Sau 31 năm mới tìm thấy tinh hoàn thứ 2 lạc trong ổ bụng
Sinh ra với một bên tinh hoàn trái, nam thanh niên tưởng mình chỉ có một tinh hoàn. Tình cờ khi đi khám, các bác sĩ Bệnh viện Đa khoa Xuyên Á đã tìm thấy tinh hoàn còn lại của anh nằm trong ổ bụng, cạnh bàng quang.
Bệnh nhân là anh N.H.V. (31 tuổi, Hóc Môn, TP HCM) nhập viện cấp cứu trong tình trạng đau vùng bẹn phải kéo dài trong nhiều ngày. Cơn đau liên tục kèm cảm giác thắt nghẹt, vùng bẹn phải của bệnh nhân nổi khối phồng, ấn đau, khối phồng tăng kích thước khi vận động.
Đặc biệt, trong quá trình thăm khám, các bác sĩ phát hiện anh chỉ có một tinh hoàn bên trái. Anh V. cho biết từ lúc sinh ra, anh đã được phát hiện chỉ có tinh hoàn bên trái, nghĩ là do bất thường bẩm sinh chỉ có 1 tinh hoàn nên gia đình và anh cũng không đi thăm khám.
Tại Bệnh viện Xuyên Á, các bác sĩ Khoa Cấp Cứu đã phối hợp với Khoa Ngoại Tổng Quát, Ngoại Tiết Niệu nhanh chóng thăm khám và chỉ định chụp CT 160 cản quang, kết quả phát hiện khối thoát vị bẹn nghẹt và tìm thấy tinh hoàn bên phải trong ổ bụng nằm cạnh bàng quang.
Sau khi tư vấn và nhận sự đồng ý từ gia đình bệnh nhân, ca mổ được các bác sĩ tiến hành ngay trong 2 giờ đồng hồ kể từ khi tiếp nhận.
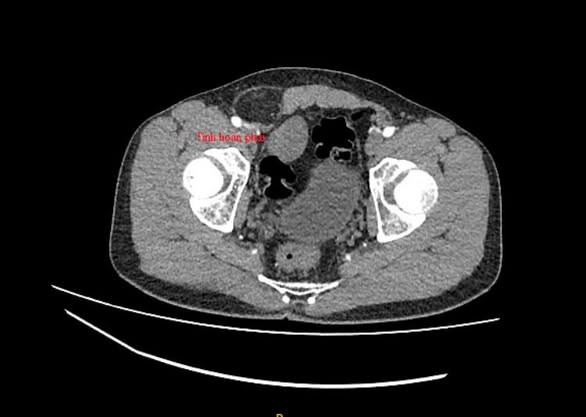
![]() |
| Tinh hoàn ẩn trên phim chụp - Ảnh BVCC |
ThS.BS.CKII. Nguyễn Vĩnh Bình, Trưởng Khoa Ngoại Tiết Niệu Bệnh viện Đa khoa Xuyên Á cho biết: “Trong quá trình phẫu thuật, các bác sĩ đã đưa các tạng thoát vị vào trong ổ bụng đồng thời cũng tìm được tinh hoàn bên phải nằm trong ổ bụng với kích thước tương đương tinh hoàn còn lại. Tinh hoàn bên phải sau đó được giải phóng và đưa từ ổ bụng xuống bìu, người bệnh từ giờ có đủ hai tinh hoàn.”
Chỉ một ngày sau phẫu thuật, bệnh nhân đã có thể đi lại và sinh hoạt bình thường.
Từ trường hợp của bệnh nhân V., ThS.BS.CKII. Nguyễn Vĩnh Bình cũng khuyến cáo các bố mẹ cần theo dõi sát sao, nhận biết sớm tình trạng này của bé trai để đưa bé đi khám kịp thời và xử trí nếu có bất thường.
Phẫu thuật hạ tinh hoàn ẩn sớm tránh vô sinh, ung thư...
Theo ThS.BS.CKII. Nguyễn Vĩnh Bình, tinh hoàn ẩn là một dị tật bẩm sinh phổ biến ở cơ quan sinh dục nam. Đây là tình trạng bé trai sinh ra mà một hoặc cả hai tinh hoàn không di chuyển xuống bìu hoặc nằm ở vị trí khác ngoài bìu. Khi còn giai đoạn bào thai, tinh hoàn xuất hiện trong bụng gần thận. Tới tháng thứ 7, tinh hoàn bắt đầu di chuyển xuống bẹn.
Di chuyển xuống bìu muộn nhất là khoảng tháng thứ 6 sau sinh. Khoảng 1% bé trai đủ tháng phát hiện tinh hoàn ẩn ở thời điểm 1 tuổi.
Thông thường tinh hoàn ẩn chỉ xảy ra 1 bên, nhưng nếu tinh hoàn ẩn 2 bên chỉ chiếm khoảng 10% số trẻ bị tinh hoàn ẩn. Thông thường khoảng 60% - 85% tinh hoàn ẩn nằm ở phần trên của bìu và trong ống bẹn, khoảng 15% có thể nằm ở trong ổ bụng hoặc các vị trí khác.
