Sức khoẻ 360

Tình trạng tiểu dầm ở trẻ em liên quan đến táo bón

Táo bón, rối loạn phản xạ tiểu tiện là nguyên nhân chính gây tiểu dầm ở trẻ, ảnh hưởng tâm lý và phát triển, cần khám, điều trị kịp thời.

Tình trạng táo bón, ứ phân kéo dài có thể chèn ép bàng quang gây tiểu dầm

Bệnh viện Đa khoa Medlatec vừa thăm điều trị cho bé T.H.B.H., 5 tuổi mắc chứng tiểu dầm từ nhỏ.

Theo lời kể của mẹ, từ nhỏ trẻ đêm nào cũng tiểu dầm, tần suất 1–2 lần mỗi đêm. Tình trạng này kéo dài nhiều năm, đi kèm táo bón mạn tính, trung bình 3- 4 ngày trẻ mới đi đại tiện một lần, phân rắn, mỗi lần đi ngoài trẻ phải rặn nhiều.

Khoảng 3 tháng gần đây, trẻ xuất hiện thêm các rối loạn tiểu tiện như: tiểu són, tiểu rắt, cảm giác tiểu không hết. Gia đình đã cho trẻ đi khám và điều trị kháng sinh một đợt, tuy nhiên triệu chứng chỉ cải thiện rất ít.

3 ngày trước khi đến viện, tình trạng tiểu rắt và tiểu són của trẻ tăng rõ rệt. Nước tiểu vàng trong, trẻ thỉnh thoảng đau bụng âm ỉ, kèm đi ngoài phân rắn…

Qua thăm khám lâm sàng tại Medlatec, bác sĩ thấy trẻ có thể trạng thấp, còi, không sốt. Khám bụng, ấn đau nhiều vùng hố chậu hai bên. Để tìm nguyên nhân, bác sĩ chỉ định thực hiện xét nghiệm máu, tổng phân tích nước tiểu và chụp X-quang ổ bụng, siêu âm ổ bụng.

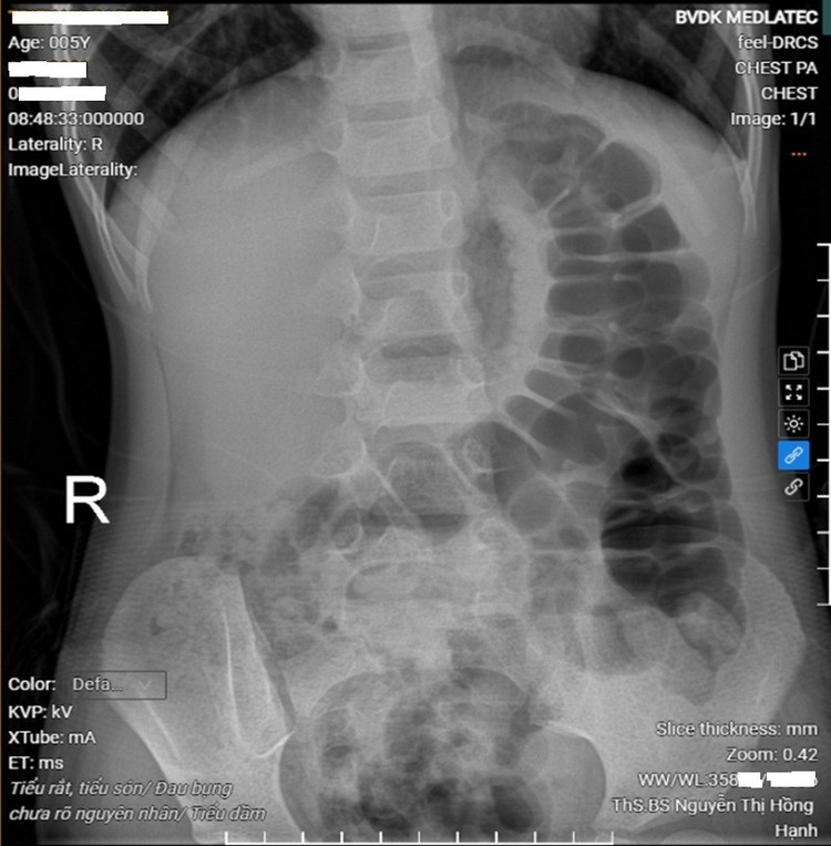
Kết quả xét nghiệm cho thấy, các chỉ số máu trong giới hạn bình thường, không có dấu hiệu nhiễm trùng; xét nghiệm nước tiểu bình thường, loại trừ nhiễm khuẩn đường tiết niệu. Siêu âm ổ bụng hiện tại chưa thấy có bất thường của đường tiết niệu. Hình ảnh X-quang ổ bụng, ghi nhận nhiều quai đại tràng giãn, chứa hơi và phân, gợi ý tình trạng ứ phân đại tràng do táo bón chức năng.

Hình ảnh chụp X-quang ổ bụng của bệnh nhi thấy nhiều quai đại tràng giãn, chứa hơi và phân. Ảnh Medlatec

Từ các kết quả đó, bác sĩ nghĩ nhiều đến tình trạng táo bón, ứ phân kéo dài có thể chèn ép bàng quang, làm giảm dung tích chứa nước tiểu và gây rối loạn phản xạ tiểu tiện, dẫn đến tiểu dầm, tiểu rắt và tiểu són kéo dài ở trẻ nhỏ.

