỏi, thịt lợn tái... không ăn thịt lợn gạo, không ăn sống hoặc tái các loại rau trồng dưới nước như rau ngổ, rau muống, rau cần... mà phải nấu chín kỹ mới ăn.
Rửa tay trước khi ăn và sau khi đi vệ sinh; vệ sinh môi trường sạch sẽ; xây hố xí hợp vệ sinh.
Không đại tiện bừa bãi.
Không nuôi lợn thả rông..., dùng thuốc tẩy sán dây lợn khi đã bị nhiễm sán.
Khi có dấu hiệu đau đầu hoa mắt, chóng mặt thường xuyên. Nên đến cơ sở y tế để được khám và phát hiện điều trị bệnh kịp thời.