Tình trạng này nếu không được phát hiện và điều trị sớm có khả năng xảy ra các biến chứng như xoắn tinh hoàn, chấn thương tinh hoàn, giảm khả năng sinh sản, ung thư tinh hoàn, thoát vị bẹn.
TS BS Phạm Ngọc Thạch, Phó Giám Đốc Bệnh viện nhi đồng 2 cảnh báo, tinh hoàn ẩn là một tình trạng tương đối phổ biến ở trẻ em. Tinh hoàn ẩn (hay còn gọi là cryptorchidism) là tình trạng một hoặc cả hai tinh hoàn không xuống được bìu sau khi sinh.
Thông thường, tinh hoàn di chuyển từ ổ bụng xuống bìu trong quá trình phát triển của thai nhi. Tuy nhiên, ở một số trẻ, quá trình này bị gián đoạn, dẫn đến tinh hoàn nằm ở vị trí bất thường như ống bẹn hoặc ổ bụng.
Khi thăm khám các Bác sĩ sẽ kiểm tra bìu để xác định xem có tinh hoàn hay không. Nếu không sờ thấy tinh hoàn, bác sĩ có thể khám thêm vùng bẹn để tìm kiếm. Trong một số trường hợp, siêu âm có thể được sử dụng để xác định vị trí của tinh hoàn ẩn.
Về điều trị: Trong một số trường hợp, tinh hoàn có thể tự xuống bìu trong vài tháng đầu sau sinh nhất là 6 tháng đầu, bác sĩ có thể theo dõi tình trạng của trẻ và đánh giá lại sau 6 tháng, tối đa là 1 năm.
Điều trị nội tiết: Hormone gonadotropin chorionic (hCG) có thể được sử dụng để kích thích tinh hoàn xuống bìu. Tuy nhiên, phương pháp này không phải lúc nào cũng hiệu quả.
Về phẫu thuật: Phẫu thuật hạ tinh hoàn (orchiopexy) là phương pháp điều trị chính cho tinh hoàn ẩn. Phẫu thuật này thường được thực hiện khi trẻ được 6-12 tháng tuổi. Trong quá trình phẫu thuật, bác sĩ sẽ đưa tinh hoàn xuống bìu và cố định nó vào vị trí thích hợp.
Về nội soi ổ bụng: được chỉ định trong trường hợp thăm khám không tìm thấy tinh hoàn. Nội soi ổ bụng có thể xác định vị trí chính xác của tinh hoàn trong ổ bụng và đem tinh hoàn xuống bìu.
![]() |
| Ca phẫu thuật hạ tinh hoàn ẩn cho bệnh nhân - Ảnh BVCC |
Ung thư tinh hoàn cao gấp 7.5 lần
ThS.BS Nghiêm Trung Hưng, Khoa Nam học, Bệnh viện TƯQĐ 108 cho biết, tinh hoàn ẩn là một trong những dị tật bẩm sinh phổ biến của đường tiết niệu sinh dục. Khoảng 0,4 % nam giới bị ẩn tinh hoàn, tình trạng này xuất hiện ở 5-6 % trẻ sơ sinh đủ tháng và 25 % trẻ sơ sinh non. Tinh hoàn ẩn gây ra tình trạng vô sinh, teo tinh hoàn và ung thư tinh hoàn.
Theo Thorup J và cộng sự (2010), tỷ lệ ung thư tinh hoàn cao gấp 7.5 lần so với tinh hoàn ở bìu và khoảng 5-10 % nam giới mắc ung thư tinh hoàn bị ẩn tinh hoàn. Sự biến đổi ác tính thường biểu hiện ở năm 30 - 40 tuổi.
Có hai giả thuyết về sự phát triển khối u trong các tinh hòa ẩn. Một là nhiệt độ trong ổ bụng cao hơn so với ở bìu làm suy yếu quá trình chuyển đổi tế bào sinh tinh ở trẻ sơ sinh thành tinh nguyên bào và gây biến đổi theo hướng ác tính sau tuổi dậy thì.
Hai là đã có sự biến đổi tiềm ẩn từ khi tinh hoàn còn phát triển trong tử cung của người mẹ gây ra tình trạng ẩn tinh hoàn và ác tính hóa. Điều này cũng có thể giải thích vì sao tỷ lệ mắc ung thư tinh hoàn tăng nhẹ ở bên đối diện, Bác sĩ Hưng cho biết thêm.
Độ tuổi được khuyến cáo để phẫu thuật hạ tinh hoàn là trước khi hoàn thành năm 2 tuổi. Phẫu thuật hạ tinh hoàn ẩn có thể không ngăn ngừa được sự phát triển thành ung thư ở tất các các bệnh nhân, thì nó chắc chắn giúp phát hiện sớm ung thư tinh hoàn.
Nếu xuất hiện các triệu chứng bất thường vùng bìu bệnh nhân nên được đến khám tại các cơ sở chuyên khoa Nam học có trình độ cao và trang thiết bị hiện đại để được chẩn đoán chính xác và điều trị bệnh kịp thời, tránh các biến chứng do điều trị muộn không đáng có.