Trẻ được chẩn đoán xác định là tiểu dầm, táo bón. Bác sĩ kê đơn thuốc đồng thời, hướng dẫn gia đình hạn chế cho trẻ uống nhiều nước và sữa vào buổi tối, cho trẻ đi tiểu trước khi ngủ, đánh thức trẻ mỗi 2–3 giờ để hỏi xem trẻ có cần đi tiểu không. Thời gian này, trẻ cần có ba mẹ ngủ cùng và đồng hành cùng trẻ, hỗ trợ trẻ khi trẻ tiểu dầm. Bên cạnh đó, trẻ được khuyến khích uống đủ nước vào ban ngày, tăng cường rau xanh có nhiều chất xơ và tập thể dục thường xuyên.

Sau 2 tuần điều trị, trẻ không còn tiểu dầm ban đêm, hết tiểu són và tiểu rắt, không còn tình trạng đau bụng và hết táo bón.

Tiểu dầm ở trẻ em - bệnh cần được điều trị sớm

Theo ThS.BS. Nguyễn Thị Hồng Hạnh – Chuyên khoa Nhi, Bệnh viện Đa khoa Medlatec, tiểu dầm là tình trạng trẻ tiểu tiện không tự chủ, thường gặp ở trẻ 5-6 tuổi, hay xảy ra khi đang ngủ, thường là vào ban đêm.

Tiểu dầm được chia thành hai dạng. Tiểu dầm nguyên phát là khi trẻ chưa có giai đoạn nào ngưng tiểu dầm từ nhỏ. Tiểu dầm thứ phát là khi trẻ đã có giai đoạn ngưng tiểu dầm ít nhất 6 tháng, sau đó lại bị tiểu dầm.

Bệnh lý này thường gặp ở trẻ trai nhiều hơn trẻ gái. Tỷ lệ mắc tiểu dầm giảm dần theo tuổi, tuy nhiên vẫn còn ~ 2 % trẻ 16-19 tuổi bị tiểu dầm.

Tiểu dầm có thể ảnh hưởng đến chất lượng cuộc sống và sự phát triển tâm lý của trẻ. Ảnh minh họa/Internet

Nguyên nhân và cơ chế bệnh sinh

Nguyên nhân và cơ chế bệnh sinh của tiểu dầm đến nay chưa được làm sáng tỏ hoàn toàn và thường là sự phối hợp của nhiều yếu tố. Yếu tố di truyền đóng vai trò quan trọng, nguy cơ tiểu dầm tăng rõ rệt ở trẻ có cha mẹ từng mắc tình trạng này. Một cơ chế thường gặp khác là tăng lượng nước tiểu về ban đêm, do giảm tiết hormone chống bài niệu (ADH) khi ngủ hoặc do thói quen uống nhiều nước, sữa vào buổi tối.

Bên cạnh đó, rối loạn chức năng bàng quang như: bàng quang cường tính, dung tích bàng quang nhỏ hoặc giảm khả năng giữ nước tiểu trong khi ngủ khiến trẻ dễ tiểu tiện không tự chủ. Ở nhiều trường hợp, hệ thần kinh chưa đủ khả năng nhận biết bàng quang đầy và đánh thức trẻ dậy để đi tiểu cũng góp phần gây tiểu dầm.

Yếu tố tâm lý – xã hội cũng ảnh hưởng đến bệnh lý tiểu dầm, đặc biệt là tiểu dầm thứ phát. Tâm lý căng thẳng, thay đổi môi trường sống, xung đột gia đình... có thể làm trẻ rối loạn kiểm soát tiểu tiện. Ngoài ra, tiểu dầm còn có thể liên quan đến táo bón, nhiễm trùng đường tiết niệu, rối loạn giấc ngủ hoặc một số bệnh lý toàn thân và tác dụng phụ của thuốc.

Ảnh hưởng của tiểu dầm đối với trẻ

Tiểu dầm không chỉ là vấn đề sinh lý đơn thuần mà còn ảnh hưởng đến chất lượng cuộc sống và sự phát triển tâm lý của trẻ. Trẻ tiểu dầm thường có chất lượng giấc ngủ giảm, dễ rối loạn giấc ngủ, ngủ không sâu và mệt mỏi vào ban ngày, từ đó ảnh hưởng đến khả năng học tập và sinh hoạt.

Nếu tiểu dầm vẫn tiếp tục tiếp diễn ở trẻ lớn (> 10 tuổi) sẽ gây cho các bé nhiều vấn đề tâm lý phức tạp: rối loạn chống đối và rối loạn tâm thần cao hơn so với trẻ bình thường. Trẻ sẽ là tâm điểm chú ý của bạn bè, bị chê cười, mất tự tin, căng thẳng, buồn rầu và mặc cảm dẫn đến tâm tính trẻ sẽ trở nên bất thường, khó chịu và khó hòa nhập, ảnh hưởng đến khả năng kết bạn, cuộc sống gia đình và tác động đến việc lựa chọn công việc, các hoạt động xã hội sau này.

Trong một số trường hợp, tiểu dầm không đơn thuần là một triệu chứng, mà đằng sau đó là một bệnh lý hoặc rối loạn khác kèm theo. Trẻ cần được hỏi bệnh và thăm khám một cách toàn diện.

back to top